您好,欢迎您

循证有例|罕见且易误诊!一例原发性多灶性乳腺神经内分泌肿瘤的诊疗迷局

02月25日
整理:肿瘤资讯

原发性乳腺神经内分泌肿瘤(primary neuroendocrine neoplasm of the breast, Br-NEN)是极为罕见的乳腺癌亚型,占所有乳腺癌的比例不足 1%,因临床及病理特征缺乏特异性,且易与转移性神经内分泌肿瘤混淆,诊断难度极大。本文通过一例 40 岁女性的多灶性乳腺神经内分泌肿瘤病例,探讨其独特的临床表现及病理诊断逻辑,旨在提高临床对该类罕见肿瘤的认识与鉴别能力。

病例介绍

患者,女,40 岁,因“右乳进行性增大无痛性肿块3个月”就诊。

体格检查:右乳内上象限及内下象限可触及两个肿块,大小分别约 30mm、15mm,质地较硬,边界不清,活动度差,无压痛;右侧腋窝可触及肿大淋巴结,质硬,无压痛。

影像学检查:

  • 乳腺钼靶:右乳见两个不规则、不均匀低回声实性肿块,BI-RADS IVC 类;

  • 乳腺超声:右侧腋窝淋巴结皮质增厚,最大径约 20mm,提示可疑转移。

初步病理筛查:

超声引导下右乳肿块及右侧腋窝淋巴结细针穿刺细胞学(FNAC)检查:肿瘤细胞呈松散簇状、散在分布,部分呈腺泡样排列,细胞呈浆细胞样,核轻度异型,诊断为癌伴腋窝淋巴结转移(图 1A、1B)。

图片5.png

图1

病理与免疫组化确诊:

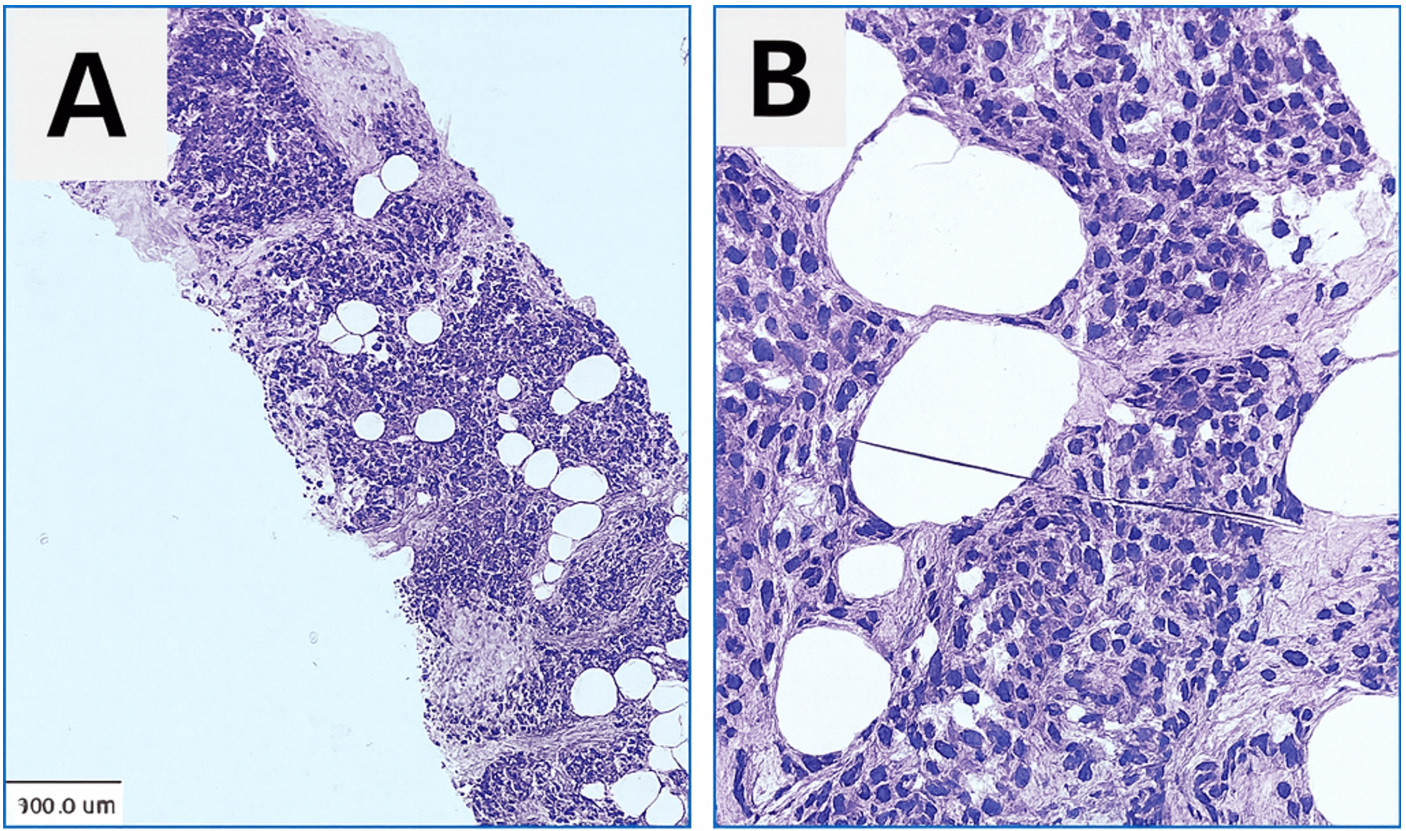
超声引导下空心针活检(图 2A、2B):肿瘤细胞呈片状、巢状分布,细胞形态单一,呈浆细胞样,核偏心位、圆形至椭圆形,染色质呈细颗粒状。

图片6.png

图2

免疫组化结果示:突触素(Syn)弥漫阳性、嗜铬粒素 A(CG)弥漫阳性,Ki-67 增殖指数约 2%;ER、PR强阳性(Allred 评分 8/8),Her-2阴性(0),诊断为“浸润性癌伴神经内分泌分化”。

治疗经过

手术治疗与最终诊断

为明确病变性质并进行根治性治疗,患者接受了右侧改良根治性乳房切除术及腋窝淋巴结清扫术。

  • 大体标本:右乳见两个灰白实性肿瘤,大小分别为 30mm、15mm,间距>5mm,边缘浸润性;

  • 术后病理:两个肿块均呈不规则实性巢状排列,>90% 肿瘤细胞具有神经内分泌分化特征,伴明显促纤维结缔组织增生反应,可见实性生长模式的导管原位癌(DCIS)成分,形态与神经内分泌肿瘤一致;免疫组化示肿瘤细胞及 DCIS 成分均弥漫表达Syn、CG、GATA3、GCDFP15、乳腺珠蛋白(mammaglobin),TTF1、CDX2 阴性;

  • 淋巴结转移:17 枚腋窝淋巴结中 3 枚见转移;

  • 全身评估:Ga-68 DOTANOC PET/CT 排除其他部位原发肿瘤。

综合上述结果,最终确诊为NET G1 期,pT2 (m) N1a,IIIA 期(“m”代表多灶性)。

术后辅助治疗与随访

治疗方案:术后予 8 周期辅助化疗(前 4 周期多柔比星 90mg + 环磷酰胺 900mg;后 4 周期紫杉醇 230mg + 卡铂 400mg),后续口服他莫昔芬 20mg/日维持治疗;

随访结果:术后 1 年 PET-CT 无肿瘤复发转移迹象,截至术后 2 年,患者持续无病生存,规律肿瘤专科随访中。

讨论

疾病特点与罕见性

定义与分类:根据 2019 年 WHO 乳腺肿瘤分类标准,乳腺肿瘤中>90% 细胞具有神经内分泌形态且神经内分泌标志物(Syn、CG 等)阳性者,定义为Br-NEN;10%-90%为混合性浸润癌;<10%为普通型浸润癌伴神经内分泌分化。本例肿瘤细胞神经内分泌分化比例>90%,符合 Br-NEN 诊断。

多灶性特征:多灶性 Br-NEN 更为罕见,易与乳腺内转移性肿瘤混淆,需通过全身影像学排除其他部位原发灶,并结合乳腺特异性标志物(GATA3、GCDFP15、mammaglobin 阳性)确认乳腺原发。

病理与分子特征:典型病理表现为细胞形态单一、巢状/片状排列、染色质细颗粒状;多为 ER/PR 阳性、Her-2 阴性(本例符合该特征),Ki-67 增殖指数低(G1 期≤3%),生物学行为相对温和。

诊断难点与鉴别要点

与转移性神经内分泌肿瘤鉴别:需通过全身影像学(如 PET-CT)排除肺、胃肠道等常见原发部位,乳腺特异性标志物(GATA3 等)阳性、转移相关标志物(TTF1 肺来源、CDX2 胃肠道来源)阴性是关键鉴别依据。

诊断流程:临床遇形态单一、巢状排列的乳腺肿瘤,需常规加做神经内分泌标志物(Syn、CG)及乳腺/转移特异性标志物,结合全身影像学,方可确诊。

治疗策略

手术治疗:以根治性手术为主,多灶性病变可行改良根治术,早期病例也可考虑保乳手术 + 腋窝淋巴结评估,本例因多灶性及腋窝淋巴结转移,选择改良根治术。

全身治疗:目前无标准化方案,NCCN、ESMO 无专门指南推荐,临床多参考激素受体阳性普通乳腺癌治疗原则。本例为 ER/PR 阳性、Her-2 阴性,予化疗联合内分泌治疗(他莫昔芬),疗效显著。

预后:Br-NEN 预后较普通型浸润癌差,5 年疾病特异性生存率约 63.39%,分期、组织学分级是主要预后因素,G1 期预后相对较好,本例术后 2 年无复发,符合预期。

小结

Br-NEN极为罕见,诊断需严格满足“神经内分泌成分>90%、排除转移、确认乳腺原发”三大条件,依赖病理形态、免疫组化及全身影像学的综合评估。治疗可参考激素受体阳性普通乳腺癌方案,手术联合化疗 + 内分泌治疗可获得较好预后。本例提示,临床遇形态特殊的乳腺肿瘤,需警惕神经内分泌肿瘤可能,避免漏诊或误诊,未来需更多大样本研究明确其生物学行为及标准化诊疗方案。

参考文献

[1] Ratnaparkhi S, Ramteke P, Sawarkar P, et al. (January 05, 2026) Primary Multifocal Neuroendocrine Tumor of the Breast: A Diagnostic Dilemma. Cureus 18(1): e100863. DOI 10.7759/cureus.100863

责任编辑:肿瘤资讯-Jina
排版编辑:肿瘤资讯-slb
版权声明
本文专供医学专业人士参考,未经著作人许可,不可出版发行。同时,欢迎个人转发分享,其他任何媒体、网站如需转载或引用本网版权所有内容,须获得授权,且在醒目位置处注明"转自:良医汇-肿瘤医生APP"。

评论
02月26日
戴明
厦门市中医院 | 肿瘤科
乳腺特异性标志物(GATA3 等)阳性、转移相关标志物(TTF1 肺来源、CDX2 胃肠道来源)阴性是关键鉴别依据
02月26日
庞静
中山大学附属第五医院 | 肿瘤内科
好好学习天天向上
02月26日
张德伟
黄骅市人民医院 | 放疗科
原发性乳腺神经内分泌肿瘤(primary neuroendocrine neoplasm of the breast, Br-NEN)是极为罕见的乳腺癌亚型,占所有乳腺癌的比例不足 1%。