您好,欢迎您

2025 WCLC | SBRT成功治疗高龄极重度COPD合并早期NSCLC

11月19日
整理:肿瘤资讯
来源:2025 WCLC

2025年9月6日至9日,世界肺癌大会(WCLC)在西班牙巴塞罗那盛大召开。早期非小细胞肺癌(NSCLC)的标准治疗是外科手术,但对于高龄、心肺功能差或合并严重疾病而无法耐受手术的患者,立体定向放疗(SBRT)提供有效的根治性替代方案。本文报告1例76岁高龄合并极重度慢性阻塞性肺疾病(COPD GOLD 4级)及严重呼吸衰竭的早期NSCLC患者,探讨SBRT作为根治性治疗的临床疗效与安全性。

病例介绍

76岁非吸烟男性,因COPD常规随访发现左肺结节入院;既往2019年确诊重度COPD合并Ⅱ型呼吸衰竭,FEV1 30%,长期家庭氧疗(3L/min持续吸入),2020年诊断原发性高血压,合并高胆固醇血症,2022年起骨质疏松伴椎体压缩性骨折。

诊断与评估

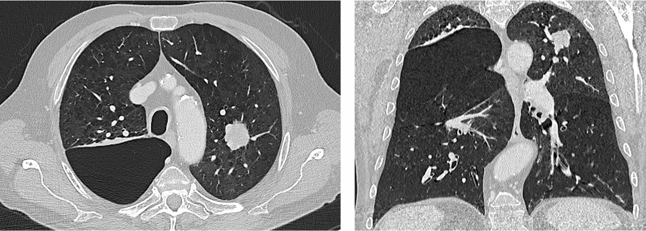
胸部CT(2022年11月):左上肺尖段可见一25mm的病灶,边缘呈毛刺状。双肺可见弥漫性混合型肺气肿,右上叶尖段有一巨大肺大疱(约10.7cm)。未见明确肿大的肺门及纵隔淋巴结,未见远处转移。

Ip9QrkNEnSs96XPLLBVzPtzvB3kc6syt.png

FDG-PET/CT(2022年11月11日):左上肺病灶显示高代谢活性,SUVmax高达19.8。

9b5d4273-6bd5-4ace-90c2-f0c1ee882bd4.png

CT引导下经胸壁穿刺活检(2022年11月):病理诊断为鳞状细胞癌;免疫组化为P40(+);PD-L1表达为10%。

肺功能检查:重度阻塞性通气功能障碍和重度弥散功能障碍(DLCO 42%)。FEV1占预计值的26%,FEV1/VC为45%。根据GOLD分级标准,患者属于GOLD 4级(极重度)。

动脉血气分析(吸氧状态下):pCO2 55mmHg,pO2 62 mmHg。

鉴于患者肺功能极差且合并多种严重疾病,外科手术已被明确列为禁忌;经多学科团队综合评估,决定将进行SBRT。

治疗方案

治疗技术采用每日图像引导(IGRT)的SBRT,处方剂量为总剂量50Gy,分割方式为每次10Gy,共5次,每日1次。

7466f1b3-fb9f-4f42-afae-43c187f3ee5a.png

结果与随访

CT随访(2025年5月,放疗后18个月):原左上肺病灶明显缩小,呈纤维化及放疗后改变,未见明确的肿瘤复发迹象。

2d83299b-1a84-4821-aab3-af81405d79c7.png

PET/CT随访(2024年6月,放疗后18个月):

与治疗前(SUVmax 19.8)相比,复查PET显示原病灶处未见异常FDG代谢,提示完全代谢缓解。

6bee91ae-e3ba-410b-917a-77241a816d0a.png

肺功能变化(经肺康复治疗后):与放疗前(2022年11月)相比,放疗后18个月(2025年5月)的肺功能测试显示,FVC从49%改善至66%。FEV1从26%改善至30%。DLCO-SB从42%下降至32%。

患者状态:截至2025年5月,患者病情稳定,生活质量良好,影像学显示肿瘤得到有效控制。

结论

对于因严重合并症(特别是极重度COPD)而无法耐受手术的早期NSCLC患者,SBRT是一种安全、有效且耐受性良好的根治性治疗选择。本例中,SBRT不仅实现出色的局部肿瘤控制(18个月完全代谢缓解),且在肺康复的辅助下,患者的通气功能(FVC,FEV1)甚至有所改善,展示SBRT在这一高风险患者群体中的重要价值

责任编辑:肿瘤资讯-Bear
排版编辑:肿瘤资讯-Bear


版权声明
本文专供医学专业人士参考,未经著作人许可,不可出版发行。同时,欢迎个人转发分享,其他任何媒体、网站如需转载或引用本网版权所有内容,须获得授权,且在醒目位置处注明"转自:良医汇-肿瘤医生APP"。

评论
11月19日
欧阳波
酒钢医院 | 呼吸内科
内容很精彩,值得学习!
11月19日
贾原菊
宜城市人民医院 | 肿瘤内科
好好学习天天向上
11月19日
欧阳波
酒钢医院 | 呼吸内科
内容很精彩,值得学习!