本文报道了一例既往因乳腺癌行乳房切除及重建术的患者,在针对对侧乳房良性异常进行的影像学检查中,意外发现同侧内乳淋巴结肿大。由于乳腺癌患者新发的淋巴结肿大常提示需治疗的转移灶,因此进行了全面的检查,最终证实为硅胶诱发的淋巴结炎。这是一种罕见的炎症性疾病,其表现与恶性肿瘤极为相似。影像学上的特异性征象对于诊断硅胶淋巴结炎至关重要。虽然在腋窝等易于探查的部位诊断相对直接,但由于胸廓骨骼结构的遮挡,胸腔内淋巴结的检测具有较大挑战性。
硅胶诱发的淋巴结炎是内乳淋巴结肿大易被忽视的良性病因
对于浸润性乳腺癌患者,当 18F-氟代脱氧葡萄糖正电子发射断层扫描/计算机断层扫描(18F-FDG PET-CT)、磁共振成像(MRI)或CT扫描显示可疑淋巴结肿大时,临床常怀疑同侧内乳淋巴结(LNs)转移。明确诊断通常需要通过影像引导下的穿刺活检或手术切除肿大淋巴结以获取组织样本,并根据病理结果制定治疗决策。内乳淋巴结肿大可由良性或恶性原因引起。在良性病因中,硅胶诱发的淋巴结炎是一种相对罕见的情况,发生于乳房切除术后植入含硅胶假体破裂时,合成聚合物颗粒沿输入淋巴管迁移至区域淋巴结所致。
由于硅胶具有良好的生物相容性和耐用性,长期以来被广泛应用于人体。然而,它也可引起一系列免疫反应,范围从局部的区域性炎症反应到全身性表现(如硅胶诱发的关节炎和佐剂诱发的自身免疫/炎症综合征)。在美国,整形外科医生每年成功实施至少160,000例基于硅胶假体的乳房重建或隆胸手术。该手术的主要并发症包括假体破裂、变形和/或渗漏导致的植入失败;包膜纤维化及挛缩;硅凝胶渗出并扩散至全身;植入物周围的慢性炎症;以及罕见的植入物相关淋巴瘤。
我们在此报告一例乳腺癌患者在接受乳房切除及硅胶假体乳房重建后发生硅胶诱发淋巴结炎的病例,重点阐述其临床特征及诊断路径。我们将聚焦于诊断这一罕见但具有临床意义疾病的特异性影像学征象。
病例介绍
患者为79岁高加索女性,除既往史外身体健康,无自觉症状。患者25年前因左侧乳腺癌接受改良根治性乳房切除术及全腋窝淋巴结清扫术,由于横行腹直肌肌皮瓣重建失败,随后接受了基于硅胶假体的乳房重建,并在11年后更换了新的硅胶假体。此次因常规钼靶筛查发现对侧完好乳房(右侧)外下象限出现新的不对称管状结构就诊。超声显示导管扩张伴低回声充盈缺损。患者既往接受过标准的全身化疗及5年内分泌治疗,目前无乳腺癌复发证据。其社会心理史及家族史无特殊。
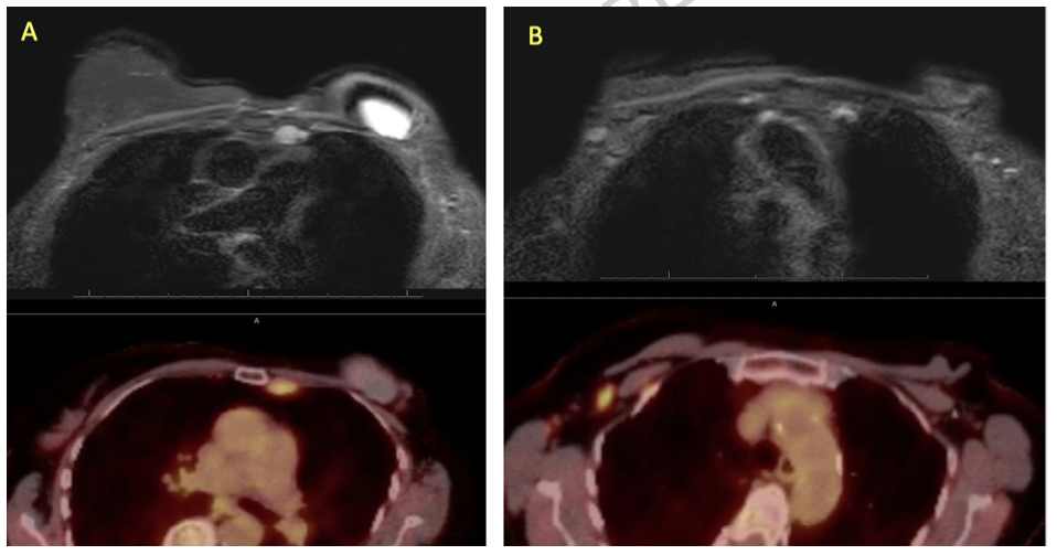
患者无发热,体格检查状况良好。右侧乳房未见橘皮样变、皮肤凹陷或可触及肿块,右侧乳头正常。重建的左侧乳房质地坚硬,相对固定,未触及肿块。增强MRI显示右侧乳房为良性改变,左侧重建乳房无显著变化。然而,检查发现左侧两枚肿大的内乳淋巴结,最大直径为2.2 cm(图1)。

B) 18F-FDG PET-CT 的轴位融合图像。箭头显示与之对应的、呈 FDG 高摄取(FDG-avid)的左侧内乳淋巴结。
为评估 MRI 检出的内乳淋巴结并排查远处转移,患者进行了 18F-FDG PET-CT 联合扫描。检查结果显示左侧内乳淋巴结代谢轻度增高 [标准摄取值 (SUV) 3.7,相对于肝脏平均 SUV 2.1],提示乳腺癌转移可能(图 1 和图 2)。

超声确认在MRI所示的内乳区域胸壁深处存在一枚2.7 cm的淋巴结。然而,阅片放射科医师未观察到“雪暴征”,这可能是由于覆盖的肌肉骨骼结构造成干扰。因此,对该淋巴结进行了CT引导下穿刺活检,病理结果显示脂肪坏死及伴有T细胞和B细胞混合浸润的慢性炎症,但缺乏明确的淋巴结结构。鉴于未能完全排除乳腺癌转移,建议重复影像学检查。
10个月后的PET-CT随访显示左侧内乳淋巴结肿大情况稳定,但新发现了轻度肿大且FDG高代谢的右侧腋窝淋巴结。针对右侧腋窝淋巴结的诊断性超声显示了特异性的“雪暴征”,提示假体发生包膜外破裂后引流淋巴结摄取了硅胶(图3)。

图3 A) 右侧乳腺内外斜位(RMLO)的局部钼靶视图。箭头指示形态学表现正常的淋巴结内存在硅胶。
B) 右侧腋窝淋巴结的超声图像。箭头指示特异性的“雪暴”伪影,提示假体破裂后包膜外硅胶被淋巴结摄取。
非增强硅胶假体专用MRI方案进一步证实左侧内乳淋巴结及右侧腋窝淋巴结内均存在硅胶(图4),并揭示左侧乳房假体存在包膜内及包膜外破裂。

A) 非增强 MR 图像(上图)显示左侧内乳淋巴结内的硅胶信号,该淋巴结在 PET(下图)上呈 FDG 高摄取。
B) 非增强 MR 图像(上图)显示右侧腋窝淋巴结内的硅胶信号,该淋巴结在 PET(下图)上呈 FDG 高摄取。
对先前内乳淋巴结的穿刺活检标本进行改良油红O染色复查,结果呈硅胶阳性(图5)。

随后患者接受了左侧包膜切除术,取出了破裂的假体及移位的硅胶,并置入了新的硅胶假体。
讨论
硅胶颗粒可通过输入淋巴管迁移至淋巴结。当已知假体破裂的患者出现同侧腋窝淋巴结肿大时,硅胶诱发的淋巴结炎通常较易被考虑到并确诊。由淋巴结内硅胶引起的炎症通常无症状,多在影像学检查中偶然发现,并经组织病理学确认。
与硅胶乳房假体相关的淋巴结病也可能源于对植入物的免疫反应,导致引流淋巴结的慢性炎症。本例中,患者在植入硅胶假体多年并发生破裂后,先后在同侧内乳区域及右侧腋窝出现新发淋巴结肿大。超声和MRI证实对侧腋窝淋巴结内存在硅胶,而18F-FDG-PET上的高代谢表现及活检淋巴结的特殊染色结果均符合同侧内乳淋巴结硅胶诱发淋巴结炎的诊断。
乳房切除术后使用硅胶假体进行重建的历史颇为曲折。1992年,由于累积的间接证据提示硅胶假体可能引起慢性结缔组织病和神经系统疾病,FDA禁止了硅凝胶填充假体的使用。经过多年的严谨研究,并未证实硅胶会导致结缔组织病、风湿性疾病或神经系统疾病,硅胶乳房假体随后获批重新使用。
现代硅胶假体的凝胶内聚力各异。传统的硅凝胶假体质地较软,手感更自然,但外壳一旦破裂更易发生渗漏。相比之下,高内聚力硅凝胶假体即便在破损时也能保持形状,从而降低硅胶迁移的风险。研究表明,老一代假体的破裂率较高,而新型高内聚力假体则表现出更高的耐用性和随时间推移更低的渗漏率。假体渗漏可作为早期或晚期并发症出现。早期渗漏(最初几年内)通常源于手术创伤、制造缺陷或过度的机械应力;而晚期渗漏(植入10年以上)更常见于外壳降解、假体疲劳或随时间推移发生的破裂。年龄相关的易感性并非主要因素,但体力活动水平较高的年轻患者可能会使假体承受更大的机械应力,导致并发症提早发生。老年患者随时间推移组织支撑力减弱,也可能影响假体寿命。
硅胶诱发淋巴结炎的病理生理机制尚未完全阐明,目前认为涉及硅胶颗粒或成分引起的直接局部刺激及免疫反应。其临床表现差异很大,使诊断和管理变得复杂。患者可能表现为局部淋巴结肿大,常位于硅胶植入部位附近,通常无症状或体征,但有时伴有疼痛、压痛或皮肤改变。鉴别诊断包括感染性病因及其他导致淋巴结肿大的原因,需要仔细的临床评估及诊断检查,特别是排除恶性肿瘤。
对于植入含硅胶假体的乳腺癌患者,硅胶诱发的淋巴结炎带来了独特的挑战。虽然淋巴结的大小本身不是恶性肿瘤的明确指标,但在乳腺癌背景下,特定的阈值和影像学特征需要进一步评估。短径≥10 mm的腋窝淋巴结,特别是皮质厚度>3 mm或淋巴门脂肪结构消失者,被视为可疑,可能需要活检或PET成像。在18F-FDG-PET上观察到的高代谢淋巴结也可能酷似恶性肿瘤并引发对转移的担忧。以SUV报告的高代谢程度因癌症类型及摄取18-氟代脱氧葡萄糖的增殖免疫细胞或恶性细胞的代谢活性而异。淋巴结的高代谢程度越高,其为恶性转移的可能性越大。本例中,患者初次PET-CT扫描仅显示左侧内乳淋巴结代谢轻度增高。然而,仅凭PET-CT无法可靠地区分恶性肿瘤与良性炎症过程。多学科肿瘤委员会(MDT)的讨论指导了后续的诊断影像及病理检查工作。
超声上的“雪暴征”是指假体发生包膜外破裂后,游离硅胶分散在乳腺实质或淋巴结中形成的特征性高回声后方声影。这是硅胶特有的伪影,当出现在淋巴结中时,可证实结内存在硅胶。尽管该征象在腋窝淋巴结中清晰可见,但在内乳淋巴结中缺失的原因尚无法完全解释,推测可能归因于覆盖的肌肉骨骼结构干扰了成像并掩盖了特征性表现。旨在评估硅胶假体完整性的MRI方案也可用于诊断淋巴结内的包膜外硅胶。使用改良油红O染色进行的组织病理学确认可明确鉴定硅胶。
本病例的另一个有趣之处在于重建的左侧乳房淋巴引流发生改变的证据。正常情况下,左侧乳房的淋巴液引流至同侧腋窝淋巴结。因此,腋窝淋巴结是硅胶淋巴结炎最常受累的部位。然而,腋窝淋巴结清扫术后,淋巴引流可能发生改变,开放替代的淋巴流动通路。在同侧内乳及对侧腋窝淋巴结发生硅胶诱发的淋巴结炎,证实了由于同侧腋窝引流受阻,这些预存通路被激活。认识到硅胶诱发淋巴结炎这一罕见实体,可以避免不必要的干预并指导正确的管理,包括假体取出。通过识别独特的影像学特征(如超声上的“雪暴征”)并意识到这些改变的淋巴通路,临床医生可以更准确地诊断和管理硅胶诱发的淋巴结病,同时防止误诊为癌症复发。
病例总结与结论
硅胶诱发的淋巴结炎是一个诊断难题,特别是在有乳腺癌病史的患者中,因为它极易酷似转移性疾病。准确的诊断需要对该疾病保持警惕,并综合运用包括超声和/或非增强乳房MRI在内的影像学手段。识别关键特征(如超声上特异性的“雪暴征”)以及了解腋窝淋巴结手术后淋巴通路的改变,对于避免误诊和不必要的干预至关重要。当组织病理学证实不存在恶性转移时,其对于确诊具有重要价值。本病例强调了在有乳腺癌及假体植入史的患者中考虑硅胶相关并发症的重要性,以确保采取恰当的管理措施。
Jenny Bui, Shewar Ibadat, Saul D Nathanson, et al.Diagnostic dilemma of silicone-induced ipsilateral internal mammary lymphadenopathy mimicking breast cancer recurrence after mastectomy: a case report.J Med Case Rep. 2026 Jan 11. doi: 10.1186/s13256-025-05734-w.
排版编辑:肿瘤资讯-slb






苏公网安备32059002004080号