您好,欢迎您

紫杉醇胶束,肿瘤化疗世界的新贵?

2017年07月24日
来源:肺癌多学科会诊

 【病例分享】

患者邢JS,男,63岁,咳嗽伴左胸隐痛1月余。

  • CT 示:左上肺门肿瘤侵犯胸壁,第一胸肋关节受累,左肺上叶不张、实变。

  • SPECT:额骨右份及左侧第 1、2 前肋骨代谢活跃。

  • 肺穿刺病理:(左上叶活检)癌,符合鳞状细胞癌。ALK增强免疫组化(-)

微信图片_20170724100435.jpg

临床诊断:左肺鳞癌 ⅢB 期

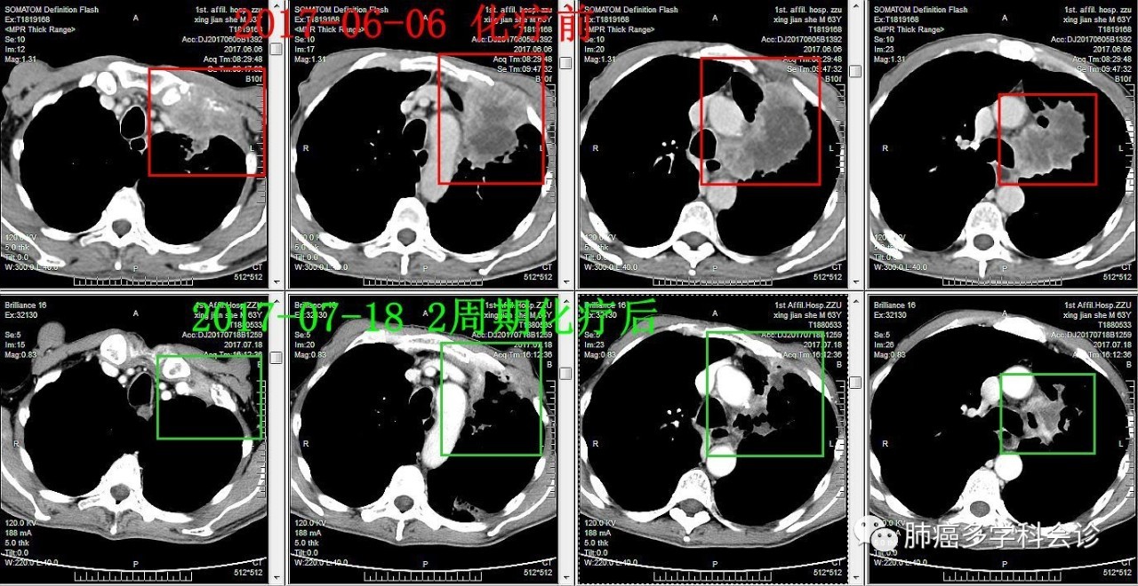
于2017-6-8、2017-6-29接受“紫杉醇胶束+顺铂”化疗第 1、2 周期,过程顺利。2周期化疗后肿瘤明显退缩,获部分缓解。继续完成计划的 6 周期化疗。

以下是该患者化疗前后相隔 42 天的胸部 CT 对比,肿瘤明显退缩:

微信图片_20170724100439.jpg微信图片_20170724100443.jpg

责任编辑:肿瘤资讯-Ruby