您好,欢迎您

循证有例|极易误诊!一例酷似原发性肺癌的男性隐匿性乳腺癌诊疗启示

02月11日
整理:肿瘤资讯

男性乳腺癌本身是罕见的恶性肿瘤,占全球乳腺癌的0.6%,而隐匿性乳腺癌(Occult Breast Cancer, OBC)以腋窝淋巴结或远处转移为主要表现,乳腺内无明确原发灶,在男性中更为罕见,发生率仅0.2%-0.9%。本文通过一例男性隐匿性乳腺癌表现为肺转移的病例,梳理其从“疑似肺癌”到“确诊乳腺癌”的诊疗全过程,结合文献探讨该类罕见疾病的临床特点、诊断难点及治疗策略,旨在提高临床对男性非典型乳腺癌的识别能力。

病例介绍

患者,男,55 岁,因“咳嗽、咳痰伴胸闷”于 2025 年 6 月就诊。

基础病史与危险因素:无乳腺癌及其他肿瘤家族史,无长期激素用药史,无明确肿瘤相关流行病学暴露史,无遗传性疾病既往史。

初始诊疗与病情进展

首诊当地医院

  • 症状:咳嗽、咳痰、胸闷,疑似肺部感染,予布地奈德、沙丁胺醇、莫西沙星对症治疗,症状无改善。

  • 影像学:胸部 CT 示右肺下叶 3.7×2.5cm 占位性病变(图 1A),左侧腋窝淋巴结肿大(图 1D)。

转诊滨州医学院附属医院

  • 实验室检查:肿瘤标志物显著升高,癌胚抗原(CEA)28.32ng/ml、细胞角蛋白 19 片段(CY21-1)47.68ng/ml、糖类抗原 153(CA153)541.20U/mL、糖类抗原 125(CA125)104.00U/mL,排除感染。

  • 影像学:颈胸上腹增强 CT 示右肺下叶 36×23mm 占位(图 1B)、左侧腋窝淋巴结肿大(图 1E);头颅增强 MRI + 弥散加权成像(DWI)示左额叶结节,考虑转移灶。 

1.png

图1. 患者肺部肿物及左侧腋窝淋巴结的变化。(A-C)分别显示 6 月 1 日、6 月 4 日及 7 月 21 日的右肺病变;(D-F)分别显示对应时间的左侧腋窝淋巴结病变。红色箭头指示病灶位置。

为明确诊断,医生首先对左侧腋窝淋巴结进行了超声引导下穿刺活检。病理结果显示为纤维结缔组织内见腺癌浸润,呈部分微乳头状结构;免疫组化显示 GATA-3(+)、TRPS1(+)、ER(+),而肺癌常见标志物 TTF-1 和 Napsin A 均为阴性,这提示肿瘤可能来源于乳腺。

考虑到患者肺部存在孤立性肿块,且男性隐匿性乳腺癌极为罕见,为排除原发性肺癌的可能,医生随后对右肺肿物进行了穿刺活检。肺部病理同样显示为低分化腺癌,免疫组化 GATA-3 及 TRPS1 阳性,TTF-1 及 Napsin A 阴性,再次证实了肺部病灶亦源自乳腺,但值得注意的是,肺部病灶的 ER 和 PR 均为阴性。

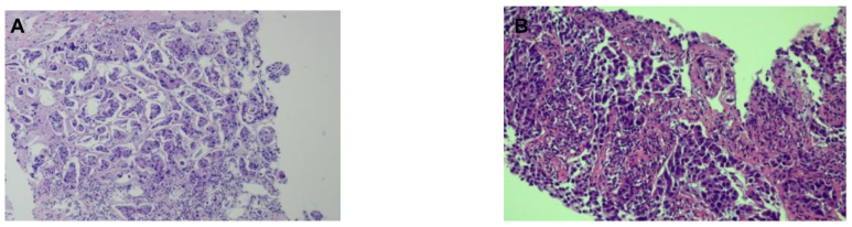
2.png

图2. 腋窝淋巴结和肺部肿块活检的 HE 染色结果。 (A) 左侧腋窝淋巴结活检的 HE 染色结果。 (B) 右侧肺部病灶活检的 HE 染色结果。

诊断:结合影像学、肿瘤标志物及病理结果,确诊为男性隐匿性乳腺癌 Ⅳ 期(cTxN3M1),伴肺、脑、腋窝淋巴结转移(乳腺内未发现明确原发灶)。

治疗与疗效评估

初始治疗:因患者抗拒化疗,未选用强效 TP 方案,予 TX 方案(多西他赛 130mg d1 + 卡培他滨 1.5g bid d1-14)1 周期,计划后续联合内分泌治疗。

治疗调整与疗效:

  • 2025 年 7 月 21 日复查:

    肿瘤标志物升高(CEA 32.6ng/mL、CA125 131.0U/mL、CA153 900.2U/mL),将多西他赛更换为白蛋白结合型紫杉醇(400mg d1),继续联合卡培他滨(1.5g bid d1-14),共 3 周期。

  • 2025 年 9 月 3 日评估:
    肿瘤标志物:CEA 20.8ng/mL、CA125 63.28U/mL、CA153 635.20U/mL,较前下降;影像学:右肺下叶肿块缩小至 25×22mm(图 1C),左侧腋窝淋巴结缩小(图 1F);但头颅 MRI 示左额叶原病灶增大,新增左额及左颞枕叶转移灶。

后续干预:继续白蛋白结合型紫杉醇 + 卡培他滨 1 周期,同步于 2025 年 9 月 22 日 - 10 月 17 日行全脑放疗(4000cGy/20 次 / 4 周)。

末次随访(2025 年 9 月 22 日):肿瘤标志物进一步下降(CEA 18.61ng/mL、CA125 52.85U/mL、CA153 631.60U/mL),颅内病灶待放疗后评估。

讨论

疾病特点与罕见性

流行病学:男性乳腺癌占全球乳腺癌 0.6%,隐匿性乳腺癌在男性中占比不足 1%,以腋窝淋巴结转移为典型表现,本例同时合并肺、脑转移,更为罕见。

病理特征:男性乳腺无小叶结构,83.7% 为浸润性导管癌(高于女性的 77.8%),激素受体阳性率高(本例腋窝淋巴结 ER 阳性),但 HER2 阳性率与女性相当;本例因乳腺原发灶隐匿,仅通过转移灶病理确诊,且存在转移灶间生物标志物不一致(腋窝淋巴结 ER 阳性 vs 肺病灶 ER 阴性),符合肿瘤异质性特点。

诊断难点与鉴别要点

影像学迷惑性:孤立性肺肿块是原发性肺癌的典型表现,本例初始 CT、MRI 均高度提示肺癌,需通过免疫组化鉴别 —— 肺腺癌常用标志物(TTF-1、napsin A)阴性,而乳腺来源标志物(GATA-3、TRPS1)阳性,是排除肺癌、确诊乳腺癌的核心依据。

隐匿性原发灶的挑战:MRI 对乳腺病灶检出率超 90%,但本例仍未发现原发灶,可能因病灶极小或位置深在;乳腺超声提示双侧乳腺后片状低回声(疑似男性乳房发育),无明确占位,进一步增加诊断难度。

生物标志物异质性:转移灶间 ER、PR 表达不一致(腋窝淋巴结转移灶Luminal B 型、肺部转移灶为 ER/PR 阴性),可能影响治疗决策,需结合多部位病理综合判断,本例最终按三阴性乳腺癌治疗,同时因腋窝淋巴结 ER 阳性计划联合内分泌治疗。

治疗策略

化疗方案选择:CSCO 指南推荐 TX、TP 等方案用于晚期乳腺癌,本例因患者抗拒化疗,先选用 TX 方案,后因疗效不佳更换为白蛋白结合型紫杉醇。

内分泌治疗:美国指南推荐激素受体阳性男性乳腺癌予他莫昔芬 20mg/d 治疗 5 年,本例虽肺病灶 ER 阴性,但腋窝淋巴结 ER 阳性,计划化疗后启动内分泌治疗以改善预后。

脑转移管理:乳腺癌脑转移发生率仅次于肺癌,化疗药物难透过血脑屏障,本例在全身治疗基础上加用全脑放疗,是控制颅内病灶的关键。

小结

男性隐匿性乳腺癌表现为孤立性肺转移极为罕见,易误诊为原发性肺癌。临床遇男性肺部肿块伴肿瘤标志物升高(尤其 CA153 升高)时,需警惕乳腺来源可能,通过免疫组化明确病灶来源;同时需关注转移灶生物标志物异质性,结合多部位病理制定个体化方案。本例通过精准病理诊断修正治疗方向,为类似罕见病例提供诊疗参考,未来需更多研究探索男性隐匿性乳腺癌的发病机制与优化治疗策略。

参考文献

Su H, Zhao X, Liu H, Shu H, Li W, Yang Z and Li M (2026) Male occult breast cancer with features highly resembling primary lung cancer: a case report and literature review. Front. Oncol. 15:1737310. doi: 10.3389/fonc.2025.1737310

责任编辑:肿瘤资讯-Jina
排版编辑:肿瘤资讯-Jina


版权声明
本文专供医学专业人士参考,未经著作人许可,不可出版发行。同时,欢迎个人转发分享,其他任何媒体、网站如需转载或引用本网版权所有内容,须获得授权,且在醒目位置处注明"转自:良医汇-肿瘤医生APP"。

评论
02月24日
徐同庆
双鸭山煤炭总医院 | 胃肠外科
坚持学习,每天进步一点点
02月23日
马利平
漯河市第六人民医院 | 肿瘤科
男性隐匿性乳腺癌表现为孤立性肺转移极为罕见
02月23日
马利平
漯河市第六人民医院 | 肿瘤科
男性隐匿性乳腺癌表现为孤立性肺转移极为罕见