引言:近年来,免疫检查点抑制剂(ICI)的问世彻底改变了非小细胞肺癌(NSCLC)的治疗格局。随着CheckMate 77T等重磅研究数据的公布,免疫治疗已从晚期后线前移至早中期围术期阶段。对于局部晚期NSCLC患者,如何通过“新辅助免疫+化疗”联合手术、术后辅助免疫及放疗等手段进行多模式综合治疗,以实现肿瘤降期甚至病理学完全缓解(pCR),并最终延长患者的无事件生存期(EFS),是临床关注的焦点。
肿瘤资讯特别邀请南京大学医学院附属鼓楼医院赵琪教授分享一例IIIB期肺鳞癌患者的诊疗经过。该患者通过纳武利尤单抗联合化疗新辅助治疗成功实施手术并获得pCR,术后通过“放疗+免疫维持”及局部消融手段进行全程管理,充分体现了多学科综合治疗(MDT)在肺癌个体化管理中的重要价值。南京大学医学院附属鼓楼医院苗立云教授对病例进行精彩点评。
病例专家
南京大学医学院附属鼓楼医院呼吸与危重症医学科
获得江苏省省级记功奖励
江苏省医师协会呼吸医师分会介入呼吸病学学会委员
江苏省预防医学会呼吸系统疾病预防与控制专业委员会 青年委员
中国人体健康科技促进会呼吸介入专业委员会 常委
发表SCI论文及中文核心期刊十余篇
擅长肺部肿瘤、弥漫性肺病的诊治、硬质支气管镜、气管镜下介入治疗、电子支气管镜磁导航技术以及肺癌的消融等
病例介绍
基本情况
基本信息: 男,66岁。
既往史:慢性阻塞性肺病;长期吸烟史(约20支/天×40余年);前列腺增生;高血压病(药物控制尚可)。无肿瘤家族史。
主诉: 2024年2月因“右侧胸部隐痛伴咳嗽咳痰”入院。
辅助检查
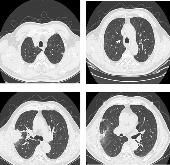
胸部CT:右肺上叶肿块,考虑占位;左肺上叶尖后段厚壁小空洞;两肺上叶肺气肿。
PET-CT:右肺上叶肿块,累及胸膜、胸壁及第4-5前肋,代谢增高;双肺门及纵隔淋巴结代谢增高;左肺上叶尖段空洞代谢增高,不除外转移。

头颅MRI:未见脑转移征象。
病理诊断:肺穿刺活检示非小细胞癌,倾向鳞癌。
免疫组化:P40(+++),P63(+++),Ki67(60%+)。
分子检测:PD-L1表达≤49%(SP263),SMARCA4/INI1未缺失。
临床诊断
右肺鳞癌 cT4N2M0 IIIB期(左肺结节形态暂不支持转移)。
治疗经过
1、新辅助治疗阶段(2024.03 - 2024.05)
经科室MDT讨论,制定“新辅助免疫+化疗 → 手术 → 放疗 → 免疫维持”的治疗策略。
方案:纳武利尤单抗+白蛋白紫杉醇+卡铂,治疗3周期。
疗效评估:3周期治疗后复查CT,右肺病灶明显缩小,评估为部分缓解(PR),为手术创造了条件。

2、手术治疗与病理评估(2024.05)
手术:2024年5月24日行“右肺上叶切除+纵隔淋巴结清扫术”。
术后病理:镜下见肺组织内多量炎症细胞浸润伴纤维化及局灶广泛坏死,未见存活肿瘤细胞。淋巴结(25枚)均未见癌转移。
病理分期:ypT0 ypN0 cM0。
疗效评价:病理学完全缓解(pCR)。
3、术后辅助与全程管理(2024.07 - 至今)
辅助放疗:鉴于治疗前影像提示病灶侵犯胸壁及肋骨,术后于2024年7月4日启动针对胸壁及瘤床的辅助放疗(PTV 4Gy13f)。
免疫维持:2024年8月起,启动纳武利尤单抗单药维持治疗(1次/月)。
不良反应管理:治疗期间患者出现皮疹,经停药处理改善后再次尝试用药,通过动态调整监测,整体耐受性可控。
病情监测与局部强化:2025年5月复查提示左肺病灶较前增大,虽然病理活检提示炎症可能,但考虑到肿瘤风险,于2025年8月28日行冷冻消融处理,并继续维持免疫治疗,目前随访病情稳定。


治疗时间线

专家点评
点评专家
南京大学医学院附属鼓楼医院 呼吸与危重症医学科
中国呼吸肿瘤协作组江苏分会主任委员
江苏省预防医学会呼吸系统疾病预防与控制专业委员会 副主任委员
江苏省研究型医院学会肺结节和肺癌MDT委员会 常委
江苏省医学会呼吸病学分会肺癌学组 委员
江苏省医师协会呼吸病分会及肺癌学组 委员
中国健康促进基金会基因诊疗专委会 常委
中国肺癌早诊早治能力提升工程 常委
中国研究型医院呼吸专委会 委员
中国医药教育协会肺部肿瘤专委会 委员
中国老年学和老年医学会康复分会 委员
苗立云教授:本病例为一位66岁高龄、伴有长期吸烟史及慢阻肺基础疾病的男性患者,初诊时已达IIIB期(cT4N2M0),且伴有胸壁侵犯,属于局部晚期肺鳞癌。面对复杂的病情,医疗团队并未采取单一的治疗手段,而是依托MDT模式,制定了规范化的全程管理方案。患者首先接受了3周期的纳武利尤单抗联合化疗新辅助治疗,成功实现肿瘤降期并达到PR,随后顺利实施根治性手术,术后病理证实达到pCR。鉴于初始T4侵犯的高危因素,术后序贯进行了局部放疗及纳武利尤单抗维持治疗。在随访过程中发现对侧肺结节变化时,灵活运用冷冻消融进行局部控制。治疗过程不仅实现了病理上的深度缓解,更在长期随访中维持了良好的疾病控制。
围术期免疫联合化疗奠定获益基石,pCR转化预示长期生存希望
CheckMate 77T研究奠定了纳武利尤单抗在可切除NSCLC围术期治疗中的地位。。该研究结果显示,与单纯化疗相比,CheckMate 77T模式(新辅助+手术+辅助)显著延长了患者的EFS,中位EFS高达46.6个月(对照组仅16.9个月),疾病进展、复发或死亡风险显著降低了39%。
更为重要的是,CheckMate 77T中国亚组分析显示出更为惊艳的获益:中国人群的中位EFS得到了显著延长,HR值低至0.40,意味着复发或死亡风险降低了60%;同时,病理完全缓解(pCR)率从对照组的3.2%大幅跃升至35.1%,主要病理缓解(MPR)率也达到了51.4%。本例患者通过“纳武利尤单抗+化疗”的新辅助方案成功达到pCR(ypT0N0),这不仅验证了该方案在局部晚期鳞癌中的卓越疗效,根据研究中EFS与病理缓解深度的正相关性,也预示着该患者有望获得长期的无病生存获益。
多模式综合治疗互补,放疗与免疫维持构筑双重防线
对于初始伴有胸壁侵犯(cT4)的局部晚期患者,单纯手术可能不足以完全消除微小残留病灶复发的风险。本病例在获得pCR的基础上,并未止步于此,而是根据初始高危因素,科学地介入了术后辅助放疗。放疗不仅能加强局部控制,还可能通过释放肿瘤抗原与免疫治疗产生协同作用。同时,术后继续使用纳武利尤单抗进行维持治疗,完成了CheckMate 77T模式的“下半场”,旨在清除潜在的微转移灶。这种“手术+放疗+免疫”的多模式综合治疗策略,体现了对局部晚期肺癌精准化、个体化的深度思考。
病例小结
本例IIIB期肺鳞癌患者的成功诊治,是围术期免疫治疗时代多学科协作的典范。通过纳武利尤单抗新辅助治疗实现pCR,术后结合放疗与免疫维持巩固疗效,并在疾病波动时联合介入手段,实现了从诊断、分期到治疗、随访的个体化全程精准管理,为局部晚期NSCLC患者争取长期无病生存提供了宝贵的临床实践经验。
排版编辑:Niko






苏公网安备32059002004080号