您好,欢迎您

FM18.2 微课堂丨晚期胃癌伴腹膜转移内镜下完全缓解病例的启示——CLDN18.2/PD-L1共表达的临床决策思路

2025年11月28日

腹膜转移是晚期胃癌最具挑战性的疾病进展形式,预后极差。随着精准医学发展,生物标志物在治疗决策中的作用日益凸显。其中,CLDN18.2因表达稳定、靶向明确,并凭借两项关键性的Ⅲ期研究SPOTLIGHT与GLOW研究的结果,已成为继PD-L1之后指导胃癌一线治疗选择的新靶点。然而,临床上部分患者同时呈现CLDN18.2/PD-L1共表达,即“双阳性”特征。此类人群应优先采用免疫治疗还是靶向治疗,目前仍缺乏头对头比较证据和共识。


本期,我们将分享一例发表于 DEN Open 的典型病例,并邀请 上海交通大学医学院附属瑞金医院的严超教授 进行病例点评。该病例为CLDN18.2/PD-L1共表达伴腹膜转移的晚期胃癌患者,一线选用佐妥昔单抗联合化疗,治疗5个月内即实现了内镜下完全缓解(eCR),为“双阳性”患者的治疗选择提供了重要启示。

病例分享 [1]

基本情况

患者,男性,80岁,因“上腹痛、食欲不振”于2024年10月就诊。既往有高血压病史。


辅助检查

胃镜 胃窦大弯侧可见Borrmann III型胃癌(图1)。



图1. 上消化道内镜检查(a,b)显示胃窦大弯侧Borrmann III型胃癌


病理: 原发灶活检示未分化型腺癌。


免疫组化: HER2阴性;CLDN18.2阳性(定义为≥75%的肿瘤细胞膜染色强度呈中至强);PD-L1 CPS ≥ 5;pMMR。


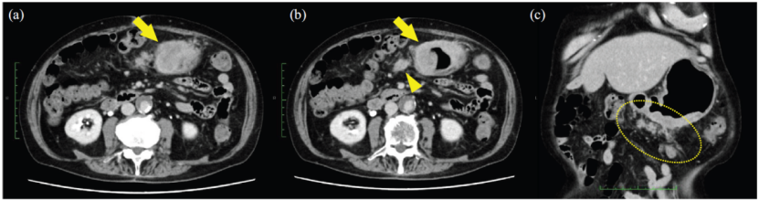
影像学检查: CT示胃下部胃壁不均匀强化,伴胃周淋巴结转移及大网膜种植转移可能(图2)。


图2. 诊断时的腹部CT检查结果。腹部CT (a-c) 显示胃下部胃壁不均匀强化(箭头),胃周淋巴结转移(三角箭头),以及大网膜种植转移可能(虚线圈)


肿瘤标志物: CEA(24.2 ng/ml)和CA19-9(324.6 ng/ml)均升高。


诊断

IV期胃癌(cT4aN1M1),伴腹膜转移。


治疗经过

一线治疗

患者接受mFOLFOX6方案(氟尿嘧啶+亚叶酸钙+奥沙利铂)联合佐妥昔单抗(首剂800 mg/m²,后续剂量400 mg/m²)治疗。


患者在治疗期间出现2级恶心,经止吐治疗后症状改善,无其他明显毒性反应,对治疗耐受性良好。治疗后患者体力状况逐渐改善,上腹疼痛症状逐渐缓解。


后续因周围神经毒性反应,从第11个周期起停止使用奥沙利铂。


疗效评估

治疗开始后第56天: CT显示原发病灶明显缩小,腹膜种植征象消失,疗效评估为部分缓解(PR)。同期内镜检查示胃原发病灶较前缩小,未见活动性出血或肠道狭窄(图3)。


图3. 上消化道内镜检查显示原发病灶整体缩小,部分区域伴有溃疡形成(箭头)


治疗开始后第5个月: CT评估显示,原发病灶及转移灶完全消失(cCR)。同期胃镜检查显示,胃原发病灶消失,呈瘢痕化(图4)。根据《日本胃癌分类第15版》 [2] 关于内镜下完全缓解 (eCR)——所有肿瘤消失,并且活检未检测到癌细胞——原发病灶疗效评估为eCR。


图4. 上消化道内镜检查显示原发病灶已经消失,并且可以观察到相对平滑的黏膜(箭头)。从瘢痕化的原发病灶处获得的活检标本显示仅存在炎性细胞,未发现肿瘤细胞

截至2025年4月,患者接受氟尿嘧啶联合佐妥昔单抗治疗已超过7个月,无肿瘤进展证据,肿瘤标志物水平亦无上升(图5)。


图5.(a)接受mFOLFOX6+佐妥昔单抗治疗期间的肿瘤标志物(CEA和CA 19-9)变化。(b)mFOLFOX6+佐妥昔单抗治疗前胃镜检查示Borrmann III型胃癌,mFOLFOX6+佐妥昔单抗治疗4个周期后肿瘤体积缩小,mFOLFOX6+佐妥昔单抗治疗9个周期后肿瘤消失

病例总结

本病例是一例高龄(80岁)、IV期伴腹膜转移、未分化型的晚期胃癌患者,生物标志物检测为CLDN18.2阳性、HER2阴性、PD-L1 CPS ≥ 5、pMMR。尽管患者伴有多重高危因素,但在接受佐妥昔单抗联合mFOLFOX6的一线治疗后,取得了卓越疗效。不仅在第56天CT观察到腹膜播散的消退,更在第5个月时经内镜及病理活检证实达到了eCR。这是目前全球报道的首例佐妥昔单抗联合化疗实现eCR的病例。该病例提示,对于未分化型胃癌,佐妥昔单抗联合化疗可能提供比免疫检查点抑制剂联合化疗更大的治疗获益。




病例点评

本期点评专家

严  超 教授


上海交通大学医学院附属瑞金医院


胃肠外科副主任,病区主任


医学博士,主任医师


日本自治医科大学博士后


瑞金医院无锡分院普外科学科带头人


中国抗癌协会胃癌专业委员会常务委员


中国抗癌协会腹膜肿瘤专业委员会常务委员


中国抗癌协会胃部肿瘤整合康复专业委员会常务委员


上海市抗癌协会腹膜肿瘤专业委员会主任委员


中国医师协会外科医师分会上消化道外科专家工作组专家委员


中国医师协会外科医师分会机器人外科专家工作组专家委员


中国抗癌协会胃癌专业委员会胃癌膜解剖研究协作组专家


上海市医师协会普外科医师分会胃肠外科工作组副组长


上海市医师协会医学机器人分会普外科工作组副组长


上海市抗癌协会胃肠肿瘤专业委员会常务委员


上海市抗癌协会胃癌专业委员会常务委员


上海市抗癌协会青年理事会常务理事


上海市医师协会肿瘤科医师分会委员


《中华胃肠外科杂志》通讯编委


《中国癌症杂志》常务青年编委


《外科理论与实践》编委

本病例的成功具有重要的临床启示价值。一位80岁高龄、伴腹膜转移的晚期未分化型胃癌患者,在一线接受佐妥昔单抗联合化疗后,在5个月内实现了eCR,这极大地提振了我们对此类高危难治患者的治疗信心。


这一卓越个案的背后,是SPOTLIGHT [3] 和GLOW [4] 两项全球III期临床研究的坚实循证基础 。这两项研究一致证明,一线佐妥昔单抗联合化疗(分别为mFOLFOX6和CAPOX)较单用化疗显著改善CLDN18.2阳性、HER2阴性胃癌患者的无进展生存期(PFS)和总生存期(OS)。一举确立了佐妥昔单抗联合化疗在这类患者中的一线标准治疗地位。


然而,本例患者生物标志物呈“双阳性”(CLDN18.2阳性且PD-L1 CPS ≥ 5),这直面了当前临床决策中的热点问题:在共表达的背景下,如何优化一线治疗策略?


既往 CLDN18.2微课堂也发表过一例CLDN18.2/PD-L1共表达的胃癌腹膜转移病例( CLDN18.2微课堂丨高危不等于无解,胃癌腹膜转移一线佐妥昔单抗联合化疗PFS达12个月 )。 该患者为35岁女性,同样是CLDN18.2阳性、腹膜转移,且PD-L1表达更高(CPS = 20)。她在一线治疗中入组GLOW研究,接受“佐妥昔单抗+CAPOX”方案,获得了长达12个月的PFS,优于GLOW研究报道的中位PFS(8.2个月)。更具启发性的是,该患者在靶向治疗进展后,二线和三线接续给予免疫联合治疗继续获益:二线白蛋白紫杉醇+信迪利单抗,PFS 6个月;三线阿帕替尼+信迪利单抗(因治疗2个月后失访,PFS未知)。


结合这两个病例的治疗经历,我认为在制定治疗决策时,以下两个维度的科学依据值得充分考量:


1. 靶点的生物学特性与检测稳定性

与PD-L1相比,CLDN18.2的表达在原发灶和转移灶之间显示出更高的一致性 。PD-L1的表达常受肿瘤时空异质性影响,在不同肿瘤区域或疾病进展过程中可能存在波动 [5] ;而CLDN18.2作为紧密连接蛋白,其表达相对稳定。对于本例伴有广泛腹膜转移的患者,选择基于更稳定靶点的治疗方案,有助于降低因靶点异质性导致的治疗获益不确定性。


2. 特殊病理亚型与微环境特征的考量

组织学亚型对疗效的影响: 本例患者为“未分化型”腺癌。既往CheckMate 649等研究提示,PD-1抑制剂在弥漫型胃癌中的获益较肠型显著减弱 [6] 。相比之下,SPOTLIGHT和GLOW研究的亚组分析显示,佐妥昔单抗联合化疗在弥漫型/未分化型患者中保持了稳健的疗效。本例eCR的获得,进一步佐证了该方案在难治性组织亚型中的临床价值。


CLDN18.2与肿瘤免疫微环境的关系: 近期转化医学研究提示,CLDN18.2高表达肿瘤可能倾向于呈现“免疫冷肿瘤”特征 [7] 。2025年ESMO大会公布的一项多中心回顾性研究 [8] 显示,CLDN18.2高表达与接受PD-1/PD-L1抑制剂治疗的不良预后相关( HR =2.04, P =0.06),且独立于PD-L1表达状态。虽然该结论仍需前瞻性研究进一步验证,但这提示CLDN18.2高表达可能是制约免疫疗效的独立因素。因此,即便对于PD-L1阳性的“双阳性”患者,我们也不能忽视CLDN18.2高表达可能带来的疗效折扣,需更加审慎地评估免疫治疗的获益权重。


本例“未分化型”患者能够实现eCR,强有力地印证了在CLDN18.2阳性的前提下,佐妥昔单抗是一种不受组织学分型限制,且能规避免疫治疗风险的高效治疗选择。


综上所述,本例未分化型胃癌患者实现eCR的临床实践,结合现有的循证医学证据,提示对于CLDN18.2与PD-L1共表达人群,“精准靶向”不仅是基于靶点稳定性的理性选择,也是针对特定病理亚型(如未分化型)优化疗效的重要策略。


基于佐妥昔单抗联合化疗在III期研究中的明确获益及在难治性病例中的优异表现,依据《CSCO胃癌诊疗指南(2025版)》 [9] ,CLDN18.2检测已被列为I级推荐。通过全面、准确的生物标志物评估,为CLDN18.2阳性患者提供更具确定性的治疗选择,以期实现生存获益的最大化。


参考文献

[1] Sasaki A, Yamaba T, Tachibana A, et al. Endoscopic Complete Response to Zolbetuximab for Advanced Gastric Cancer With Claudin 18.2 Positive: A Case Report. DEN Open. 2025;6(1):e70189. Published 2025 Aug 22.

[2] Japanese Gastric Cancer Association. Japanese Classification of Gastric Carcinoma (Kanehara & Co. Ltd, 2017).

[3] Shitara K, Lordick F, Bang YJ, et al. Zolbetuximab plus mFOLFOX6 in patients with CLDN18.2-positive, HER2-negative, untreated, locally advanced unresectable or metastatic gastric or gastro-oesophageal junction adenocarcinoma (SPOTLIGHT): a multicentre, randomised, double-blind, phase 3 trial. Lancet. 2023;401(10389):1655-1668.

[4] Shah MA, Shitara K, Ajani JA, et al. Zolbetuximab plus CAPOX in CLDN18.2-positive gastric or gastroesophageal junction adenocarcinoma: the randomized, phase 3 GLOW trial. Nat Med. 2023;29(8):2133-2141.

[5] Luo D, Zhou J, Ruan S, et al. Overcoming immunotherapy resistance in gastric cancer: insights into mechanisms and emerging strategies. Cell Death Dis. 2025;16(1):75. Published 2025 Feb 7.

[6] Janjigian YY, Shitara K, Moehler M, et al. First-line nivolumab plus chemotherapy versus chemotherapy alone for advanced gastric, gastro-oesophageal junction, and oesophageal adenocarcinoma (CheckMate 649): a randomised, open-label, phase 3 trial. Lancet. 2021;398(10294):27-40.

[7] Nakayama I, Qi C, Chen Y, et al. Claudin 18.2 as a novel therapeutic target. Nat Rev Clin Oncol. 2024;21(5):354-369.

[8] Terán E, et al. Claudin18.2 expression in gastroesophageal adenocarcinoma: biomarker overlap and association with immunotherapy outcomes – a multicenter study. ESMO 2025 2144p.

[9] 中国临床肿瘤学会指南工作委员会. 中国临床肿瘤学会(CSCO)胃癌诊疗指南(2025版).


审批编号:MAT-CN-VYL-2025-00348

审批时间:2025.11.25

材料有效期:2026.11.25