在激素受体阳性(HR+)/人表皮生长因子受体-2(HER2-)晚期乳腺癌的临床实践中,面对绝经前、初诊即Ⅳ期且伴有明显症状(如骨痛)的患者时,治疗策略的选择往往面临双重挑战:一是患者年轻、卵巢功能活跃的生物学特性;二是在追求快速缩瘤与生活质量及长生存之间的权衡。最新发布的《HR阳性/HER2阴性晚期乳腺癌内脏转移及危象诊治专家共识(2025版)》提出“内脏危象前驱期”这一概念,强调对于存在进展风险但尚未发生危象的患者,应尽早启动强效治疗以阻断疾病恶化进程[1]。与此同时,RIGHT Choice研究*作为首个在绝经前/围绝经期、具有临床侵袭性特征(包括症状明显的内脏或非内脏转移)患者中,头对头比较CDK4/6抑制剂联合内分泌治疗与联合化疗的随机对照研究,证实瑞波西利联合方案在无进展生存期(PFS)上显著优于联合化疗[2]。结合MONALEESA系列研究确立的统计学显著总生存(OS)获益,为临床医生“去化疗”决策提供信心[3-5]。本文由四川省肿瘤医院冉冉医生分享一期真实病例:一名绝经前Luminal A型、初诊Ⅳ期伴多发骨转移且疼痛症状明显的患者,经一线瑞波西利联合方案治疗后,不仅迅速缓解疼痛,更实现肿瘤深度缓解与降期,最终成功获得手术机会。本期特邀重庆大学附属肿瘤医院曾晓华教授和四川省肿瘤医院张剑辉教授进行深度点评。
重庆大学附属肿瘤医院乳腺肿瘤中心主任
国务院政府特殊津贴专家、重庆市肿瘤外科学术技术带头人
重庆英才·创新领军人才、重庆市有突出贡献的中青年专家
重庆市卫生健康系统先进个人、重庆五一劳动奖章获得者
中国抗癌协会乳腺癌专业委员会常务委员
中华医学会肿瘤学分会乳腺癌学组委员
国家肿瘤质控中心乳腺癌专家委员会委员
中国医师协会肿瘤医师分会乳腺癌学组委员
中国医师协会外科医师分会乳腺外科专家工作组专家委员
国家卫健委卫生发展研究中心乳腺癌单病种分级诊疗专病联盟专家组成员
重庆市中西医结合学会乳腺疾病专业委员会主任委员
重庆市医药生物技术协会乳腺癌防治专业委员会主任委员
重庆市肿瘤医疗质量控制中心乳腺癌诊疗专家组组长
四川省肿瘤医院乳腺外科中心
四川省预防医学会乳腺疾病预防与控制分会副主任委员兼秘书长
四川省预防医学会乳腺保健专业委员会副主任委员
四川省医学科技创新研究会乳腺癌多学科协作MDT专业委员会副主任委员
成都市抗癌协会肿瘤整合医学专业委员会主任委员
中国医药教育协会乳腺疾病专业委员会乳腺癌多学科诊疗学组委员
四川省抗癌协会乳腺癌专业委员会常务委员
四川省医疗卫生与健康促进会乳腺病学专业委员会 常务委员
四川省医师协会医学科学普及分会常务委员
四川省医学科技创新研究会乳腺病学创新与转化分常务委员
成都市抗癌协会临床科研与转化专委会常务委员
四川天府新区医学会乳腺与甲状腺外科分会常务委员
成都市高新医学会乳腺疾病专业委员会常务委员
西安医学会医事法学专科分会常务委员
四川省肿瘤性疾病医疗质量控制中心乳腺癌专业组专家组成员
成都市抗癌协会理事
第十四批四川省卫生健康委学术技术带头人后备人选
欧洲肿瘤内科学会(ESMO) 会员
意大利锡耶纳大学医院访问学者
JCO杂志中文版乳腺肿瘤专刊青年编委
四川省肿瘤医院
四川省预防医学会乳腺疾病分会秘书
成都市抗癌协会肿瘤整合医学专委会委员
成都市抗癌协会临床科研与转化医学专委会委员
成都高新医学会乳腺疾病分会委员
天府新区医学会乳甲专委会委员
四川省健康管理协会中西医结合肿瘤防治专委会委员
病例资料
患者特征
患者唐某,女性,51岁,绝经前/围绝经期(末次月经时间:2025 年 2 月 19 日)。
初诊主诉:2025年3月,因持续6周 “腰部疼痛不适”入院就诊,疼痛评分(NRS)提示中度疼痛,严重影响生活质量。
影像学检查(基线):
PET/CT(2025年3月):左乳内上象限见高代谢软组织结节,符合乳腺癌征象;全身多处骨骼(包括腰椎 L2/L5、肋骨等)可见骨质破坏及代谢异常增高,提示广泛性骨转移。
乳腺超声(2025年3月7日):左乳9点钟方向探及低回声结节,大小约22mm×18mm×16mm,边界不清,形态不规则,BI-RADS 4b类。
乳腺超声(2025年3月)
病理诊断:
左乳穿刺:浸润性癌,非特殊类型(WHO 2级)。
免疫组化:ER(中+,30%),PR(强+,90%),HER2(2+,FISH 检测无扩增),Ki-67(+,约20%)。
病理检查(2025年3月)
腰椎活检:转移性腺癌,结合免疫组化(ER强+ 70%,PR强+ 70%)符合乳腺来源。
临床诊断:左乳浸润性癌伴全身多发骨转移,Ⅳ期(Luminal A 型,HER2阴性)。
治疗方案
2025年3月12日予以瑞波西利(600mg qd, d1-21)+ 来曲唑(2.5mg qd)+ 亮丙瑞林(3.75mg q28d)+ 地舒单抗(120mg q4w)。
2025年6月,患者腰痛症状基本消失,生活质量显著改善。乳腺超声示左乳原发灶缩小至 19mm×16mm×16mm(基线22mm),疗效评估为疾病稳定(SD),且呈缩小趋势。
2025年9月,影像学显示左乳病灶进一步显著退缩至12mm×12mm×9mm,达到部分缓解(PR)标准。
乳腺超声(2025年9月)
乳腺MRI显示病灶范围显著缩小,BI-RADS分类降级,证实方案在持续缩瘤方面的卓越效力。
经半年多系统治疗,患者全身骨转移灶控制良好,原发灶持续缩小。经多学科会诊(MDT)讨论,考虑到患者原发灶退缩明显且手术意愿强烈,决定行局部减瘤手术。
2025年10月11日,行左乳保留乳头乳晕皮下单纯切除术+腋窝淋巴结清扫术。
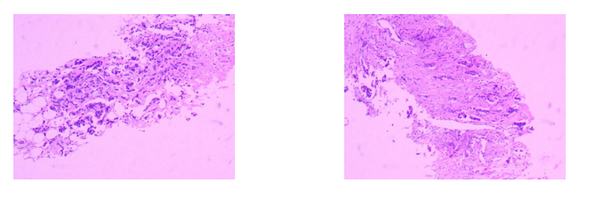
术后病理:左乳肿块缩小至 1.2cm。新辅助治疗反应评估(Miller-Payne分级)为2级(肿瘤细胞密度减少<30%,但在内分泌治疗背景下,肿瘤体积缩小已证实临床获益)。
病理检查(2025年10月)
安全性:治疗全过程中,患者仅出现轻度中性粒细胞减少,经短期对症处理后恢复,未发生肝肾功能异常或心脏毒性事件,整体耐受性良好。
专家点评
曾晓华教授:
该病例的治疗决策极具前瞻性,既契合最新循证医学证据,更生动诠释了《HR阳性HER2 阴性晚期乳腺癌内脏转移及危象诊治专家共识(2025版)》提出的“内脏危象前驱期” 管理理念。该共识指出,“内脏危象前驱期”指患者虽尚未发生危象,但存在快速进展风险或明显症状。本例患者初诊时虽无内脏危象,但广泛骨破坏伴明显疼痛,正处于这一“前驱期”。此时尽早应用强效药物阻断病程,是避免病情恶化、改善转归的关键。
针对此类症状明显或临床侵袭性患者,RIGHT Choice研究提供了避免化疗的坚实依据。研究显示,瑞波西利联合内分泌治疗较联合化疗显著延长PFS(21.8个月 vs 12.8个月),且起效速度(TTR)和客观缓解率(ORR)相当[2]。本例患者在治疗3个月内即实现疼痛缓解,随后达PR并成功实施手术,印证了RIGHT Choice研究结论。这提示我们,对于绝经前晚期乳腺癌,症状明显不再是选择化疗的理由,尽早启动瑞波西利联合方案,能更有效控制前驱期病情,实现高质量生存。
RIGHT Choice研究主要结果[2]
张剑辉教授:
本病例展现了乳腺癌治疗目标的升级——从单纯疾病控制迈向长生存乃至临床治愈的可能。患者的获益基于多重循证医学证据的坚实支撑:
绝经前患者的OS基石(MONALEESA-7):患者为绝经前女性,MONALEESA-7 研究是目前唯一针对该人群证实有统计学显著OS获益的Ⅲ期临床试验。该研究中,瑞波西利联合治疗组的中位OS达58.7个月,死亡风险降低24%,确立了瑞波西利在绝经前人群中的基石地位[5]。
骨转移人群的生存优势(MONALEESA-2):针对患者广泛骨转移的特点,MONALEESA-2研究的亚组分析显示,瑞波西利显著延长骨转移患者的OS[3-4]。本例患者通过强效治疗实现降期手术,正是基于这种长生存获益的预期。
极长缓解期(VLTR)的启示(SABCS 2025):2025年SABCS公布的MONALEESA 系列研究汇总分析关注了无进展生存期超过5年的极长缓解期人群。数据显示,一线应用瑞波西利可使约20%的患者获得超过5年的PFS;分析发现,Luminal A 型、低 Ki-67(如本例患者)是VLTR的潜在获益人群[6]。
综上,该病例的成功是个体化精准诊疗的典范。对于HR+晚期乳腺癌,尤其是处于内脏危象前驱期的患者,瑞波西利联合方案均应作为优先考虑的“去化疗”方案,以帮助更多患者跨越复发转移鸿沟,争取临床治愈可能。
*声明:瑞波西利的注册研究结果未涉及侵袭性疾病患者的有效性和安全性数据
*NCCN指南唯一:联合AI
[1] 健康中国研究中心癌症防治专家委员会. HR阳性HER2阴性晚期乳腺癌内脏转移及内脏危象诊治专家共识(2025版)[J]. 中华医学杂志,2025,105(36):3175-3187.
[2] Lu YS, et al. J Clin Oncol. 2024;42(23):2812-2821.
[3] Hortobagyi GN, et al. N Engl J Med. 2022;386(10):942-950.
[4] Slamon DJ, et al. N Engl J Med. 2020;382(6):514-524.
[5] Tripathy D, et al. Lancet Oncol. 2018;19(7):904-915.
[6] Five-year analysis of distant disease-free survival across key subgroups from the phase 3 NATALEE trial of RIB + NSAI in patients with HR+/HER2- early breast cancer. 2025 SABCS PS3-09-08.
[7] Lu YS, et al. Clin Cancer Res. 2022;28(5):851-859.
[8] Johnston S, et al. NPJ Breast Cancer.2019 Jan 17;5:5.
[9] Richard S. Finn,et al. Palbociclib and Letrozole in Advanced Breast Cancer. N Engl J Med 2016;375:1925-1936.
[10] Bishal Gyawali, et al. Nat Rev Clin Oncol. 2022 Oct;19(10):613-614.
[11] Oosting SF, et al. Ann Oncol. 2023 Apr;34(4):431-439.
[12] https://www.esmo.org/guidelines/esmo-mcbs/esmo-mcbs-scorecards/scorecard-158-1. [MONALEESA-7].
[13]https://www.esmo.org/guidelines/esmo-mcbs/esmo-mcbs-for-solid-tumours/esmo-mcbs-scorecards?scorecard=468. [NATALEE].
[14]https://www.esmo.org/guidelines/esmo-mcbs/esmo-mcbs-scorecards/scorecard-7-1. [PALOMA-2].
[15]https://www.esmo.org/guidelines/esmo-mcbs/esmo-mcbs-scorecards/scorecard-159-1. [MONARCH 3].
[16] National Comprehensive Cancer Network. (2025). NCCN Clinical Practice Guidelines in Oncology (Version 5.2025).
审批码KI20058461-,有效期为2025-12-22至2026-12-21,资料过期,视同作废
排版编辑:肿瘤资讯-Fu







苏公网安备32059002004080号