您好,欢迎您

医案集萃丨破局MSS型胃癌治疗困境:超高PD-L1表达作为纳武利尤单抗联合化疗获益预测因子的个案启示

03月09日
编译:肿瘤资讯
来源:肿瘤资讯

伴有肝转移和巨块淋巴结转移的胃癌通常预后极差,手术根治率低。虽然免疫检查点抑制剂(ICIs)已成为晚期胃癌的标准治疗,但其在微卫星稳定(MSS)型胃癌中的疗效仍存争议。本文报道了一例MSS、低肿瘤突变负荷(TMB)但伴有超高PD-L1表达的晚期胃癌患者,通过纳武利尤单抗联合化疗实现全病灶病理学完全缓解(pCR)的罕见病例。

病史与诊断

一名64岁男性患者因上腹痛就诊。胃镜检查显示胃窦小弯侧有一处约5cm的II型病变,活检证实为中分化腺癌。进一步影像学检查提示病情严峻:CT显示肝脏S6段存在一个6cm的巨大孤立转移灶,且伴有多个区域巨块淋巴结肿大(图1)。

39.png

图1. 化疗前检查结果。(A)内镜检查显示胃窦小弯侧有一处直径约5 cm的II型病变。(B)初次CT扫描显示肝脏第六段有一处直径约6 cm的转移性病变,边缘不规则,内部密度不均匀。(C)初诊时可见多个肿大的胃周淋巴结,提示淋巴结转移(白色箭头)。

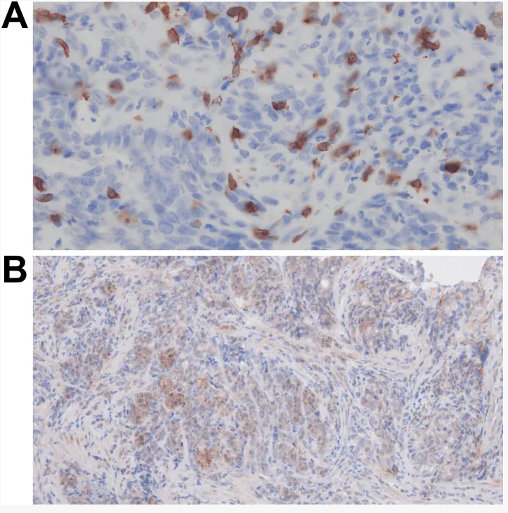
生物标志物检测:该患者的肿瘤分子特征表现为MSS、EBV阴性及HER2阴性。尽管TMB水平较低(7.8 mut/Mb),但免疫组化显示其PD-L1 CPS高达70分以上,且CD8+肿瘤浸润淋巴细胞(TIL)密度相对较高(图2)。此外,检测还发现其携带生殖系TP53 p.R106C突变。

391.png

图2. 免疫组化结果。(A)用抗CD8抗体染色的活检标本,在400倍放大倍率下观察。每个高倍视野平均可见约60个CD8阳性细胞。(B)用抗PD-L1抗体(克隆28-8)染色的活检标本,在200倍放大倍率下观察。可见大量PD-L1阳性细胞,联合阳性评分(CPS)≥70%。PD-L1,程序性死亡配体1;CPS,联合阳性评分。

治疗与转归

患者接受了4个周期的SOX方案(S-1联合奥沙利铂)联合纳武利尤单抗(360 mg/3周)的转化治疗。治疗过程中,肿瘤标志物CEA水平显著下降,从初诊时的40.01 ng/mL降至正常范围。影像学复查显示,原发灶几乎完全转为瘢痕,肝转移灶及肿大淋巴结显著回缩。

随后,医疗团队为患者实施了远端胃大部切除术(D2淋巴结清扫)及肝部分切除术。术后病理评估带来了惊人的结果:胃部原发灶、所有清扫的淋巴结及肝脏切除样本中均未发现存活的癌细胞,成功实现了全病灶病理学完全缓解(pCR)。

患者术后恢复顺利,未进行含免疫药物的辅助化疗。截至目前,该患者已实现无复发生存(RFS)超过3年3个月,预后极佳。

本病例提示,在MSS型胃癌中,传统的免疫治疗预测指标(如MSI或TMB)可能并非唯一的考量因素。


极高的PD-L1表达(CPS ≥70)可能是此类患者对ICI治疗产生深度响应的关键驱动力。对于此类患者,积极的系统治疗配合转化手术,不仅能改善生活质量,更有望获得长期临床治愈。本案例强调了精准分子检测在优化晚期胃癌治疗策略中的核心地位。

参考文献

[1] Nonaka K, Maniwa K, Takao C, et al. Pathological complete response in microsatellite-stable gastric cancer with liver and bulky lymph node metastases after nivolumab-based chemotherapy and surgery: a case report. Front Immunol. 2026;17:1750532. doi:10.3389/fimmu.2026.1750532

责任编辑:古木
排版编辑:古木

版权声明

本文专供医学专业人士参考,未经著作人许可,不可出版发行。同时,欢迎个人转发分享,其他任何媒体、网站如需转载或引用本网版权所有内容,须获得授权,且在醒目位置处注明"转自:良医汇-肿瘤医生APP"。


评论
03月09日
刘杰
丹东市第一医院 | 肿瘤内科
伴有肝转移和巨块淋巴结转移的胃癌通常预后极差,手术根治率低