您好,欢迎您

肾癌肺转移阿昔替尼治疗效果好,耐药以后怎么办?

2017年07月21日
来源: 肺癌多学科会诊

 【病例介绍】 

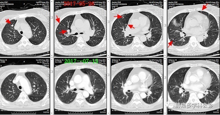
患者曲XM,女,73岁。于2017年5月,无明显诱因出现活动后胸闷,右侧胸腔放出大量积液后好转.胸部增强CT示:右下胸膜占位并右下肺部分肺不张、右侧胸水;两肺多发结节,考虑转移。腹部CT发现右肾中下极后外侧软组织,考虑肾癌。PET-CT除上述发现上述病变外,还发现L4椎体前缘骨质破坏代谢较活跃,考虑转移。肾穿刺活检未发现肿瘤,再行肺穿刺,病理报:(肺)血凝块组织及少许慢性炎改变的纤维组织。胸膜穿刺活检病理:癌浸润或转移,免疫表型支持肾脏来源可能。

微信图片_20170721110259.jpg诊断为“肾癌多发转移”,阿昔替尼 5mg 每天 2 次连续口服 1 月后,复查CT:右肾肿块明显缩小,双肺转移灶也明显缩小或消失。微信图片_20170721110302.jpg

 【讨 论】 

  • 虽然肾占位穿刺活检失败,但肺占位穿刺活检具有一石二鸟之功,一则证明肺部结节/肿块确属转移,二则发现来自肾脏。

  • 该患者经一个月的阿昔替尼治疗后,不仅使肿瘤明显缩小,残余肿瘤的血供也有明显下降。临床研究数据显示:阿昔替尼有效率 (ORR) 为 44.2% (95% CI 30.5–58.7), 约4%患者达到完全缓解,临床疾病控制剂高达 87%。

  • 靶向治疗终归会发生耐药,耐药后如何处理成为下一步要面临的主要挑战。幸好我们参与了一项全国性的新医临床试验,为该患者解除了后顾之忧:CM082联合依维莫司治疗肾癌患者的一项随机、双盲、平行分组Ⅱ期临床研究

责任编辑:肿瘤资讯-Ruby