您好,欢迎您

HER2基因突变的肺癌啥特点?靶向药物免费用!

2017年07月17日
来源:肺癌多学科会诊

【病例介绍】

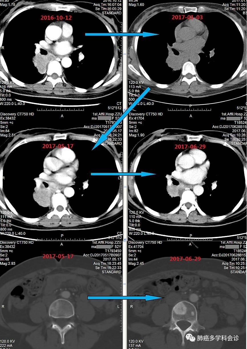
患者马ZQ,女,51岁,2016 年 9 月因大咯血做胸部CT发现右肺占位,拒绝活检,盲服“吉非替尼“,45天后自行停药,未再治疗。

2017-01-03 复查 CT发现病灶稍增大,气管镜活检病理诊断为:腺癌

微信图片_20170717104646.jpg微信图片_20170717104650.jpg肿瘤组织NGS基因检测:ERBB2(HER2)20外显子非移码插入性突变,丰度25.3%。

微信图片_20170717104653.jpg

患者拒绝治疗,院外口服中药治疗。

2017.05 复查 CT:右肺病灶较前稍增大,腰 2、4 椎体内高密度影,右肺中下叶多发小结节。“培美曲塞 + 顺铂”化疗 2 周期后病灶都有不同程度减小,腰4椎体病变范围较前显著(成骨加强是治疗有效的标志之一)。目前完成 3个周期化疗,升高的血清肿瘤标志物 CEA 和 CA125 均明显下降。

疗效评价:部分缓解(PR)。

微信图片_20170717104655.jpg以下为患者疾病进程中复查CT肺部病灶变化情况:

微信图片_20170717104658.jpg

【讨论】

已往的研究发现 :ALK、ROS1、RET 突变的肺癌对培美曲塞为基础的化疗较为敏感,HER2 突变肺腺癌对化疗的敏感性还不清楚,我们从治疗过的几位患者来看,多数人对化疗敏感。由于治疗这类患者数目有限,恐怕结论下得有点早。

责任编辑:肿瘤资讯-Ruby