您好,欢迎您

医案集萃丨胰腺富血供肿块的鉴别诊断:一例表现为“神经内分泌肿瘤”的胰腺PEComa诊治体会

03月25日
编译:肿瘤资讯
来源:肿瘤资讯

胰腺血管周上皮样细胞肿瘤(PEComa)是一种极其罕见的间叶性肿瘤,文献报道极少。由于其临床表现和影像学特征缺乏特异性,常导致术前误诊。本文报道一例因间歇性左上腹痛就诊,最初疑似神经内分泌肿瘤,最终经手术切除和组织病理学证实为胰腺PEComa的罕见病例。

病史

一名63岁女性患者,因“间歇性左上腹痛2年”就诊。患者既往无特殊内外科病史。入院查体:体重94 kg,身高164 cm,血压130/80 mmHg。心电图显示窦性心动过缓、电轴左偏及一度房室传导阻滞。实验室检查提示轻度贫血(血红蛋白 109 g/L)、血小板增多(510×10⁹/L)、血沉升高(56 mm/h),并伴有高血糖(12.0 mmol/L)及碱性磷酸酶轻度升高(136.1 U/L)。

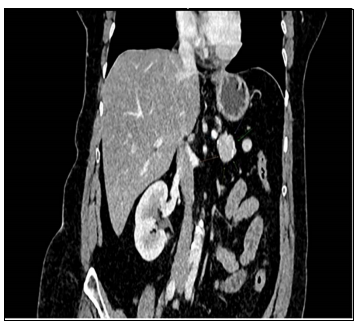
腹部增强多排CT扫描显示胰尾部有一大小为30*21*25 mm的富血供肿块(图1),最初怀疑为神经内分泌肿瘤。

325.png

图1. 腹部增强CT扫描显示胰尾部边界清晰的孤立性富血供肿瘤

病灶在动脉期呈早期强化,静脉期持续摄取造影剂,无胰管扩张或邻近结构侵犯,也无区域淋巴结肿大或远处转移的影像学征象。

鉴于肿块边界清晰且位于胰尾,手术团队决定直接进行切除,未行术前超声内镜引导下细针穿刺(EUS-FNA),以避免穿刺相关风险并获取完整标本。患者接受了远端胰腺次全切除联合脾切除术。肉眼可见切除标本胰尾部有一边界清晰、实性、分叶状肿瘤,大小约30*21*25 mm,周围有纤维包膜,呈浅棕色。

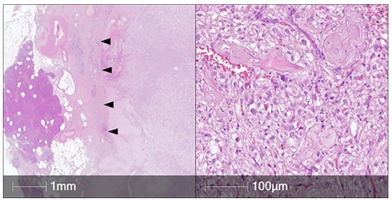
组织病理学检查显示,肿瘤外周有厚厚的纤维包膜,主要由具有透明和颗粒状细胞质、圆形细胞核的上皮样细胞组成。偶见多核细胞及少量梭形细胞结构,血管网络丰富,核分裂活性低,无坏死(图2)。

3251.png

图2. 胰腺肿瘤的组织学结构

免疫组化结果显示,肿瘤细胞对Melan A、SMA、HMB-45和TFE-3呈阳性,而对SOX-10、CD34、Pan-cytokeratin、S100、CD56和Desmin呈阴性。Ki-67增殖指数小于1%(图3)。

3252.png

图3. 肿瘤的免疫表型

综合以上结果,确诊为胰腺PEComa。患者术后恢复顺利,无并发症迹象,引流液淀粉酶水平正常,于术后7天顺利出院。

胰腺PEComa极其罕见,常作为偶然发现或表现为非特异性症状(如模糊的腹部不适、体重减轻等)。由于缺乏特异性影像学特征,常被误诊为神经内分泌肿瘤等其他富血供胰腺病变。尽管EUS-FNA具有一定的微创诊断价值,但由于PEComa的罕见性以及难以获得足够的组织进行明确的免疫组化评估,其术前诊断作用往往受限。


组织病理学检查仍然是诊断胰腺PEComa的金标准。PEComa表现出黑色素细胞和平滑肌双重分化特征,免疫组化(如HMB-45、Melan-A和SMA强阳性,结合SOX-10、全角蛋白等阴性)在有效排除大多数组织学类似物中至关重要。

手术切除是胰腺PEComa的主要治疗方式。尽管许多病例表现为良性惰性过程,但部分肿瘤可能具有侵袭性特征,包括局部复发和远处转移。根据Folpe等提出的风险分层标准,肿瘤大于5 cm、高核分裂率、坏死或血管侵犯提示较高的恶性潜能。本例患者肿瘤较小且无上述高危因素,提示恶性风险低,但鉴于其生物学行为的不可预测性,术后长期随访仍是必不可少的。

参考文献

Zinovkin D, Davydov DA, Kisialeu PG, et al. Pancreatic PEComa: Case Report of an Extremely Rare Tumor. Arch Iran Med. 2025;28(12):719-722. doi:10.34172/aim.34740.


责任编辑:肿瘤资讯-古木
排版编辑:肿瘤资讯-古木

版权声明

本文专供医学专业人士参考,未经著作人许可,不可出版发行。同时,欢迎个人转发分享,其他任何媒体、网站如需转载或引用本网版权所有内容,须获得授权,且在醒目位置处注明"转自:良医汇-肿瘤医生APP"。

评论
03月25日
刘杰
丹东市第一医院 | 肿瘤内科
胰腺血管周上皮样细胞肿瘤(PEComa)是一种极其罕见的间叶性肿瘤