您好,欢迎您

海曲泊帕成功管理CTIT,保障治疗连续性:一例胰腺癌患者免疫联合化疗病例分享

2025年11月17日
整理:肿瘤资讯
来源:肿瘤资讯

胰腺癌因其恶性程度高、预后差而被称为“癌王”。以化疗为基石的联合治疗方案是改善晚期胰腺癌患者生存的主要策略。然而,肿瘤治疗所致血小板减少(CTIT),特别是重度CTIT,是临床实践中常见的剂量限制性毒性,常导致治疗延迟、剂量下调甚至中断,从而可能影响患者的治疗结局。如何有效管理CTIT,已成为肿瘤治疗中与提升疗效同等重要的课题。本期为大家分享一例由华中科技大学附属协和医院刘俊丽教授提供的胰腺癌患者在免疫联合化疗过程中发生3级血小板减少,经海曲泊帕(恒曲)治疗和二级预防后成功完成后续抗肿瘤治疗的病例,并特邀华中科技大学附属协和医院刘红利教授和林振宇教授围绕该病例的抗肿瘤治疗和CTIT管理策略进行点评。

病例分享专家

刘俊丽
博士、副教授、副主任医师

美国新泽西州立大学博士后
华中科技大学附属协和医院肿瘤中心
湖北省微循环学会肿瘤专业委员会常委
湖北省临床肿瘤学会免疫治疗专家委员会常委
湖北省抗癌协会肿瘤内科专业治疗委员会委员
中国抗癌协会肿瘤心理专业青年委员会委员
中国抗癌协会肿瘤专业委员会精准营养学组委员
中国抗癌协会肿瘤专业委员会营养科普学组委员
中国抗癌协会肿瘤大数据与真实世界研究青年委员会委员
湖北省抗癌协会癌症康复与姑息治疗委员会委员

病例点评专家

刘红利
主任医师、博士生导师、博士后指导导师

华中科技大学附属协和医院肿瘤中心,腹部肿瘤科主任
武汉市医学会肿瘤学分会副主任委员
湖北省生物信息学会微生物信息学专委会副主任委员
中国老年医学学会肿瘤学分会委员
中国CSCO胃癌、生物统计、临床研究专委会委员
中国抗癌协会CACA肿瘤运动康复专委会常委
中国抗癌协会CACA大肠癌、胃部肿瘤专委会委员
中国抗癌协会CACA靶向治疗专委会委员
中国研究型医院学会肿瘤专委员会常委
中国医药卫生文化协会肿瘤防治与科普分会常委
中国生物医学工程学会肿瘤分子靶向治疗专业委员会委员
中国医师学会女医师肿瘤专委会委员
美国哈佛大学丹娜法伯癌症中心博士后(2017-2018)
主持国家自然科学基金3项,主持CSCO基金、吴阶平基金、湖北省自然科学基金、湖北省生物靶向重点实验室基金等省部级十多项课题

林振宇
副主任医师、副教授

华中科技大学附属协和医院 肿瘤中心腹部肿瘤科 副主任
华中科技大学附属协和医院 肿瘤中心腹部肿瘤科2科主任
美国阿肯色医科大学洛克菲勒癌症中心博士后
中国临床肿瘤学会青年专家委员会委员
中国医师协会结直肠肿瘤专委会免疫治疗学组委员
中国临床肿瘤学会神经内分泌肿瘤专家委员会委员
中国抗癌协会学会神经内分泌肿瘤专家委员会委员
中国抗癌协会中西医整合肿瘤专委会早期临床试验研究协作组委员
湖北省抗癌协会肿瘤分子靶向治疗专业委员会秘书
湖北省临床肿瘤学会生物标志物专业委员会常委
湖北省抗癌协会大肠癌专业委员会委员
以第一或通讯作者在 Annals of Oncology、Cell Reports Medicine 、 J Immunother Cancer、J Nucl Med、 Cancer Letters、 Clin Transl Med、 Oncologist等国际期刊上发表文章多篇

基本情况

患者

男性,63岁。

主诉

纳差伴恶心、呕吐半月。

现病史

患者于2025年5月中旬无明显诱因出现纳差伴恶心、呕吐,呕吐物为胃内容物,进食量明显减少(约1/2),伴有呃逆、反酸,进食后加重。至当地医院就诊,查肝胆胰MR示:胰头可见不规则型结节状异常信号,增强扫描呈明显不均匀强化,病灶累及邻近十二指肠降部,胰管轻度扩张,腹膜后未见肿大淋巴结。肺+上下腹部+盆腔CT示:胰腺头部可见大小约3.0*2.0cm不规则稍高密度结节,边界欠清,增强扫描可见轻中度强化,腹膜后未见肿大淋巴结,余盆腔脏器未见异常。为求进一步诊治,于2025年6月1日收治入院。

既往史及家族史

有高血压病史。有饮酒史,已戒酒2月。父亲死于咽癌。家中无遗传性及传染性疾病。

体格检查

PS评分0-1分。腹软,上腹部压痛,无反跳痛,无腹部包块。

辅助检查

实验室检查

白细胞 9.79x109/L (↑),FIB 4.68 g/l (↑),Na 135.6 mmol/L (↓)。

肿瘤标志物

CA19-9 3582.2U/ml (↑),CEA 5.8μg/L (↑)。

余TEG常规检测、尿便常规结果正常。

心电图:窦性心律。

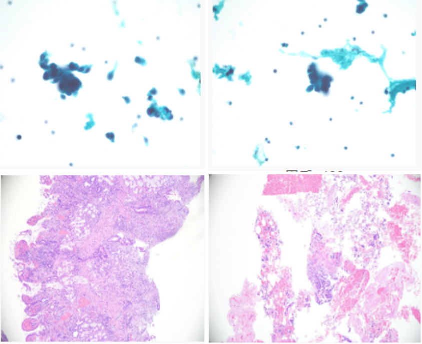
活检病理

2025.06.03 行无痛超声胃镜引导下胰腺肿物穿刺活检术,穿刺活检病理示(胰腺穿刺液)腺癌。

2025.06.06 穿刺活检病理示(十二指肠球部、十二指肠球部-胰头活检组织)腺癌。

1.png

诊断

胰腺恶性肿瘤 cT3N0M0 IB期?

治疗经过

经筛选,患者于2025年6月入组一项“依沃西单抗联合SBRT及白蛋白紫杉醇+吉西他滨一线治疗局部晚期或转移性胰腺导管腺癌的单臂、单中心”临床试验。

放疗及第一周期治疗

2025.06.05 开始行胰腺立体定向放疗(SBRT)(25Gy/5f)。

2025.06.24 行“依沃西单抗+吉西他滨+白蛋白结合型紫杉醇”方案治疗1周期。治疗后患者出现恶心、呕吐、腹泻等消化道症状,并发生Ⅳ度CTIT ,遂停用白蛋白结合型紫杉醇。

CTIT的发生与管理

患者第一周期治疗后第12天出现血小板降低(108x109/L),后血小板进行性下降。给予海曲泊帕(恒曲)7.5mg qd联合其他升血小板药物治疗,连续复查发现在血小板降低至低谷(32x109/L)后逐步稳定回升,在用药一周后复查血小板恢复正常范围(138x109/L),使患者避免了输注血小板,保障了患者后续化疗的完成。

基于CSCO诊疗指南推荐意见,该患者在上一个化疗周期血小板计数最低值小于50x109/L,因此后续治疗周期中对患者进行CTIT二级预防。

2.png

后续抗肿瘤治疗

2025.07.28~8.6 行“依沃西单抗+吉西他滨”方案1周期。

2025.08.26、2025.09.24 继续行“依沃西单抗+吉西他滨”方案各1周期。

在海曲泊帕预防用药期间,患者的血小板计数维持正常水平。

疗效评价

CA19-9变化:患者的CA19-9水平在第一周期治疗后持续下降,迅速下降至正常范围,并维持在低水平。

3.png

2025.08.20 腹部平扫+增强MRI:胰头、胰颈部病灶较大截面径约24x20mm。较院外前片比较,评价为部分缓解(PR)。

2025.10.29 腹部平扫+增强MRI:胰头、胰颈部病灶较大截面径约22x20mm。评价为疾病稳定(SD)。

4.png

病例小结

本例63岁患者因“纳差伴恶心、呕吐半月”入院,确诊为胰腺恶性肿瘤(T2N0M0)。入院后患者入组临床试验,接受依沃西单抗联合SBRT及白蛋白紫杉醇+吉西他滨方案治疗。第1周期治疗后出现血小板减少,最低降至32×10⁹/L,经海曲泊帕联合其他升血小板药物治疗后血小板快速恢复至正常范围。后续治疗中采用海曲泊帕进行二级预防,血小板维持正常水平,保障了治疗的连续性。目前经4周期抗肿瘤治疗,患者达到PR后维持SD状态,CA19-9水平明显下降,获得了良好的抗肿瘤疗效。此病例展示了在强效联合治疗中,对重度CTIT等不良反应进行精细化管理的重要性。

专家点评

刘红利教授

胰腺癌是消化系统高度恶性的肿瘤之一,大多数患者确诊时已处于局部晚期或转移阶段,预后较差。本例患者诊断为胰腺癌,入组了一项包含依沃西单抗(PD-1/VEGF双抗)、SBRT及含白蛋白紫杉醇+吉西他滨化疗的临床试验。从疗效上看,该联合方案展示了出色的抗肿瘤活性,患者治疗后CA19-9迅速降至正常,影像学评估达到PR,疗效令人鼓舞。


CTIT是抗肿瘤治疗常见的血液学毒性之一,各种抗肿瘤方案均可能导致其发生,尤其以含有吉西他滨和铂类药物的化疗方案为主,容易引起3-4级重度CTIT。患者接受的化疗方案为吉西他滨+白蛋白紫杉醇,其中吉西他滨是一种抗代谢类化疗药物,进入人体后会被转化为活性代谢产物,这些代谢产物能够抑制DNA合成,影响骨髓中巨核细胞的正常增殖和分化功能,导致血小板生成减少。另外,吉西他滨可能对骨髓微环境产生间接影响,进一步削弱血小板的生成能力。数据显示,接受吉西他滨单药化疗患者3-4级CTIT的发生率达13%[1]。白蛋白紫杉醇属于紫杉类药物,也易导致骨髓抑制及CTIT的发生。当吉西他滨联合白蛋白紫杉醇治疗时,可能会增加CTIT的发生风险并加重CTIT的严重程度。一项关于609例CTIT患者的调查显示,30%的化疗周期因CTIT而推迟或减少剂量,9%的化疗周期发生出血事件[2]。在临床实践中,一旦发生重度CTIT,常会导致治疗延迟或剂量减少,进而影响治疗的足量、足疗程,最终可能影响患者的生存获益。本病例中,患者在接受依沃西单抗联合吉西他滨+白蛋白紫杉醇方案治疗后第12天出现血小板降低,随后进行性下降,达到3级血小板减少,亟需有效干预。

林振宇教授

该病例在CTIT管理方面具有很好的示范意义。首先,治疗团队及时启动了包括海曲泊帕(恒曲)在内的联合升血小板治疗方案。治疗一周后血小板即恢复至正常水平,成功避免了血小板输注,确保了患者安全。其次,鉴于患者经历了重度CTIT,后续抗肿瘤治疗中根据CSCO诊疗指南推荐意见,使用了海曲泊帕(恒曲)进行二级预防。在预防用药期间,患者的血小板计数维持正常,这为后续“依沃西单抗+吉西他滨”方案的顺利开展提供了关键保障,使患者能够继续接受抗肿瘤治疗并获得良好疗效。本病例值得借鉴之处在于,面对临床试验中出现的严重血液学毒性,治疗团队不仅关注抗肿瘤疗效,更对不良反应进行了及时、有效且规范化的全程管理。通过合理应用海曲泊帕等TPO-RA类药物进行治疗和二级预防,在保障患者安全的同时维持了抗肿瘤治疗的连续性,体现了规范化CTIT管理在优化胰腺癌患者治疗结局中的重要价值。


参考文献

[1] 中国肿瘤药物相关血小板减少诊疗专家共识(2023版).
[2] 2025 CSCO肿瘤治疗所致血小板减少症诊疗指南.

责任编辑:肿瘤资讯- marie
排版编辑:肿瘤资讯-Vickey
版权声明
版权归肿瘤资讯所有。欢迎个人转发分享,其他任何媒体、网站如需转载或引用本网版权所有内容,须获得授权,且在醒目位置处注明“转自:良医汇-肿瘤医生APP”。