您好,欢迎您

2025 WCLC | 寡转移与寡进展NSCLC的个体化管理:一例长期生存案例深度分析

12月21日
整理:肿瘤资讯
来源:2025 WCLC

2025年9月6日至9日,世界肺癌大会(WCLC)在西班牙巴塞罗那盛大召开。在晚期非小细胞肺癌(NSCLC)的治疗演变中,寡转移和寡进展的概念重新定义治疗边界。通过在全身系统治疗的基础上,针对性地对少数进展病灶实施局部消融治疗(LAT),可以显著延长系统药物的临床获益时间。本文通过一例携带KRAS G12C突变的晚期肺腺癌患者长达五年的治疗历程,探讨多学科综合治疗在管理复杂转移路径中的核心作用。

初始诊断与分子图谱

2020年7月,61岁女性非吸烟患者因咳嗽就诊。

胸部CT显示,右肺上叶巨大肿块(6.5cm),伴双侧多发肺结节及纵隔淋巴结肿大。脑MRI未见转移。

临床诊断:肺腺癌,cT3N2M1b(IVB期)。

分子特征:KRAS G12C突变,伴随STAK11突变、ATM突变、PTEN缺失(FISH阳性);PD-L1表达阳性(22C3检测为表达),微卫星稳定(MSS),肿瘤突变负荷(TMB)低;无EGFR、ALK、ROS1、RET、BRAF等基因异常。

b332ee7c-8b1d-48cf-825b-0421f00386bb.png

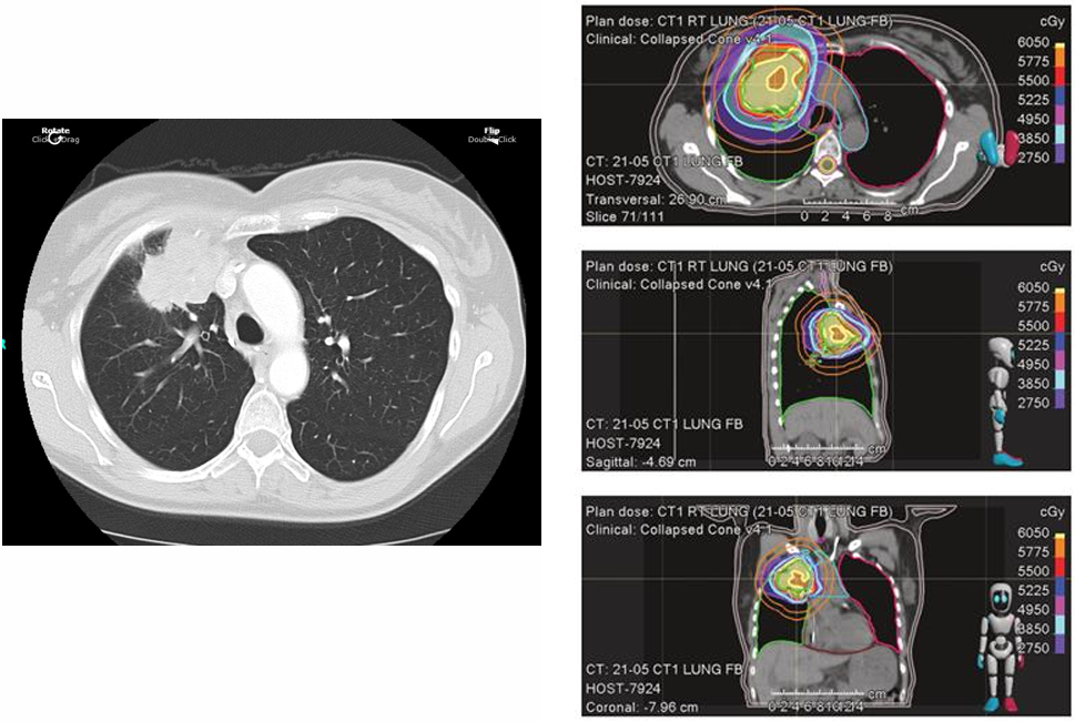
首次寡进展的局部干预

2021年6月,影像学监测发现右肺上叶主病灶出现孤立性进展,而其他结节保持稳定或消失。

多学科讨论决策:由于属于孤立性寡进展,建议在不中断系统治疗的前提下,对进展病灶实施局部消融治疗。

局部治疗:接受SBRT治疗,55Gy/10次。

转归:继续帕博利珠单抗维持治疗,实现12个月的无进展生存期(PFS)。

78c7fc33-4173-4cca-a4d0-6d6660f2a3a3.png

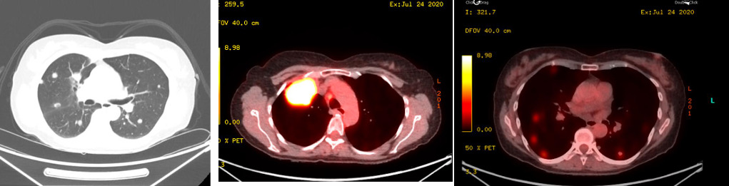
复发管理:肺部与中枢神经系统的多模态挑战

2022年6月至8月,病情再次发生演变:

肺部新发病灶:双肺下叶出现新结节。再次实施SBRT治疗(右肺下叶两处结节,62.5Gy/10次;左肺下叶一处结节 50Gy/5次)。

中枢神经系统(CNS)受累:2022年7月,患者出现言语困难。MRI发现左额叶单发巨大脑转移瘤,伴严重血管源性水肿及中线移位。

干预措施:

外科手术:于7月22日行急诊手术切除。

放射外科:8月对切除残留腔实施SRT,27Gy/3次。

ee67d7ea-efa1-4955-83e4-1454ba061da1.png

耐药后的治疗更迭与靶向药物整合

2023年初,病情进一步恶化,MRI显示多发脑膜及实质转移。患者拒绝医生建议的靶向药物Adagrasib,继续依赖顺势疗法。在此期间,针对不断出现的脑部病灶,医疗团队实施多次精准放疗(SRS/SRT),包括枕叶、额叶及蝶骨病灶。

2023年9月,患者最终同意开始针对KRAS G12C突变的靶向药物Adagrasib治疗。

sRab7UQlIUsdD5Daxavn01DiRWMxFKfr.png

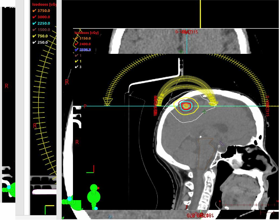
质子治疗在复杂解剖位点的应用

在Adagrasib治疗期间,患者经历数次局部进展,放射肿瘤科采用先进的质子治疗以保护重要器官:

2024年10月:左肺下叶结节进展。考虑到病灶靠近心脏且体积较大,实施强度调制质子治疗,60Gy/12次)。治疗期间短暂停用Adagrasib。

2025年5月:隆突下淋巴结及右肾上腺出现寡进展。

隆突下区域:利用质子笔束扫描技术(15次照射,每次3Gy),以避开关键纵隔结构。

肾上腺病灶:实施5次大剂量照射(每次8Gy)。

eb937012-54cc-4f01-a0a1-b50a67319e03.png

结论与临床启示

本案例展示晚期NSCLC在现代精准医疗背景下的“慢性病化”管理模式:

LAT的价值:在患者出现寡进展时,多次利用SBRT、SRS 及质子治疗,成功延长每一种系统治疗(化疗、免疫、靶向)。

分子检测的重要性:KRAS G12C的发现为患者在后期提供高效的口服靶向选择。

多学科与患者沟通:患者对补充医学的偏好增加治疗的复杂性。医护人员需在尊重患者价值观的同时,持续进行基于证据的沟通,以确保在关键时刻整合科学治疗(如 Adagrasib)。

技术的精准选择:针对复杂解剖位置(如靠近心脏、纵隔),质子治疗提供优于传统放疗的剂量分布,保证治疗的安全性。

通过这种“系统治疗作为基础,局部治疗进行补充”的策略,本例IVB期患者在复杂的基因突变背景下实现显著的长期生存和良好的生活质量。

责任编辑:肿瘤资讯-Bear
排版编辑:肿瘤资讯-Bear


版权声明
本文专供医学专业人士参考,未经著作人许可,不可出版发行。同时,欢迎个人转发分享,其他任何媒体、网站如需转载或引用本网版权所有内容,须获得授权,且在醒目位置处注明"转自:良医汇-肿瘤医生APP"。

评论
12月22日
白文秀
平遥兴康医院 | 中医科
感谢分享受益匪浅