您好,欢迎您

胃来说㊹丨维迪西妥单抗联合疗法助力HER2阳性晚期胃癌患者长期生存

2025年12月19日
整理:肿瘤资讯
来源:肿瘤资讯

对于HER2阳性晚期胃癌患者而言,尽管靶向与免疫治疗的出现显著改善了预后,但疾病进展后的治疗选择、多线治疗的策略制定以及治疗相关不良事件(AEs)的有效管理,仍是临床面临的严峻挑战。如何通过合理的药物选择与序列安排,将患者的生存获益最大化,是临床医生不断探索的方向。本期,河南省人民医院刘涛教授分享了一例HER2阳性晚期胃食管结合部腺癌患者的诊疗经验,该患者在经历一线治疗出现化疗不耐受,通过以维迪西妥单抗为核心的联合及单药维持治疗,实现了长久的生存获益。【肿瘤资讯】将病例诊疗过程整理如下,并特邀河南省人民医院医院王文玉教授对病例进行点评,以飨读者。

病例介绍

专家介绍

刘涛
主治医师

河南省人民医院肿瘤中心主治医师,在读博士
河南省医院协会消化道肿瘤规范化诊疗管理分会委员
擅长恶性肿瘤放化疗、靶向、免疫等综合治疗

基本情况

  • 患者:男,54岁。

  • 主诉:进行性吞咽困难5月余。

  • 现病史:患者于5个多月前无明显诱因出现吞咽困难,症状持续加重,伴有腹胀、餐后腹痛、恶心、呕吐及反酸。外院CT检查提示食管下段至贲门壁增厚,胃周淋巴结肿大;胃镜活检病理提示胃底、胃体中-低分化腺癌。近半年来,患者体重下降约10kg。

  • 既往史与个人史:长期吸烟史(34年,约20支/天)及饮酒史(34年,约250ml/次)。

辅助检查

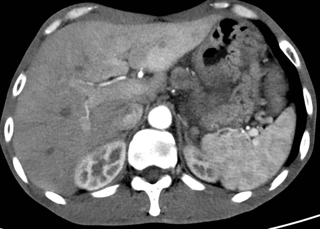
  • 腹部增强CT(2023年9月17日):食管下段至贲门区域存在占位性病变,胃周可见多发肿大淋巴结(图1)。

图片1.png图1. 腹部增强CT(2023年9月17日)

  • 胃镜检查(2023年9月18日):距门齿38cm处可见食管巨大新生肿物,向下累及贲门、胃体、胃角,表面覆有污苔,质地硬。病理检查:贲门活检组织提示中分化腺癌。免疫组化及分子检测:Ki-67 (约60%), HER2 (3+), MSH2 (+), MSH6 (+), PMS2 (+), MLH1 (+),PD-L1 (22C3) CPS≈20。

初步诊断:

胃食管结合部中分化腺癌(cT4aN2M1,Ⅳ期,HER2阳性,pMMR,PD-L1高表达)

诊疗经过

一线治疗

患者于2023年9月24日至2023年12月7日予以“信迪利单抗+曲妥珠单抗+卡培他滨+奥沙利铂”方案治疗4个周期。

患者出现肝脓肿,经穿刺引流及抗感染治疗后好转。由于患者体质较弱,拒绝继续接受化疗。

二线治疗

患者于2024年1月10日至2024年7月19日予以“维迪西妥单抗+信迪利单抗”治疗。患者疗效评估为疾病稳定(SD)。

在维持治疗期间,患者出现发热、头痛、神志淡漠等症状。

颅脑MRI(2024年8月6日)检查提示双侧额叶占位性病变,考虑脑脓肿可能性大(图2)。

图片2.png图2. 颅脑MRI检查(2024年8月6日)

为控制颅内感染,患者于2024年8月29日在全麻下行脑脓肿切除术,术后病理证实为脑脓肿。术后复查头部MRI显示病灶明显改善。

患者于2024年12月9日至2025年4月15日继续予以“维迪西妥单抗+信迪利单抗”维持治疗,疗效评估持续为SD。

治疗期间,患者出现免疫性皮质醇功能减退,考虑为PD-1抑制剂相关不良反应。因此,自2025年5月19日治疗方案再次调整为“维迪西妥单抗”单药维持治疗,于2025年6月26日、2025年7月30日、2025年9月3日继续此方案,过程顺利,患者病情依然保持稳定。

病例总结

本例患者为一名HER2阳性、PD-L1高表达的晚期胃食管结合部腺癌患者,在信迪利单抗+曲妥珠单抗+卡培他滨+奥沙利铂联合方案一线治疗后出现患者不能耐受,二线应用维迪西妥单抗联合免疫单抗治疗后病情稳定,且在转换为维迪西妥单抗单药维持后仍保持疾病稳定,提示维迪西妥单抗具有良好耐受性与持续抗肿瘤活性。

病例点评

专家介绍

王文玉
主任医师,硕士生导师

河南省人民医院 肿瘤科 副主任
河南省人民医院 淋巴瘤亚专科主任
中国抗癌协会肿瘤影像专业委员会委员
河南省老年医学会肿瘤多学科诊疗专业委员会主任委员
河南省医学会肿瘤学分会常委
河南省医学会肿瘤学分会淋巴瘤学组副组长
河南省医学会血液学分会淋巴瘤学组副组长
河南省抗癌协会不明原发灶和多原发肿瘤专业委员会副主任委员
河南省抗癌协会大肠癌专业委员会常委、GIST专业委员会常委
河南省抗癌协会精准治疗委员会常委
河南省生命关怀协会肿瘤康复专业委员会 副主任委员
河南省生命关怀协会淋巴瘤联盟副主任委员
海峡两岸医药卫生交流协会中西医结合专委会常委

胃癌在全球范围内仍位居恶性肿瘤发病率与死亡率前列,严重威胁着人类生命健康。在胃癌患者群体中,HER2阳性患者占有一定比例,其侵袭性强,预后较差。曲妥珠单抗联合化疗虽为HER2阳性晚期胃癌的一线标准方案,但多数患者在治疗后会出现疾病进展,且对于经治患者,传统治疗手段的疗效有限,存在着尚未满足的临床需求。

维迪西妥单抗作为我国自主研发的新一代抗HER2 ADC药物,其独特的抗体偶联设计使其在HER2阳性实体瘤中展现出优异的抗肿瘤活性。在关键性研究C008中展现了其在三线及以上治疗HER2 IHC 3+及HER2 IHC 2+晚期胃癌患者中的显著疗效。该研究显示,患者的客观缓解率(ORR)达到24.8%,疾病控制率(DCR)为42.4%,中位无进展生存期(mPFS)为4.1个月,中位总生存期(mOS)为7.9个月。此外,维迪西妥单抗在研究中显示出良好的安全性,无治疗相关死亡病例。基于C008研究的结果,维迪西妥单抗已获国家药品监督管理局(NMPA)批准用于治疗至少接受过两种系统化疗的HER2过表达的局部晚期或转移性胃癌患者。在2025版《CSCO胃癌诊疗指南》中,对于HER2(IHC 3+/2+)晚期胃癌的三线及以上治疗,维迪西妥单抗获得了I级推荐。

本例患者在一线治疗因不良反应中断后,采用维迪西妥单抗联合PD-1抑制剂治疗,不仅实现了长期的疾病稳定,且在免疫相关不良反应出现后转换为维迪西妥单抗单药维持仍能持续获益,这一诊疗过程为HER2阳性晚期胃癌患者的多线治疗提供了重要的临床参考。从作用机制来看,维迪西妥单抗通过靶向HER2受体,将细胞毒药物精准递送至肿瘤细胞内,发挥强效杀伤作用,同时其可能引发的免疫原性细胞死亡,与PD-1抑制剂具有协同抗肿瘤效应,这也为联合用药的有效性提供了理论支持。

此外,该病例中对治疗相关不良反应的及时识别与妥善处理,如肝脓肿穿刺引流、脑脓肿的手术干预等,也是患者能够长期接受抗肿瘤治疗并获得生存获益的关键因素,凸显了多学科协作在晚期肿瘤患者全程管理中的重要性。未来,随着更多临床研究的开展,维迪西妥单抗在HER2阳性晚期胃癌治疗中的应用场景有望进一步拓展,包括不同线数治疗的优化、与其他治疗手段的联合策略以及生物标志物指导下的个体化治疗选择等,从而为更多患者带来生存希望。

责任编辑:肿瘤资讯-古木
排版编辑:肿瘤资讯-WJH
版权声明
版权归肿瘤资讯所有。欢迎个人转发分享,其他任何媒体、网站如需转载或引用本网版权所有内容,须获得授权,且在醒目位置处注明“转自:良医汇-肿瘤医生APP”。