结直肠癌(CRC)是全球最常见的恶性肿瘤之一。2022版中国癌症统计报告数据显示,中国CRC的发病率、死亡率在全部恶性肿瘤中分别位居第2和第4位,其中2022年新发病例51.7万,死亡病例24万。大多数患者确诊时已发生转移,导致预后不佳。近年来,免疫疗法的深入研究为错配修复缺陷/微卫星高度不稳定(dMMR/MSI-H)晚期CRC患者带来了显著生存获益。目前,多项免疫联合治疗的研究正在进行中,旨在进一步实现疗效升级,并改善占比95%的错配修复完整/微卫星稳定(pMMR/MSS)型转移性CRC(mCRC)患者的预后,这些研究为临床实践提供了重要的循证医学支持。
《Hi Strong-消化道病例精粹》系列专栏深入剖析消化道肿瘤免疫治疗优秀临床病例,分享宝贵临床经验,以期共同推动消化道肿瘤免疫治疗学科发展,助力“健康中国2030”战略目标的实现。
江苏大学附属医院腹部肿瘤科,主治医师,讲师,博士研究生在读
镇江市医学会第七届肿瘤学专业委员会秘书
镇江市医学会第七届肿瘤学专业委员会青年委员会委员兼秘书
一作参与发表SCI 2篇,中文2篇,参与省级以上课题6项,获得江苏省肿瘤科学技术奖二等奖
2023年至江苏省肿瘤医院进修妇科放疗
病例介绍
基本情况
患者,白XX,女性,75岁。既往体健,ECOG评分为1分。
个人史和家族史
否认肿瘤及遗传病史。
主诉
患者因“排便习惯改变1月”于2024年7月26日入院。
现病史
2024年7月26日胃镜示:慢性浅表-萎缩性胃炎伴糜烂;肠镜示:距肛门10cm~13cm处黏膜不规则隆起,占据1/3肠腔。活检病理提示为:腺癌。
免疫组化结果显示
pMMR,Ki-67(75%),Her-2(0)。
辅助检查
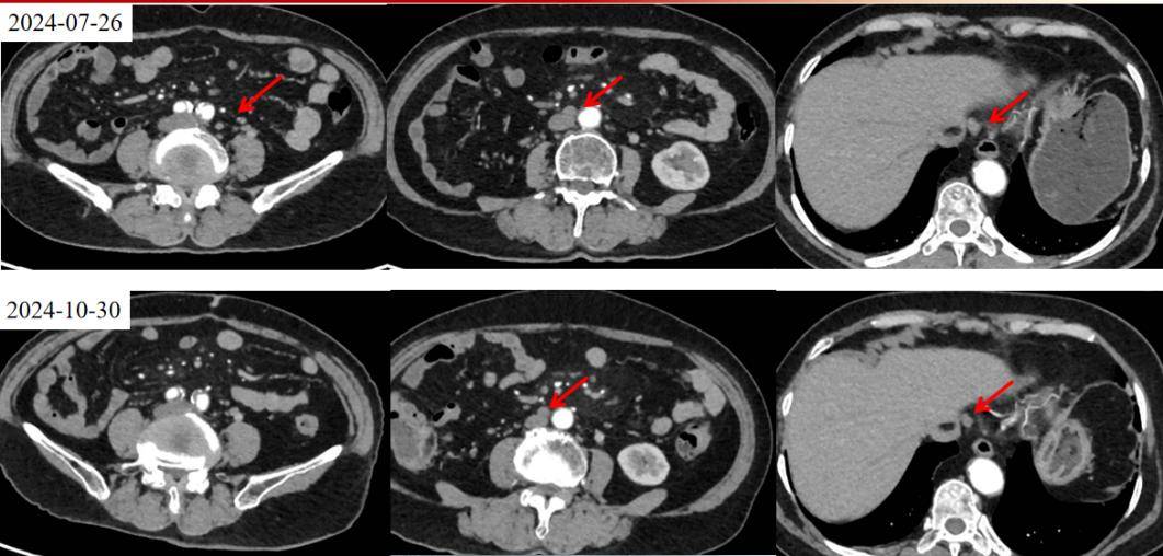
2024年7月26日胸腹部增强CT提示:直肠壁局部增厚伴强化,周围结节样淋巴结(考虑MT),肝门部及腹膜后、双侧腹股沟淋巴结。
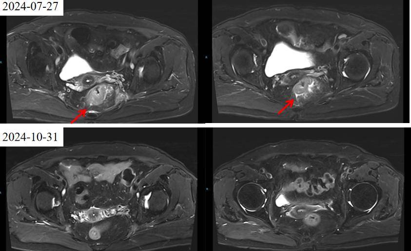
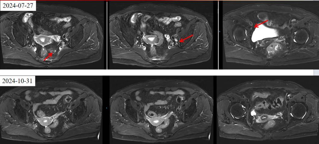
2024年7月27日直肠增强MRI提示:直肠中下段管壁增厚强化(考虑MT)伴周围淋巴结增大,拟T3bN2Mx期,MRF(+)。
2024年8月2日行PET-CT检查:1、直肠壁不均匀增厚伴FDG代谢增高,符合直肠Ca表现。2、病灶周围及双侧盆壁小淋巴结伴FDG代谢增高,考虑转移。3、腹腔及腹膜后散在淋巴结,FDG代谢轻度增高,部分转移待排。


实验室检查及基因检测:血清肿瘤标志物均正常。
后期完善基因检测:RAS野生型,BRAF V600E突变,MSS,POLE/POLD1阴性,UGT1A1杂合子。
临床分期及诊断
直肠腺癌cT3N2aMx IIIA期(IV期?)。RAS野生,BRAF V600E突变,MSS,POLE/POLD1阴性。
诊疗经过
新辅助放化疗
经MDT讨论,建议行新辅助放化疗。
2024年8月5日行输液港置入术,并予mFOLFOX6化疗:奥沙利铂120mg ivgtt d1,亚叶酸钙 0.5g ivgtt d1,5-FU 0.5g iv 3.5g civ 46h。
2024年8月19日基因检测结果回报(BRAF V600E突变),加用贝伐珠单抗300mg ivgtt d1+mFOLFOX6化疗。
2024年8月27日至2024年10月4日予直肠癌新辅助放疗,直肠肿瘤+盆腔淋巴结引流区(髂总、髂内外、骶前、闭孔),剂量:46.8Gy/26Fx,同时口服卡培他滨1g bid同步化疗。
2024年10月17日予mFOLFOX6化疗。
此阶段治疗期间,患者耐受性良好,期间因I~II度血白细胞减少予升白细胞治疗,无明显消化道反应及神经末梢毒性反应,无高血压、蛋白尿等。
疗效评估:2024年10月30日复查CT及MRI,影像评估提示病灶较前明显缩小(肿瘤缩小43%,盆腔淋巴结退缩),疗效评估为部分缓解(PR)。



鉴于其BRAF V600E突变为预后极差因素,患者方咨询了中山大学肿瘤防治中心。外院专家建议“暂缓手术,原方案+免疫治疗”。
巩固治疗
采纳外院建议后,MDT决定为患者升级为“化疗+抗血管+免疫”三药联合的强化巩固治疗方案。
2024年11月2日至2025年3月28日予斯鲁利单抗200mg ivgtt d1+贝伐珠单抗300mg ivgtt d1+mFOLFOX6方案化疗10周期。
化疗后反复因I~II度血白细胞减少升白细胞治疗,无明显消化道反应及神经末梢毒性反应,无高血压、蛋白尿,无免疫相关不良事件(irAE)等。
疗效评估:2025年3月13日复旦大学附属肿瘤医院PET-CT提示:直肠癌治疗后,直肠和乙状结肠条索状FDG代谢增高,建议结合肠镜,腹膜后、双侧髂血管旁和腹股沟区小淋巴结,未见明显FDG代谢增高。疗效评估为完全缓解(CR)。
腹膜后淋巴结消失,既往考虑转移(?)。MDT再次讨论,诊断修正为:直肠腺癌 cT3N2aM1 IVA期。
2025年3月27日,我院肠镜病理提示:(距肛门7cm)隐窝结构紊乱,隐窝数量减少,黏膜间质炎细胞中度增多,轻度活动伴糜烂,局灶肉芽组织增生及炎性渗出物,未见隐窝炎及隐窝脓肿。
维持治疗
鉴于患者已达CR,MDT再次讨论,建议行维持治疗,并对腹膜后淋巴结引流区放疗。
2025年3月31日至2025年5月4日,患者予腹膜后淋巴结引流区调强放疗(DT 45Gy/25Fx)。2025年3月28日、4月15日、5月12日、6月3日予斯鲁利单抗+贝伐珠单抗+卡培他滨同步治疗。放疗结束后,于2025年5月检测MRD为阴性。
后续随访
患者继续维持治疗。期间出现腹泻(暂停卡培他滨)及一过性肝功能异常(2025年7月25日于外院保肝治疗后好转),未见明显骨髓抑制及消化道反应。
2025年7月复查CT,影像评估稳定,持续CR。

病例小结
本例患者为75岁高龄女性,诊断为pMMR/MSS、BRAF V600E突变的晚期直肠癌,该分型是临床公认预后差、治疗棘手的类型之一。患者接受了多学科协作下的全程管理,在新辅助治疗(mFOLFOX6+贝伐珠单抗+放疗)获评PR后,鉴于其BRAF V600E突变的预后不良因素,行“斯鲁利单抗+贝伐珠单抗+mFOLFOX6”三药联合方案进行强化巩固治疗,10周期后实现了CR。后续采用“斯鲁利单抗+贝伐+卡培他滨”维持治疗,并行巩固放疗,最终达到了MRD阴性。整个治疗全程患者耐受性良好。
专家点评
江苏大学附属医院腹部肿瘤科主任
中国抗癌协会肿瘤临床化疗专委会委员
中国抗癌协会胃癌专委员会委员
江苏省医师协会肿瘤化疗与生物治疗分会常委
江苏省肿瘤科医疗质控中心委员
江苏省研究性医院学会生物治疗学专委会常委
江苏省肿瘤防治联盟大肠癌专委会常委
江苏省抗癌协会肿瘤复发与转移专委会常委
江苏省医院协会肿瘤医院分会常务委员
镇江市医学会五届肿瘤专委会主任委员
镇江市肿瘤科质控中心主任
李小琴教授:本例患者的诊疗过程为pMMR/MSS型mCRC的临床实践提供了极其宝贵的经验,尤其是在预后极差的BRAF V600E突变亚型中取得了令人振奋的成果。
患者为高龄女性,且分子分型为pMMR/MSS合并BRAF V600E突变。众所周知,pMMR/MSS型结直肠癌是典型的免疫“冷肿瘤”,对PD-1单药治疗不敏感;而BRAF V600E突变更是与原发耐药、疾病快速进展、生存期短密切相关。这种“冷上加冷”的组合,是临床实践中的巨大挑战。该病例的MDT团队展现了非凡的洞察力和果断的决策。在标准新辅助治疗取得PR后,团队并未满足于此,而是深刻认识到BRAF V600E突变的巨大威胁,做出了“暂缓手术、强化系统治疗”的关键决策。
该病例的成功,关键在于及时引入了以斯鲁利单抗为核心的“化疗+抗血管+免疫”三药联合方案。化疗短期内控制肿瘤负荷,抗血管改善肿瘤微环境、“解冻”TME,而斯鲁利单抗则负责激活免疫系统、实现T细胞杀伤。这三者协同作用,克服了BRAF突变带来的耐药性,成功将“冷肿瘤”转化为“热肿瘤”。
这一治疗策略的理论基础,与ASTRUM-015研究的结果高度一致。MDT团队亦是基于2024年ASCO年会上公布的该研究结果制定了这一治疗策略。ASTRUM-015研究评估了斯鲁利单抗联合贝伐珠单抗和XELOX一线治疗mCRC的疗效。研究数据显示,斯鲁利单抗组和对照组患者的中位无进展生存期(mPFS)分别为16.8个月 vs 10.7个月(HR 0.58);两组的缓解持续时间(DOR)分别为19.4个月 vs 11.3个月(HR 0.31,P=0.009)。斯鲁利单抗组患者的疾病进展或死亡风险降低42%,且缓解持续时间更长。在占比绝大多数的MSS亚组中,斯鲁利单抗组的mPFS达到了16.8个月,较对照组的10.1个月显著提高(HR 0.60)。
本病例的真实世界数据,再次印证了ASTRUM-015研究的结论。值得一提的是,本例患者是在预后更差的BRAF V600E突变亚组中,通过斯鲁利单抗联合方案获得了快速、深度、持久的缓解,最终达到了CR,乃至MRD阴性,实属不易,也为患者带来了长生存希望。
总之,该病例成功地展示了斯鲁利单抗联合化疗及抗血管药物,在pMMR/MSS、BRAF V600E突变的晚期结直肠癌领域中,同样具有强大的抗肿瘤活性和可控的安全性。这为我们深入探索MSS型mCRC的个体化治疗提供了重要的临床依据和强大的信心。
Xu Rui-Hua, Wang Feng, Wang Zi-Xian, et al. Updated efficacy and subgroup analysis of first-line serplulimab plus bevacizumab and XELOX versus placebo plus bevacizumab and XELOX in metastatic colorectal cancer: A phase 2/3 study. ASCO GI, 2025. Abs170.
责任编辑:肿瘤资讯-QTT
排版编辑:肿瘤资讯-Yael






苏公网安备32059002004080号