您好,欢迎您

循证有例|胃癌?胆囊炎?竟是隐匿性乳腺癌的罕见首发表现!

03月02日
来源:肿瘤资讯

乳腺癌是全球女性最常见的恶性肿瘤。我们熟知的乳腺癌转移常见部位通常是骨骼、肺、肝脏和大脑。然而,浸润性小叶癌(Invasive Lobular Carcinoma, ILC)作为一种独特的乳腺癌亚型(占所有乳腺癌的 4%-18%),其转移模式与常见的浸润性导管癌不同,更易累及胃肠道等罕见部位,且常以转移灶为首发表现,极易误诊为原发性胃肠道肿瘤。本文通过一例以胃、胆囊转移为首发症状的隐匿性 ILC 病例,梳理其诊疗全过程,结合文献探讨该类罕见转移的临床特点、诊断难点及鉴别要点,旨在提高临床对乳腺癌非典型首发表现的识别能力。

病例介绍

患者,女,62 岁,因“吞咽困难2个月,体重下降 6kg”就诊。

基础病史:既往有复发性尿路感染、长期白细胞减少病史,无癌症家族史,无乳腺疾病既往史及检查史。

临床检查与初步诊断

体格检查:无明确阳性体征,未触及乳腺肿块及腋窝肿大淋巴结,腹部无压痛、反跳痛,未触及包块。

辅助检查

  • 腹部增强 CT:胃壁增厚,胆囊收缩,肝、胰腺未见异常;

  • 胃镜:胃黏膜呈浸润性硬癌样改变,黏膜皱襞坚硬融合,考虑原发性胃癌;

  • 胃镜活检:少量低黏附性癌细胞,初步诊断为胃腺癌。

诊疗经过

手术治疗

因高度怀疑原发性胃癌,行全胃切除术 + 胆囊切除术。术中见胃壁浸润性肿物,大小约 6×9cm,呈“皮革胃”形态;胆囊大小5×1cm,壁增厚0.6cm。

病理与免疫组化确诊

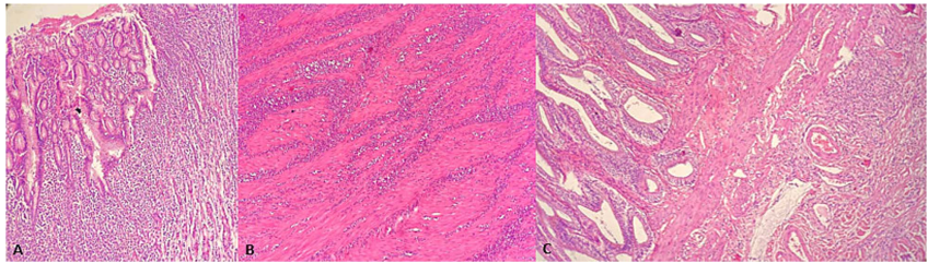
组织病理:胃壁及胆囊壁内均可见弥漫浸润的低黏附性肿瘤细胞,胃腺体未受破坏,肿瘤细胞弥漫穿透胃固有肌层至浆膜层(图 1A、1B、1C);

图片1.png

图1. HE染色显示肿瘤细胞在胃黏膜(A)、胃肌层(B)及胆囊壁(C)中呈弥漫性浸润

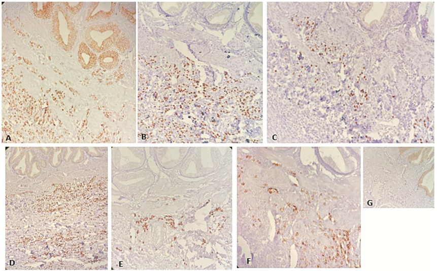
免疫组化(图 2):肿瘤细胞雌激素受体(ER)阳性、孕激素受体(PR)阳性、GATA3 阳性、乳腺珠蛋白(Mammaglobin)阳性、囊泡病液体蛋白 15(GCDFP-15)阳性,E - 钙粘蛋白(E-cadherin)表达缺失,CDX2 阴性(胃肠道来源标志物);

图片2.png

图2. 免疫组化(A)CK7×100。(B)ER×200。(C)PR×200。(D)GATA3×100。(E) 乳腺珠蛋白×200。(F)GCDFP-15×200。(G)E-钙黏蛋白×200

最终诊断:结合病理形态及免疫表型,排除原发性胃癌,确诊为隐匿性ILC(原发灶未发现)伴胃、胆囊转移。

预后情况

术后因不明原因腹腔积血,患者于术后 2 周因呼吸循环衰竭死亡,未能启动针对乳腺癌的系统性治疗。

讨论

转移特征

ILC的标志性特征是 E-钙粘蛋白功能的丧失,这导致肿瘤细胞间粘附力下降,使其容易以单个细胞的形式弥漫浸润周围组织,而非形成肿块。这解释了为何它常表现为腹膜后的弥漫性病变或空腔脏器的管壁增厚,而非明显的瘤体。胃肠道转移中,胃转移占 6%-18%(多表现为“皮革胃”),结直肠转移占 8%-12%,胆囊转移则极为罕见,多在胆囊切除术时偶然发现。

诊断难点与鉴别要点

临床与影像学迷惑性:ILC 胃转移的“皮革胃”表现、胆囊转移的壁增厚,与原发性胃癌、胆囊癌的影像学特征高度重叠,无特异性鉴别点;胃镜活检仅见低黏附性癌细胞,形态上难以区分乳腺来源与胃肠道来源。

免疫组化是确诊核心:需通过特异性标志物组合鉴别(表 1):

  • 乳腺来源标志物:ER、PR、GATA3、Mammaglobin、GCDFP-15 阳性,E-cadherin 缺失(ILC 典型特征);

  • 胃肠道来源标志物:CDX2 阳性(本例阴性),ER、PR、GATA3 多阴性;

  • 本例通过“ER+、PR+、GATA3+、Mammaglobin+、E-cadherin 缺失、CDX2-”的免疫表型,明确为乳腺 ILC 转移。

表1 鉴别转移性小叶型乳腺癌与原发性胃腺癌的免疫组化特征表

图片3.png

治疗与预后启示

治疗原则:若确诊时患者一般情况允许,ER/PR 阳性的转移性 ILC 治疗以内分泌治疗为主,可联合 CDK4/6 抑制剂等靶向药物,治疗方案与原发性乳腺癌一致。

预后特点:以罕见部位转移为首发表现的隐匿性 ILC,往往发现时已处于晚期,预后较差,本例因术后并发症死亡,未获得针对性治疗。

临床警示:对于女性患者,尤其是无明确胃肠道病史却出现“皮革胃”、胆囊壁增厚等表现时,需警惕 ILC 转移可能,及时完善乳腺特异性免疫组化检测,避免误诊为原发性胃肠道/胆囊肿瘤而延误治疗。

小结

 ILC可表现为无乳腺原发灶的隐匿性疾病,以胃、胆囊等罕见部位转移为首发症状,极易误诊。临床遇低黏附性癌细胞相关的胃肠道或胆囊病变时,需结合患者性别、免疫组化标志物(ER、PR、GATA3、E-cadherin 等)综合判断,避免漏诊隐匿性乳腺癌。早期识别、精准诊断是改善这类患者预后的关键,未来需加强对 ILC 特殊转移模式的认知与研究。

参考文献

Krsteska B, Ivkovska S, Filipovski V, et al. Gallbladder and gastric metastasis as initial presentation of an undiagnosed primary lobular breast carcinoma. Oxford Medical Case Reports. 2026; 2026(2):158–161. doi:10.1093/omcr/omag009.

责任编辑:肿瘤资讯-Jina
排版编辑:肿瘤资讯-slb
版权声明
本文专供医学专业人士参考,未经著作人许可,不可出版发行。同时,欢迎个人转发分享,其他任何媒体、网站如需转载或引用本网版权所有内容,须获得授权,且在醒目位置处注明"转自:良医汇-肿瘤医生APP"。

评论
03月02日
颜昕
漳州市医院 | 乳腺外科
隐匿性乳腺癌的罕见首发表现!