肺鳞癌的治疗是临床难题,如今,随着免疫治疗的快速发展,免疫检查点抑制剂在肺鳞癌的全程管理中表现出重要的临床价值。然而,对于同时合并肺功能严重受损的慢性阻塞性肺疾病患者,如何在疗效与安全之间精准平衡,仍是临床决策的难题。
本期分享由深圳市呼吸疾病研究所金常娥教授带来一例术后复发的肺功能严重受损肺鳞癌患者,该患者在复发后经多学科诊疗(MDT)反复研讨,接受舒格利单抗联合白蛋白紫杉醇方案,迅速实现病灶显著缩小,并长期维持完全缓解状态,无进展生存期(PFS)已逾3年,且全程未发生免疫相关性肺炎。特邀深圳市呼吸疾病研究所吴迪教授进行点评。
主任医师 医学博士
深圳市人民医院 深圳市呼吸疾病研究所
学术任职:
广东省医学会肺部肿瘤学分会委员
广东省女医师协会肺癌专业委员会委员
广东省精准医学应用学会肺癌分会常务委员
广东省基层医药学会中西医结合呼吸与危重症专业委员会常务委员
中国呼吸肿瘤协作组南区委员
广东省胸部肿瘤防治研究会脑转移专业委员委员
基本信息
患者男,70岁。
主诉:发热伴咳嗽、咳痰6天。
既往史:高血压病史。
入院时间:2019年3月31日。
现病史
患者6天前受凉后出现发热,最高热度38.9℃,伴咳嗽、咳黄痰,2天前查血常规:白细胞计数 20.02 ↑ X10^9/L,中性粒细胞比值 85.8↑ %;甲型流感病毒抗原检测阴性,予“头孢克肟+橘红痰咳液”治疗后,患者咳嗽、咳痰症状仍无明显好转,仍有发热,体温仍持续在37.8-38℃之间,来我院急诊就诊,查血常规:白细胞计数 15.35 ↑ X10^9/L,中性粒细胞比值 83.4 ↑ %;胸部CT : 1、左肺上叶大片不规则高密度影,考虑感染性病变可能。2、两肺慢支、肺气肿;主动脉及冠脉硬化。诊断考虑“肺部感染”,予“头孢哌酮钠舒巴坦钠联合左氧氟沙星”抗感染治疗后,患者热度降至37.3℃,但仍咳嗽、咳痰。收住院。
入院检查
血常规:白细胞计数 15.35×109/L↑,中性粒细胞比值:83.4%↑;肝肾功能正常;
血气分析示:PH 7.493 PO2 55mmHg PCO2 34.4mmHg SO2 91%,提示I型呼吸衰竭;肺癌标志物:正常。
影像学检查
头颅MRI增强:双侧额顶叶少许缺血灶。
支气管镜检查:左上叶新生物。
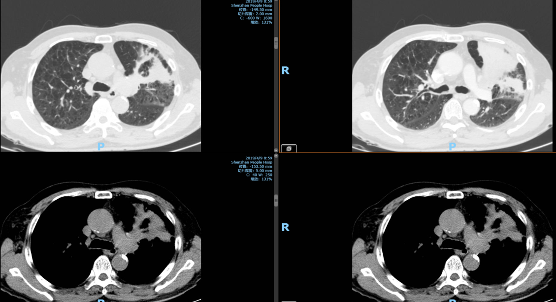
2019-04-09胸腹部增强CT:左肺上叶-左肺门可见大片不规则实变影较前明显并中度强化,左肺上叶支气管变窄,左肺门及纵膈可见数枚小淋巴结,需考虑肿瘤性病变,两肺慢性支气管炎、肺气肿。
支气管活检病理:(左上叶新生物)小活检标本,结合免疫组化结果,病变为肺浸润性鳞状细胞癌。IHC:P40(+)、P63(+)、NapsinA(-)、TTF-1(-)。

基因检测:
基因检测未见有明确临床意义的I类变异,PD-L1 40%
诊断结果:左上肺鳞癌,分期待定,I型呼吸衰竭,慢性阻塞性肺疾病。
手术及围术期治疗:
新辅助治疗:顺铂+吉西他滨治疗3周期、纳武利尤单抗治疗4周期
手术治疗:2019-08-06,于外院左肺癌切除术+支气管成形术+纵隔淋巴结清扫术。术后诊断为左肺鳞癌伴纵隔淋巴结转移pT1cN1M0 IIB期。
辅助治疗:术后予4个周期吉西他滨+卡铂化疗,建议患者免疫维持治疗,患者拒绝。
2022-08-31,复查胸部增强CT:与2021-12比较,1. 左肺上叶术后改变,右肺上叶实性结节,大小约21mm×19mm,较前明显增大,考虑肿瘤性病变;术区少许慢性炎症。双肺数枚小结节。

2022-09-18,患者于外院进一步完善PET/CT示:新见右肺上叶尖段结节,葡萄糖代谢增高,原发性肺癌与转移相鉴别,前者可能性大(右肺上叶纵隔旁见一软组织密度结节,形态不规则,大小(2.2×1.6cm)。另新发右肺下叶背段结节及纵隔内2R组淋巴结,糖代谢高,考虑为转移。肺气肿;双肺散在小肉芽肿。考虑左侧肾上腺增生可能。并行纤支镜+肿物活检,未成功活检取组织,再次入住我院。
2022-10-01完善支气管镜透壁肺活检(支气管镜检查报告见图3),病理检查示:(右上叶肺组织)送检组织可见少许异型细胞,考虑恶性肿瘤,,结合免疫组化及临床病史,符合鳞状细胞癌。免疫组化:TTF-1(-)、 CK7 (-)、 Ki-67 (60%+)、 P63 (+)、 P40(+)、 Napsin A(-)。
更新诊断:
左肺鳞癌术后复发伴纵隔淋巴结、右肺转移rT1cN2M1a IVA期
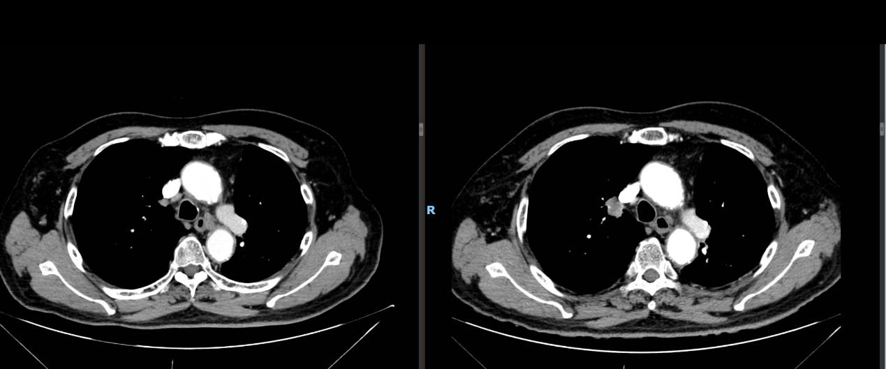
MDT:胸外科会诊考虑有手术机会,患者肺功能不佳(见图4),风险较大,患者拒绝。



晚期治疗:
2022-10至2024-12-12期间,行舒格利单抗联合白蛋白紫杉醇6期治疗,后舒格利单抗维持治疗35周期。
疗效评估:
2022-12复查CT:1. 左肺上叶术后改变,右肺上叶尖段纵隔旁实性结节,现大小约16mm×8mm,较前缩小2. 慢支、肺气肿。
2023-03复查CT:1. 左肺上叶术后改变;右肺上叶尖段纵隔旁实性结节,现大小约7mm×6mm,较前缩小;原左肺上叶舌段结节,现片未见,另双肺数枚小结节,大致同前,随访。2. 左肺门及纵隔数枚淋巴结,同前相仿。3. 慢支、肺气肿;主动脉及冠脉硬化,心包少许积液,大致同前。4. 肝S6小囊肿;双肾数枚囊肿;两侧肾上腺结节样增粗;大致同前。5. 前列腺钙化;阑尾粪石;横结肠、降结肠多发憩室。

2025-01复查全身PET-CT(对比2023-09-01本院 PET/CT及其他前片):1. 左肺癌术后改变,术区未见明确肿瘤复发征象,大致同前。残余左肺斑片状影较前稍增多,拟慢性炎性病变,对比2024-10-05本院CT所示大致同前;2. 右肺上叶纵隔胸膜下病灶大致同前,未伴糖代谢。对比2024-10-05本院CT所示大小大致同前;3. 对比2024-10-5本院CT,右肺下叶后基底段新增略高代谢小斑片灶,拟炎性可能性大,建议治疗后复查。4. 纵隔4R、4L组数枚炎性小淋巴,同前相仿。双肺多发小结节大致同前,未伴糖代谢增高,建议随诊观察。双肺气肿。右肺下叶慢性炎症同前相仿。心包积液。对比2024-10-05本院CT所示均大致同前。5. 左基底节少许小缺血灶:老年脑。鼻咽部弥漫炎症,大致同前。双侧筛窦慢性炎症,较前减轻。原双侧颈部I区数枚炎性淋巴结,现较前缩小,未伴糖代谢增高。6. 甲状腺体积缩小,请结合临床及实验室检查。7. 左侧肾上腺增生同前。双肾囊肿,大致同前。前列腺增生、多发钙化灶,大致同前;原前列腺右叶高代谢斑片灶,本次未见确切显示。8. 左腹股沟数枚炎性淋巴结,部分较前稍增大。9. 脊柱退行性变。
2025-10复查胸腹部增强CT:1.左肺上叶术后改变;双肺数个结节;大致同前,建议随访。2.慢支、肺气肿、肺大泡形成,大致同前。3.主动脉、主动脉瓣、二尖瓣及冠脉硬化,心包少量积液;所见大致同前。4.肝内小囊肿;右侧间位结肠。结肠多发憩室。5.附见:双肾多发囊肿。脐疝,疝内容为腹部脂肪。
图5. 2025-10胸部CT复查(视频)
病例总结:
1、患者诊断为左肺鳞癌术后复发伴纵隔淋巴结、右肺转移 rT1cN2M1a IVA期,合并慢阻肺,舒格利单抗联合白蛋白紫杉醇单药化疗后免疫维持,最佳疗效CR,PFS已达3年余。
2、患者合并重度慢阻肺,后出现感染性肺炎,口服抗生素治疗后好转,舒格利单抗治疗后未发生免疫检查点抑制剂肺炎等不良反应,PS评分1分,活动耐量较前无明显改变,生活质量高。
医学博士、主任医师、硕士研究生导师
深圳市呼吸疾病研究所、深圳市人民医院呼吸与危重症医学科副主任、支部书记
中华医学会呼吸病学分会肺癌学组委员
国家临床研究中心-中国呼吸肿瘤协作组南区常委
广东省医学会呼吸病学分会常委
广东省医学会肺部肿瘤学分会常委
广东省医师协会临床试验专业委员会常委
广东省医师协会肿瘤重症专业委员会常委
广东省呼吸与健康学会肿瘤专委会副主任委员
广东省基层医药学会肺癌专委会副主任委员
广东省胸部疾病学会肿瘤急危重症专业委员会副主任委员
广东省女医师协会肺癌专业委员会副主任委员
广东省医学会呼吸病学分会肺癌学组副组长
深圳市医师协会呼吸医师分会副会长
深圳市医学会呼吸病病学分会常委兼肺癌学组组长
专家点评
吴迪教授:本病例为一例70岁男性,初诊为左肺鳞癌伴阻塞性肺炎、I型呼吸衰竭,经新辅助化疗联合免疫治疗后成功降期并接受根治性手术,术后复发后再次经免疫联合化疗达到CR,PFS已超3年。该病例诊疗全程中,基于免疫检查点抑制剂的免疫治疗均发挥重要作用,体现了当下免疫治疗在肺鳞癌全程管理中的重要临床价值。
在手术前,主诊医生采用顺铂+吉西他滨联合纳武利尤单抗的新辅助治疗方案,不仅为后续根治性切除创造条件,也为患者赢得了肺功能改善的时间窗口。术后病理确认为pT1cN1M0 IIB期,证实新辅助治疗有效降期,充分体现了免疫检查点抑制剂在预期可手术患者中的应用价值。
在复发后晚期阶段,主诊医生面临对新发病灶的评估,经过MDT讨论,基于GEMSTONE-302研究的关键循证医学证据,启用舒格利单抗联合白蛋白紫杉醇方案。在临床研究中,基于舒格利单抗的联合化疗方案的客观缓解率(ORR)达到70.5%,对比对照组显著降低66%的疾病进展或死亡风险(HR 0.34;95%CI 0.24-0.48)和44%的死亡风险(HR 0.56;95%CI 0.43-0.87)[1]。患者治疗2个月后病灶即显著缩小,后达到CR疗效,PFS迄今超过3年,显示了舒格利单抗联合化疗方案的有效性。
本病例另一重要亮点在于“肺功能受限”与“长期生存”之间的成功平衡。患者重度慢阻肺基础、既往手术史、高龄等多重因素构成免疫检查点抑制剂肺炎的高危背景。由于舒格利单抗为全人源全长设计,免疫原性较低,可更好保障安全性和耐受性,在其GEMSTONE-302研究中免疫相关性肺炎发生率仅为1.3%[1],考虑到本病例患者的肺功能,这一安全性优势更为重要。患者在接受舒格利单抗治疗中未发生任何级别免疫检查点抑制剂肺炎,全程仅出现一次轻度感染性肺炎,经口服抗生素即控制。患者PS评分维持在1分,活动耐量无下降,生活质量良好。
总体而言,本病例从初诊局部晚期到术后复发转移,再到长时间的CR,完整呈现了免疫治疗在肺鳞癌全程管理中的多重角色。研究提示,选择合适的免疫检查点抑制剂,有助于患者保持生活质量的前提下,获得更好的生存结局。该病例将为PD-1经治后PD-L1抑制剂再挑战的策略提供一定参考意义。
[1] Zhou C, et al. Sugemalimab versus placebo, in combination with platinum-based chemotherapy, as first-line treatment of metastatic non-small-cell lung cancer (GEMSTONE-302): interim and final analyses of a double-blind, randomised, phase 3 clinical trial. Lancet Oncol. 2022 Feb;23(2):220-233.
排版编辑:肿瘤资讯-Zsy






苏公网安备32059002004080号