您好,欢迎您

循证有例|上肢深静脉血栓竟是隐匿性乳腺癌的“预警信号”

02月28日
编译:肿瘤资讯
来源:Front. Cardiovasc. Med.

上肢深静脉血栓(UEDVT)在临床上虽然比下肢血栓少见,但其临床意义重大。值得警惕的是,UEDVT往往是潜在恶性肿瘤的首发表现,常给临床诊断和治疗带来巨大挑战。本文介绍了一例来自罗马尼亚的因UEDVT进而发现隐匿性乳腺癌的典型病例[1]


病例介绍

初始症状与误诊

一名66岁的女性患者,既往无重大疾病史。就诊前3个月,无明显诱因出现左前臂、左环指、左小指麻木(感觉异常),初步诊断为“腕管综合征”。然而,在接受了腕管减压手术后三天,患者突发左上肢明显肿胀伴剧烈疼痛,随后被紧急送往急诊科。

查体


左侧上肢明显水肿,左腋窝未触及肿块。

影像学与实验室检查


实验室检查可见白细胞及中性粒细胞比例升高伴轻度贫血,C-反应蛋白和D-二聚体水平升高。

彩超显示锁骨下静脉、腋静脉、肱静脉广泛性血栓形成,且腋窝处存在不规则不均质肿块,对上述血管造成压迫。

遂进一步完善相关检查:肿瘤标志物CA15-3显著升高至991.6U/mL(正常参考值<31.3U/mL)。常规的乳腺钼靶检查和乳腺超声检查均为阴性(BI-RADS 2级),未发现明显的乳腺病灶。

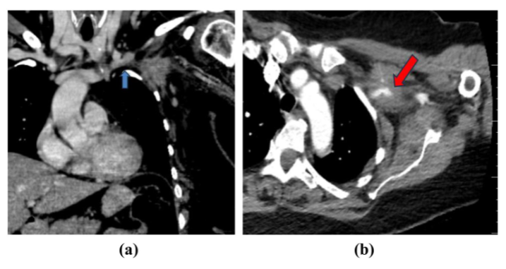
行胸部CTA提示左腋窝顶部有一38×52×58mm明显强化肿块,浸润胸小肌和肋间肌;同时可见左侧锁骨下动、静脉肿瘤浸润,节段性静脉血栓和重度动脉狭窄;腋窝处可见多发可疑肿大淋巴结,右肺上叶见一毛刺状肺结节,肝脏见乏血供病灶(倾向血管瘤表现)。

c.png图1(a)胸部CTA静脉期冠状位——箭头示左侧锁骨下静脉内血栓,与肿瘤相延续(肿瘤浸润/癌栓形成);(b)胸部CTA轴位——箭头示锁骨下/腋动脉受肿瘤包绕,血流通畅。

全身PET-CT扫描显示左锁骨下区见代谢活跃性肿块,浸润周围肌肉及左侧锁骨下动、静脉,伴锁骨上淋巴结肿大;同时检测到多发溶骨性骨病灶,部分病灶18F-FDG摄取增高,高度可疑转移,需密切随访。

d.png图3 PET‑CT图像——胸肌间高代谢灶

初步经CT引导下的腋窝肿块穿刺活检,病理提示为浸润性小叶癌(G1,雌激素受体[ER]100%强阳性,孕激素受体[PR]阴性,Ki-67%<5%)。经二次活检及免疫组化补充,最终确诊为浸润性导管癌,HER2阳性,而进一步FISH检测未见HER2基因扩增。

e.png

图2 (a)H&E染色,10倍物镜。乳腺组织片段可见浸润性小叶癌浸润;(b)ER免疫组织化学染色;(c)GATA3免疫组织化学染色;(d)广谱细胞角蛋白(pCK)免疫组织化学染色。

治疗及预后


予以低分子肝素、利伐沙班抗凝,芳香化酶抑制剂来曲唑抗肿瘤。两个月后,患者左肢肿胀完全消退,超声显示血栓显著缩小,锁骨下静脉已恢复血流,左侧上肢活动能力逐步恢复,总体预后良好。


讨论

UEDVT与肿瘤的相关性

上肢血栓的形成主要机制是潜在肿瘤肿块造成静脉外源性压迫,反映了局部血液淤滞的病理过程,并不完全归因于全身高凝状态。认识这一特殊性至关重要,因为上肢深静脉血栓可能是副肿瘤综合征的表现,也可能是隐匿性恶性肿瘤的首个线索。

诊断的挑战


本病例中,肿瘤标记物与传统影像学的巨大反差值得思考。即使钼靶和超声呈现阴性,CA15-3明显升高需高度警惕潜在恶性肿瘤。这凸显了组织病理学检查相较于影像学检查的核心诊断价值。

抗凝剂的选择


现有证据和诊疗指南均支持对癌症相关血栓患者采取个体化抗凝治疗策略,并在肿瘤治疗期间动态评估出血风险。对于出血风险低、临床指标稳定的患者,口服抗凝药是低分子肝素的有效且安全替代方案。此外,有研究提示其可能存在潜在抗肿瘤相关效应,但尚缺乏确证性证据。而对于高出血风险场景,如活动性黏膜病变、重度血小板减少、复杂化疗方案等,低分子肝素仍为首选抗凝药物。

参考文献

[1] Chiorescu S, Oiegar R, Mocan M, Trif M, Ciocan RA and Chiorescu RM (2026) Case Report: Upper extremity deep vein thrombosis revealing an occult invasive ductal breast carcinoma. Front. Cardiovasc. Med. 13:1742549. doi: 10.3389/fcvm.2026.1742549



责任编辑:肿瘤资讯-Hanna
排版编辑:肿瘤资讯-Hanna

版权声明
本文专供医学专业人士参考,未经著作人许可,不可出版发行。同时,欢迎个人转发分享,其他任何媒体、网站如需转载或引用本网版权所有内容,须获得授权,且在醒目位置处注明"转自:良医汇-肿瘤医生APP"。