您好,欢迎您

是什么导致了骨肉瘤肺转移诊断的延误?

2017年11月27日
作者: 毛玉焕 李醒亚
来源:肺癌多学科会诊

患者褚SF,男,20岁(2017年),2015年7月就医诊断为右侧股崩下股骨肉瘤,之后手术切除病变段股骨并植入义骨,接受 4 周期辅助化疗,之后间断复查胸部 CT。

微信图片_20171127103920.jpg

2016-2-15,胸部 CT 首次发现右肺上叶小钙化灶,较 2015-1-12 为新发。

2016年6月、8月、12月和2017年3月均在CT片上发现此钙化灶,渐增大,但没有引起医生们重视。

2017年10月复查CT(距上次检查 7 个月),钙化灶进一步增大,考虑骨肉瘤转移,全身骨骼ECT 扫描除显示右股骨术后改变外,未发现异常。胸外科医生切除了肺内钙化灶,病理报骨肉瘤肺转移。

参加省病理会诊:右上肺病变系骨肉瘤转移灶

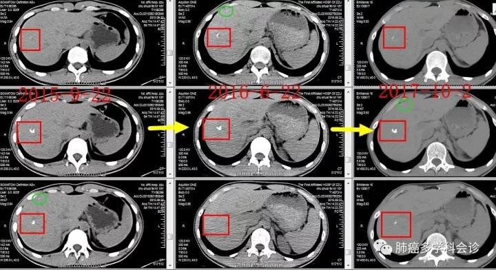
此患者在初诊时就发现了肝内两个小钙化灶,在过去的3年内没有变化,考虑良性病变。

微信图片_20171127103941.jpg

【讨论】

1.  骨肉瘤的转移灶常有钙化,结合病史要对新的肺内钙化灶高度警惕,特别是新发钙化灶。

2.  此例患者肺内钙化灶生长相对缓慢,短期内变化不著,如果把历次的CT图像放在一起比较就容易发现其变化。

3.  此患者的肺内转移灶几乎完全钙化,也是造成延误诊断的原因之一。下图为另外一位年青骨肉瘤患者肺转移的CT图像,肺占位既有钙化又有软组织成分,不易被误诊。

4. 该患者的肝内两个小钙化灶在初诊是就有,长期没有变化,也起到了一定的麻痹医生的作用。

责任编辑:肿瘤资讯-Ruby

相关阅读