您好,欢迎您

医案集萃丨罕见!27岁男性直肠印戒细胞癌,竟发生腘窝软组织转移

03月31日
编译:肿瘤资讯
来源:肿瘤资讯

结直肠癌是全球重大的公共卫生问题。直肠印戒细胞癌(SRCC)是结直肠癌中一种罕见且具有侵袭性的亚型,通常转移至区域淋巴结、腹膜和肝脏,而骨骼肌和软组织转移极为罕见。本文报道一例直肠印戒细胞癌在放化疗期间发生极为罕见的腘窝软组织转移的年轻男性病例。

病史

一名27岁男性,无已知合并症,因便血、反复肛门疼痛、便秘和肛门肿块脱垂6个月就诊。既往曾在其他医疗机构按痔疮治疗,但症状未缓解。肛缘肿物活检显示为低分化黏液腺癌伴印戒细胞特征。免疫组化CDX2阳性,支持结直肠来源。

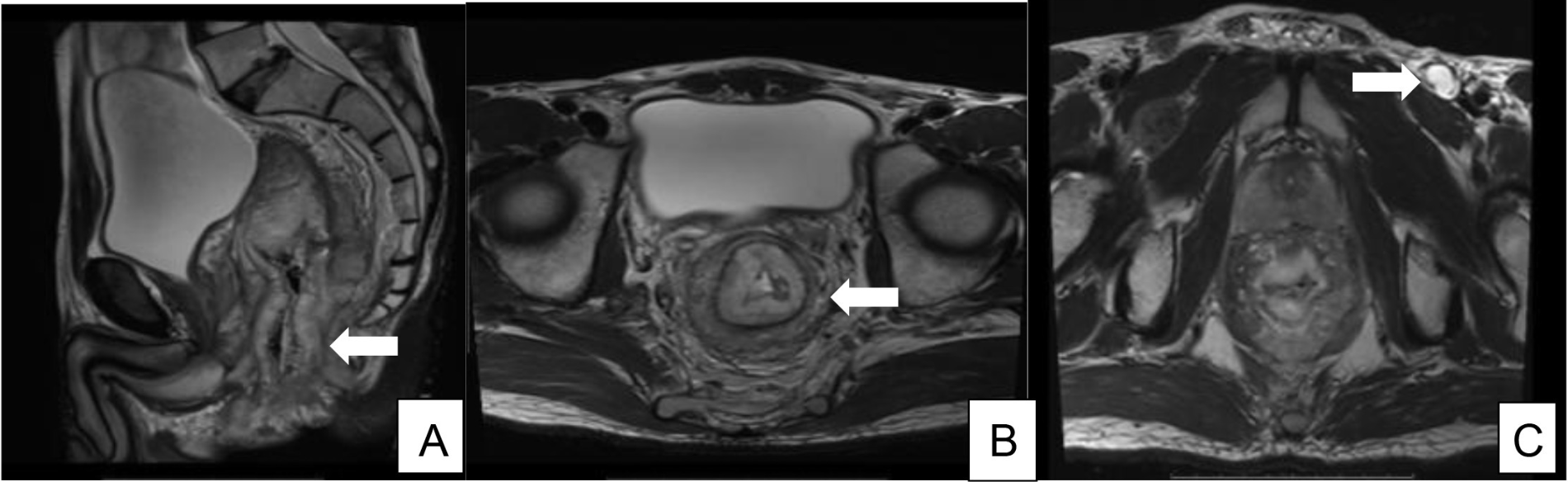
盆腔MRI显示局部侵袭性肛直肠恶性肿瘤,伴弥漫性浸润改变、环周切缘(CRM)阳性及多个直肠系膜淋巴结转移(图1)。分期为T3N2Mx。

331.png

图1. (A) 矢状 T2W 图像显示(箭头)不规则环状肿块,类似壁面增厚,涉及肛管和直肠。(B)轴侧 T2W 图像显示弥漫性浸润变化,导致 CRM 阳性;(c) 轴向 T2W 图像显示多个直肠系中膜结节

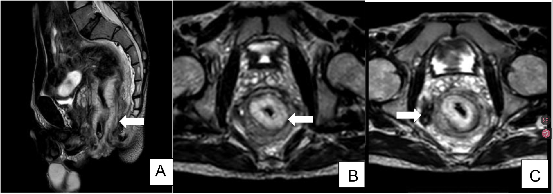
患者接受了预防性结肠造口术以缓解梗阻症状,随后进行新辅助放化疗(卡培他滨联合50.4 Gy放疗)。然而,治疗后MRI显示肿瘤体积增大(图2),且肿瘤已累及提肛肌和整个肛管,无法手术切除。

3311.png

图2. 放射化疗后评估扫描显示疾病进展,直肠壁肿瘤逐渐增厚,现已延伸至肛门管,以及通过肛门边缘(A 和 B)的膨出外生病变。左腹股沟坏死淋巴结间期发育(C)

在完成7个周期化疗后约4个月,患者左下肢出现疼痛和活动受限。体格检查发现左膝后内侧上方有一坚硬肿块。下肢MRI显示左侧股骨后方有一肿瘤性肿块,表现出弥散受限和对比增强(图3)。

3312.png

图3. 左大腿远端 MRI 显示股骨后侧有异质软组织肿块。(白色箭头)(A)轴向 T2 加权图像,(B)矢状 T1 加权后显现中心坏死周围增强,(C)轴向扩散加权影像显示外周可存活肿瘤扩散受限

膝关节病变的粗针穿刺活检证实为转移性腺癌,免疫表型(CK20+,CDX2+,CK7-)符合结直肠癌转移。

为评估其他可能的转移灶,患者进行了全身PET-CT扫描,结果显示左侧腘窝有一不均匀的FDG高摄取病灶(SUVmax 2.8),并在髋关节和骨盆附近观察到其他转移灶。

患者随后接受了左膝关节姑息性放疗。随访CT显示疾病进展,包括结肠造口部位的肿瘤受累。由于疾病进展和体能状态恶化,患者被转入安宁疗护,并在6个月后因病去世。

直肠印戒细胞癌(SRCC)是一种罕见且预后极差的组织学亚型。该病例展示了直肠SRCC异常的转移模式,尽管患者正在接受积极的放化疗,疾病仍迅速进展,并在腘窝区域形成罕见的疼痛性软组织转移灶。这提示腘窝转移可能是跳跃性转移、复杂的逆行淋巴扩散或血行播散的结果


对于已知患有恶性肿瘤的患者,当出现实性腘窝病变或非典型软组织肿块时,绝不应想当然地认为是良性病变。多模态影像学检查在鉴别诊断中起着至关重要的作用:超声可作为一线工具区分囊性或实性病变;MRI凭借卓越的软组织对比度,能更准确地表征病变的范围和恶性潜力;而PET-CT在全身分期和识别非典型转移部位方面具有极高的敏感性。本病例强调了在肿瘤患者随访中,结合多模态影像学和超声引导下穿刺活检对于准确诊断罕见转移灶的必要性。

参考文献

[1]. Sahi A, Khattak AN, Israr F, Ahmed S, Khalil S, Siddique K. Popliteal fossa metastasis from rectal carcinoma in a young adult: A rare case report. Radiol Case Rep. 2026;21(6):2444-2448. Published 2026 Mar 19.   

责任编辑:古木
排版编辑:古木

版权声明

本文专供医学专业人士参考,未经著作人许可,不可出版发行。同时,欢迎个人转发分享,其他任何媒体、网站如需转载或引用本网版权所有内容,须获得授权,且在醒目位置处注明"转自:良医汇-肿瘤医生APP"。

评论
04月13日
陈蕊
兰州大学第一医院 | 肿瘤内科
直肠印戒细胞癌通常恶性程度更高,侵袭性更强!
04月06日
颜昕
漳州市医院 | 乳腺外科
常转移至区域淋巴结、腹膜和肝脏,而骨骼肌
04月05日
马利平
河南省肿瘤医院 | 放疗科
腘窝转移可能是跳跃性转移、复杂的逆行淋巴扩散或血行播散的结果