表皮生长因子受体(EGFR)突变晚期非小细胞肺癌(NSCLC)在肺腺癌中占比较高,尤其在亚洲人群中,其发病率显著高于其他地区,可达40-50%[1]。在EGFR经典突变中,外显子19缺失(Ex19Del,约占45%)和外显子21 L858R突变(约占40%)是最常见的两种类型[2]。尽管第三代EGFR-络氨酸激酶抑制剂(TKI)单药已成为EGFR经典突变标准一线治疗,但患者最终仍面临耐药挑战,且对于伴有高危因素(如脑转移、肝转移、共突变等)的患者,单一疗法的获益往往受限。随着MARIPOSA研究数据的公布,埃万妥单抗联合兰泽替尼成为首个较奥希替尼单药显著提高总生存期(OS)的方案。为深度解读这一联合治疗方案在临床实践中的应用价值,【肿瘤资讯】特邀韩国国立癌症中心Beung-Chul AHN教授分享两例接受埃万妥单抗联合兰泽替尼一线治疗的真实世界病例,以期为临床实践提供更多的参考。
病例介绍
病例1:术中意外发现晚期,联合疗法带来超过9个月的SD
基本信息:患者女,62岁
主诉: 咳嗽1个月
既往史: 左乳腺癌(2004年),甲状腺癌(2014年),均已接受手术治疗。
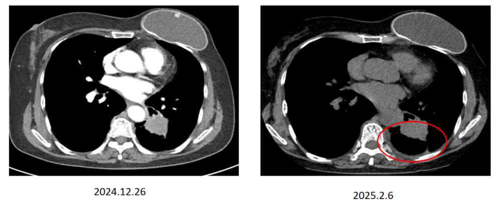
胸部CT( 2024年12月26日):左下叶肿块,多学科会诊(MDT)初步评估倾向于早期肺癌,但患者的手术被推迟了六个多星期。
手术治疗( 2025年2月7日):患者接受电视辅助胸腔镜(VATS)探查术。术中意外发现胸膜种植,遂终止根治性手术并关闭胸腔。
临床诊断: 肺腺癌,IV期,EGFR Ex19Del。
一线治疗: 2025年2月19日-6月12日,患者开始接受兰泽替尼 240mg + 埃万妥单抗(静脉输注,IV)治疗。 2025年7月2日至今,治疗方案调整为兰泽替尼 240mg + 埃万妥单抗(皮下注射,SC)。
安全性管理:治疗第1周期第1天出现2级输液相关反应(IRR),经补液及注射100mg氢化可的松后,患者症状得到缓解。约一个月后出现1级甲沟炎,经对症处理后可控。
疗效评价:胸部CT显示治疗4个月后肺部病灶有所缩小,达到疾病稳定(SD)状态。在将埃万妥单抗IV转换为SC后,左肺下叶的肿瘤病灶持续缩小,截至目前SD超过9个月。
病例2:多发转移伴MET过表达高危患者,首月用药肺部病灶即缩小80%
基本信息: 患者女,62岁
主诉: 咳嗽、胸膜炎性胸痛1个月,当地医院X光发现肺部肿块。
既往史: 甲状腺癌(2019年),行甲状腺全切术,长期服用左甲状腺素钠。
影像学检查(2025年7月1日):CT及PET-CT显示右下叶巨大肺肿块,伴多发骨、肝转移。MRI显示多发脑病灶。
临床诊断:肺腺癌,IV期,EGFR Ex19Del,MET过表达,多发 骨转移、肝转移、脑转移。
一线治疗:考虑到患者合并MET过表达及多种高危因素,2025年7月3日正式启动兰泽替尼 + 埃万妥单抗治疗。
安全性管理:第1周期第1天出现1级输注反应,仅补液后症状即缓解。治疗数周后出现1级甲沟炎及2级痤疮样皮炎。患者同步采用COCOON研究强化皮肤管理方案,服用米诺环素两个月,期间因轻微胃肠道不适停药,停药后皮疹复发至2级,重新加用米诺环素两周后,皮疹降至1级并消退。
疗效评估: 仅治疗1个月后,右下叶巨大原发灶及肝脏转移灶体积缩小超过80%,达到深度缓解。2025年11月1日及11月3日的影像学复查证实,患者持续维持深度缓解状态。
颅内病灶在MRI上几乎完全消失或仅残留针尖样微小病灶。
病例点评
MARIPOSA是一项全球Ⅲ期随机对照研究,对比了埃万妥单抗联合兰泽替尼组和奥希替尼组一线治疗EGFR经典突变晚期NSCLC的疗效和安全性。今年,ELCC公布的MARIPOSA研究最终OS分析[3]和在ESMO Asia上公布的亚洲亚组OS分析[4]都为埃万妥单抗联合兰泽替尼模式的应用提供了坚实的循证医学证据。总人群的OS结果显示,在随访37.8个月时,相较于奥希替尼组OS为36.7个月,埃万妥单抗联合兰泽替尼组中位OS尚未达到,预期OS超过4年(HR=0.75, P<0.005)。亚洲人群OS数据显示,中位随访38.7个月,埃万妥单抗联合兰泽替尼组和奥希替尼组的中位OS分别为NR和38.4个月,联合治疗组预计中位OS改善超过1年,降低26%死亡风险。
上述两个韩国患者的病例证实了埃万妥单抗联合兰泽替尼在亚洲真实世界临床实践中的潜力。病例一展示了从静脉输注向皮下注射转换的可行性。PALOMA-2研究队列1和队列6的数据[5],评估了埃万妥单抗SC Q2W联合兰泽替尼一线治疗EGFR经典突变晚期NSCLC的疗效与安全性。研究结果显示,研究者评估(INV)客观缓解率(ORR)为77%,独立中心审查(ICR)ORR为79%,与MARIPOSA研究中静脉(IV)剂型BICR ORR一致。安全性方面,给药相关反应(ARR)发生率为15%,均为1~2级,显著低于IV剂型(IRR 63%)。这一例患者SD状态持续超过9个月,也充分显示了埃万妥单抗皮下注射剂型的疗效和安全性。
病例二具有典型的“难治”特征:EGFR突变合并MET过表达、脑转移、肝转移及ctDNA阳性。MARIPOSA研究的亚组分析已提示,包括脑转移、肝转移及TP53共突变等患者在内的预设亚组埃万妥单抗联合兰泽替尼均显示出一致的获益趋势[6]。该病例在治疗首月即实现颅内外的全面深度缓解,肺部病灶及肝脏转移灶体积缩小超过80%,颅内病灶几乎完全消失,这也成功印证了这一联合治疗方案在EGFR突变NSCLC高危亚组中的卓越疗效。
总之,这两个病例生动诠释了“埃万妥单抗+兰泽替尼”这一双特异性抗体联合三代TKI的创新模式,在真实临床实践中展现出的强劲、快速且持久的疗效,尤其突显了其克服高肿瘤负荷及高危临床特征的显著优势。埃万妥单抗联合兰泽替尼不仅在临床试验中刷新了OS纪录,更在真实世界中帮助像本文两例患者重获生机。无论是应对突发的晚期诊断,还是挑战伴有MET过表达及多发转移的复杂高危局面,这一创新联合治疗策略的强力组合都展现出了成为EGFR突变晚期NSCLC一线治疗新标准的实力。随着皮下制剂的进一步普及,我们有理由相信,更多患者将能以更低的不良反应代价,换取更长、更高质量的生存期。
韩国国立癌症中心血液肿瘤科
韩国癌症研究小组 (KCSG)成员
韩国临床肿瘤学会成员
国际肺癌研究协会 (IASLC)成员
美国临床肿瘤学会 (ASCO) 成员
欧洲肿瘤内科学会 (ESMO) 成员
JLCS 指导成就奖(2018年)
世福兰斯杰出研究奖(2019年)
韩国癌症基金会学术奖(2019年)
AACR-KCA 联合会议杰出海报奖(2021年)
重点研究方向为非小细胞肺癌 (NSCLC) 的靶向治疗、免疫治疗、生物标志物、液体活检和真实世界数据分析。以第一作者或共同第一作者身份在国际知名期刊Annals of Oncology,Journal of Thoracic Oncology和Nature Communications等发表多篇高水平文章。
[1] Lung Cancer. Thai AA, Solomon BJ, Sequist LV, Gainor JF, Heist RS. Lancet (London, England). 2021;398(10299):535-554.
[2] Precision Diagnosis and Treatment for Advanced Non–Small-Cell Lung Cancer. Reck M, Rabe KF. The New England Journal of Medicine. 2017;377(9):849-861.
[3] Yang JC-H, et al. Amivantamab Plus Lazertinib vs Osimertinib in First-line EGFR-mutant Advanced NSCLC: Final Overall Survival from the Phase 3 MARIPOSA Study. 2025 ELCC 4O.
[4] Hayashi H, et al. Overall Survival for Amivantamab Plus Lazertinib vs Osimertinib in Asian Participants With First-line EGFR-mutant Advanced NSCLC: MARIPOSA Subgroup Analysis. ESMO Asia 2025 972O.
[5] Lim SM, et al. Subcutaneous amivantamab and lazertinib as first-line treatment in patients with EGFR-mutated, advanced non-small cell lung cancer (NSCLC): Results from the phase 2 PALOMA-2 study. 2024 ASCO abstr LBA8612.
[6] Felip E, Cho BC, Gutiérrez V, et al. Amivantamab plus lazertinib versus osimertinib in first-line EGFR-mutant advanced non-small-cell lung cancer with biomarkers of high-risk disease: a secondary analysis from MARIPOSA. Ann Oncol. 2024;35(9):805-816.
CRC Code:CNE-000200
Approved Date:2025-12-26
排版编辑:肿瘤资讯-TJ
✅ “本材料中表达的观点仅代表本人个人的观点,不能反映强生创新制药的观点。”
✅ “材料中涉及的案例为教学案例且已进行打码、遮盖等脱敏处理,相关信息已获得相应授权和批准。
✅ “本材料中涉及的AE/SS/PQC已按照强生创新制药的要求上报,AE上报的案件编号20251119RW-001。”






苏公网安备32059002004080号