您好,欢迎您

脑转移的影像诊断和鉴别诊断

2017年06月19日
来源:肺癌多学科会诊

脑转移瘤鉴别诊断

多数脑转移瘤的常规影像学表现具有一定的特征性,如“小病灶,大水肿”或呈脑内多发病灶

然而,在日常工作中常常会出现一些非典型表现的转移瘤,如单发的、不伴周围水肿的,部分脑转移患者可无明确原发肿瘤病史,对疾病的确切诊断带来困扰

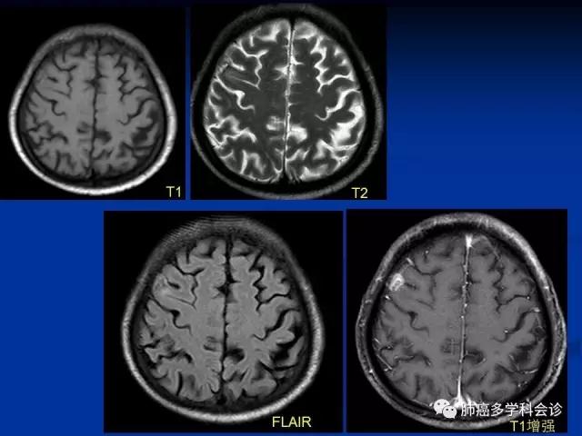
弥散加权成像(diffusion weighted imaging,DWI)

常规MRI序列,主要包括T1、T2、FLAIR及增强Tl等,所显示的是病变的含水量和对比剂透过受损的血脑屏障进入病灶等情况

MRI弥散加权成像依靠不同组织间水分子弥散差异性造成的图像信号衰减来反映组织的结构特性

提供了与以往Tl、T2不同的新的成像对比,可反映病理状态下组织内水分子运动状态的异常改变

成为临床早期发现、有效鉴别病灶的重要辅助手段

责任编辑:肿瘤资讯-Ruby

评论
2022年03月17日
朱志梅
如皋市人民医院 | 肿瘤科
学习了脑肿瘤鉴别诊断
2022年03月16日
朱志梅
如皋市人民医院 | 肿瘤科
内容精彩,值得学习
2020年01月21日
丁文金
平煤总医院 | 肿瘤内科
学习了