近年来,我国肿瘤发病率以及死亡率呈逐年升高趋势,自2010年起,肿瘤已经成为首要死亡原因[1]。乳腺癌是影响女性健康的首要恶性肿瘤,据不完全统计,2018年全球确诊超过210万例,死亡约63万例[1]。在我国,其发病率和死亡率分列女性恶性肿瘤第1位及第5位,人口标化率分别为31.54/10万及6.67/10万,年均新发病例约26.86万例,因病死亡6.95万例[1]。骨骼是乳腺癌最常见的远处转移部位,约占所有转移性乳腺癌患者的60%~75%[1]。研究发现激素受体阳性型乳腺癌更易发生骨转移[1]。乳腺癌骨转移是乳腺癌发展的特殊阶段,治疗方案的选择存在一定困难。
乳腺癌骨转移常引起高钙血症、病理性骨折、功能障碍等一系列骨相关事件(SREs),严重影响生活质量,严重者甚至导致死亡[1]。乳腺癌骨转移的倾向性及发生骨转移对预后影响的重要性均提示抗骨转移治疗可以使患者得到临床获益。
本文通过对乳腺癌骨转移管理策略的系统性梳理,并结合多个合并骨转移的乳腺癌案例及性能详细分析,以期为乳腺癌骨转移病例的临床诊疗提供参考。这些病例在选择良好骨改良药物联合系统抗肿瘤治疗后取得持续稳定疗效,且生活质量良好,提示骨改良药物于乳腺癌骨转移管理中的重要性。
乳腺癌骨转移诊断及系统性治疗策略梳理
乳腺癌骨转移在临床上多表现为单发或多发的溶骨性病变,少数患者表现为溶骨成骨混合性病变。骨转移灶破坏骨的生理结构与机械强度,常伴有中重度骨痛,严重者可发展为病理性骨折。骨转移灶形成的软组织包块可对周围重要神经血管形成压迫,导致肢体局部功能丧失。骨痛、病理性骨折、脊髓压迫及高钙血症等骨相关事件(SREs)的出现,严重影响患者的自主活动能力及生存质量。
对疑似乳腺癌骨转移患者应进行充分的治疗前评估。包括病情评估、预期生存评估、影像学评估、病理学及生物化学标志物评估。对既往有乳腺癌病史且出现或可能出现骨相关事件的患者推荐进行下述检查:
2.1 影像学评估
1)骨放射性核素显像(emission computed tomography,ECT):为骨转移筛查的最常用方法。具有敏感性高、全身显像不易漏诊的优点。但同时也存在特异性较低,不能显示骨破坏程度等问题,需与其他检查联合使用。故常推荐用于出现骨痛、病理性骨折、碱性磷酸酶升高或高钙血症等可疑骨转移的乳腺癌患者的筛查,以及诊断为乳腺癌骨转移患者的常规复查手段。检查结果方面,绝大部分乳腺癌骨转移病灶均表现为局部核素摄取增加。对于骨放射性核素显像提示异常的乳腺癌患者,应进一步针对可疑部位进行X线、CT或MRI检查,以明确病变性质。
2)X线:X线检查是诊断乳腺癌骨转移的最基本和最主要的方法,应与临床症状和ECT结合使用。通过对ECT识别的重点区域行X线检查,可以明确病变具体位置和与周围骨与关节的关系。X线检查特异性较高,但敏感性较低,难以发现早期转移灶。乳腺癌骨转移在X线上常表现为溶骨性破坏,但也可见成骨性或混合性病变。通过X线检查可识别骨破坏性质,发现病理性骨折,以及评估病灶发生病理性骨折的风险等。
3)计算机断层扫描CT:CT较X线的敏感性和特异性均更高。对病变部位进行CT检查可以进一步明确病变和相邻组织关系,对判断皮质骨破坏范围及程度较有帮助,尤其适用于复杂解剖部位的转移灶。增强CT扫描可用于判断病变血供情况,并显示病变与周围神经、血管结构的关系,为外科治疗提供帮助。
4)磁共振成像MRI:MRI对诊断乳腺癌骨转移的敏感性更高,能更准确地显示病灶侵犯部位、范围及周围软组织侵犯情况,明确病变与周围软组织和重要神经血管关系,是评价乳腺癌骨转移骨髓内浸润的首选工具。同时对于位于脊柱的转移性病灶,MRI在判断病变范围,脊髓及神经受累及情况具有突出优势。
5)正电子发射计算机断层扫描(positron emission tomography-computed tomography,PET-CT):PET-CT对于骨转移诊断的敏感性和特异性均高于骨放射性核素显像,可以反映肿瘤细胞的代谢水平,同机CT可以辅助精确定位且全身显像,是相对于骨放射性核素显像更有效的乳腺癌骨转移筛查工具 。另一方面,目前PET-CT所常用的示踪剂18F-FDG易富集于溶骨性及骨髓浸润病变,适合乳腺癌骨转移的成像需求,是乳腺癌骨转移疗效评估和病情跟踪的良好手段。
2.2 病理学评估
乳腺癌患者骨病灶的组织病理学检查是诊断乳腺癌骨转移的金标准。如果临床上可行,应积极对可疑骨病灶进行组织学检查以明确诊断,尤其是首次出现的可疑转移灶和单发骨病灶。如组织病理学确诊为乳腺癌骨转移,应同时对转移灶的分子分型进行判断。尤其在治疗反应不符合原发灶肿瘤分子分型特点,及原发病灶分子分型不明确的患者中更为重要。有研究发现,乳腺癌骨转移患者原发灶和转移灶中存在相当比例雌激素受体及Her-2表达不一致情况,为肿瘤系统性治疗带来困扰。
乳腺癌可疑骨转移病灶的组织病理学检查应遵循肌肉骨骼系统肿瘤活检取材的原则,对于特殊解剖部位可在影像学引导下进行。活检方式主要有粗针穿刺活检和切开活检。活检前应完善患处CT或MRI扫描,以进行全面的术前规划,尽量避开坏死区域,选取活跃溶骨性区域取材。原则上应避开重要血管神经束,穿过最少的组织解剖学间室。取材量应满足常规组织病理学及分子病理学诊断的要求。
2.3 分子生物学评估
1)骨代谢的生物化学标志物:可反映骨转移过程中骨吸收和形成的速度,提示骨破坏和修复程度,是评价治疗反应的辅助指标。主要有反映溶骨代谢水平的标志物,包括Ⅰ型胶原α1羧基末端肽(C-terminal telopeptide of type I collagen,CTX)、Ⅰ型胶原羧基末端肽(carboxyterminal propeptide of type Ⅰ procollagen,ICTP)、Ⅰ型胶原N末端肽 (N-telopeptide of type I collagen,NTX)、骨唾液蛋白(bone sialoprotein,BSP)等。另一方面是反应成骨性代谢水平的标志物,主要有骨特异性碱性磷酸酶(bone alkaline phosphatase,BALP)、ALP、Ⅰ型溶胶原N末端肽(procollagen Ⅰ N-terminal propeptide,PINP)等。
2)药物靶点检测:不能作为骨转移诊断的方法。仅在相关靶向药物可及的情况下,为治疗困难,进展迅速的特殊类型乳腺癌骨转移患者提供挽救治疗思路。如针对三阴性乳腺癌患者进行PD-L1,BRCA等表达水平检测等。
2.4 生存质量评估
乳腺癌骨转移瘤的治疗多为姑息性,提高或维持患者的生存质量是各方共识。应注重患者的主观感受,强调患者进行自我评价(patient-reported outcome,PRO)的意义。欧洲癌症研究与治疗组织(EORTC)提出的QLQ-BM22和QLQ-C30量表,在我国经过了效度、信度、跨文化适应性的验证,可作为评估乳腺癌骨转移患者生存质量的一份有效量表。
2.5 乳腺癌骨转移诊断
乳腺癌骨转移指临床或病理诊断为乳腺癌的患者,骨病变组织病理学检查符合乳腺癌转移。对于既往乳腺癌病理诊断明确,且具有典型骨转移影像学表现的病例可临床诊断为乳腺癌骨转移。
3.1 治疗目标
乳腺癌骨转移的治疗目标包括下述几点:缓解疼痛、恢复功能、控制肿瘤进展、预防及治疗骨相关事件、改善患者生存质量。
3.2 治疗原则
乳腺癌骨转移作为一种终末期全身性恶性疾病,治疗应以全身治疗为主。其中,内分泌治疗、化疗、抗HER-2药物治疗为复发转移性乳腺癌的基本治疗方式,新型靶向治疗如PARP抑制剂、Trop2靶点的抗体藕联药物、CDK4/6抑制剂、PI3K/mTOR通路抑制剂等在特定患者中显示出较好的疗效,免疫治疗如免疫检查点抑制剂PD-1、PD-L1和CTLA4在乳腺癌特别是三阴性乳腺癌中显示处一定疗效,包括地舒单抗在内的骨改良药物可用于预防和延缓骨相关事件的发生、发展。合理的局部治疗可以更好地控制骨转移相关症状,手术和放疗是骨转移局部治疗的有效手段。此外,完善的疼痛管理和关怀支持治疗不可或缺,可以明显改善患者的生存质量。治疗方案的选择应充分考虑患者年龄、一般状态、月经状况、原发灶和转移灶的激素受体状态和HER-2状态、既往治疗情况(疗效、不良反应、耐受性等)、无病间期、肿瘤负荷(转移部位和数量)等因素,并应根据患者症状严重程度、是否有快速控制疾病和(或)症状的需求,制定个体化的综合治疗方案。总的来说,对于激素受体阳性、疾病进展相对缓慢、不合并内脏转移、非内分泌原发耐药患者应优先考虑内分泌治疗。激素受体阴性、术后无病间期短、合并内脏转移、对内分泌治疗无反应的患者应优先考虑化疗。Her-2阳性乳腺癌患者应合并抗Her-2治疗。
3.3 乳腺癌骨转移药物及放射治疗疗效评估
乳腺癌骨转移患者在接受药物和放射治疗过程中,应根据治疗周期进行治疗疗效评估,以判断治疗的有效性。疗效评价主要从患者症状、实验室检查及影像学检查等多个方面综合进行。一般来说,患者主观骨痛症状的减轻,骨内病变边界清晰化,密度增高,软组织包块体积缩小,肿瘤中心出现液化坏死,ECT或PET-CT提示肿瘤摄取减少等,均可能提示肿瘤治疗有效。
3.4 内分泌治疗
对于激素受体阳性、Her-2阴性、不伴广泛的或症状明显的内脏转移的乳腺癌骨转移患者可优先考虑内分泌治疗。芳香化酶抑制剂+CDK4/6抑制剂、氟维司群+CDK4/6抑制剂、单药氟维司群等均为可选方案,近年来,HDAC抑制剂、PI3K抑制剂等亦有循证证据。内分泌治疗应参考患者在辅助治疗阶段及复发转移后使用内分泌药物的种类、时间和月经状态进行。对于既往内分泌治疗有效(临床有效或持续稳定)的患者,无论是否绝经,仍有可能从后续内分泌治疗中获益,故在疾病进展后可换用其他不同机制的内分泌药物治疗。连续三线内分泌治疗无效通常提示内分泌治疗耐药,应换用化疗。治疗药物详见乳腺癌治疗指南。
3.5 化疗
对于激素受体阴性、Her-2阳性、伴有广泛的或有症状的内脏转移、疾病发展较快以及激素受体阳性但对内分泌治疗无效的乳腺癌骨转移患者应考虑化疗。 推荐的首选化疗方案包括单药序贯化疗或联合化疗。联合化疗通常起效快,作用强,有更好的客观缓解率,适合肿瘤生长较快、肿瘤负荷较大或广泛内脏转移的患者,但是常伴有明显的不良反应,可能影响患者的生存质量且生存获益有限。对于肿瘤生长较慢、肿瘤负荷较小、无明显症状,难以耐受联合化疗的患者可考虑单药序贯化疗。单纯骨转移患者一般不采用联合化疗。化疗方案详见乳腺癌治疗指南。
3.6 抗HER-2药物
对于乳腺癌骨转移患者,应尽量再次检测骨转移灶的Her-2状态,对Her-2阳性(免疫组织化学强阳性或荧光原位杂交检测显示HER-2基因扩增)的乳腺癌骨转移患者,应以抗Her-2治疗作为基础。对于Her-2阳性且激素受体阳性的转移性乳腺癌患者来说,如可耐受化疗,则应首先考虑抗Her-2治疗联合化疗。抗Her-2治疗一线方案应首选曲妥珠单抗及帕妥珠单抗(双联靶向抗Her-2治疗联合紫杉类药物。治疗药物详见乳腺癌治疗指南。
3.7 骨改良药物
地舒单抗是一种全人源单克隆抗体,以高特异性和高亲和力与核因子κB受体活化因子配体[receptor activator of nuclear factor-κB(NF-κB)ligand,RANKL]结合,阻止RANKL与其受体核因子-κB受体活化因子(receptor activator of nuclear factor-κB,RANK)结合,从而抑制破骨细胞形成和活化,抑制骨吸收。研究显示地舒单抗可以延迟乳腺癌患者SREs发生时间,降低SREs发生次数,效果优于双膦酸盐。全球多家权威指南美国临床肿瘤学会(ASCO)、欧洲肿瘤学会(EMSO)、中国临床肿瘤学会(CSCO)均肯定地舒单抗在乳腺癌骨转移中的地位,NCCN等循证医学指南以ⅠA类推荐。对于存在肾功能不全或联合应用铂类等肾毒性药物的患者来说,地舒单抗的优势则更加明显。
推荐使用剂量:120 mg,每4周皮下注射,由于在治疗过程中容易出现低磷血症和低钙血症,应用地舒单抗前及治疗过程中应监测血浆钙浓度、肌酐、磷、镁水平,对相应电解质予及时补充。同时避免口腔有创操作,预防颌骨坏死的发生。
3.8 放疗
放射治疗是乳腺癌骨转移姑息性治疗的有效方法。其目的是为了在患者有限的生存期内,预防或减轻因骨转移病灶引起的症状和功能障碍,也可用于姑息手术后快速进展病变的局部控制。同时,随着肿瘤药物发展,对于全身药物控制的患者特别是寡转移患者,局部放疗可以进一步巩固全身效果,延长生存期。骨转移放射治疗的方案需要根据转移灶部位、邻近限量器官、疼痛程度以及是否再次治疗来决定照射总剂量和分次剂量。放射治疗的方法包括体外照射和放射性核素内照射。
1)体外照射:是乳腺癌骨转移姑息性放疗的首选方法。局部放疗可迅速有效地缓解骨破坏和软组织病变导致的疼痛,减缓局部疾病进展。随着放疗技术的发展,调强适形放疗(intensity modulated radiation therapy,IMRT)和三维适形放疗(three-dimensional conformal radiation therapy,3D-CRT)技术的出现,较普通放疗显著提高了放疗效率,同时降低了对周围组织损伤和并发症。而对于脊柱,骨盆等骨转移部位,因为紧邻脊髓、马尾等重要复杂解剖结构,立体定向放疗成为主流治疗技术。
2)体外放疗适应证:
①经疼痛管理和系统治疗仍症状持续的非承重骨的骨转移灶。
②承重部位有症状骨转移灶的姑息性放疗。
③已发生或将发生的病理性骨折,无法耐受手术。
④姑息手术后快速进展的病灶的局部控制。
⑤长期生存患者寡转移灶。
3)体外放疗常用剂量及分割方法
①普通放疗:300 cGy/次,共10次;200 cGy/次,共20次;400 cGy/次,共 5次;800 cGy/次,单次照射(适用于非中线骨转移病灶,行动不便急需解决骨痛的患者)。研究显示,不同方案照射的缓解骨疼痛的疗效及耐受性差异无统计学意义,也有研究显示放疗联合双膦酸盐可提高治疗有效性。单次放疗后再放疗及病理性骨折发生率高于分次放疗。骨转移单次照射技术尤其适用于活动及搬动困难的晚期癌症患者。
②立体定向放疗:根据肿瘤部位,体积,累及病灶节段等一般给予24 Gy/1次,30~36 Gy/3次,40 Gy/5次等根治剂量。针对姑息治疗的患者,一般给予25~30 Gy/5次剂量等方式。
4)放射性核素内照射:放射性核素治疗对治疗多发骨转移癌具有确切疗效,但应严格掌握适应证。内照射仅考虑选择性应用于全身广泛性骨转移患者缓解骨痛症状,且99Tcm-MDP骨显像证实骨转移病灶处有浓聚的病例。89Sr是乳腺癌骨转移内照射放射治疗中最常用的核素药物,其体内代谢特点与钙相似,能够在病变骨富集且半衰期长于正常骨,具有应用优势。常用剂量为1.48 MBq/kg~2.22 MBq/kg。临床结果表明,低于 1.11 MBq/kg时缓解疼痛疗效明显减弱,过大剂量不但加重经济负担和不良反应,而且疗效并不随剂量的增加而提高。重复治疗间隔为3个月以上。放射性核素内照射的绝对禁忌证为妊娠或哺乳期患者。 同时,由于全身内照射带来的骨髓抑制,血细胞计数减少和肾小球滤过率降低的患者为相对禁忌证。由于骨髓抑制持续时间较长,对于有可能接受化疗的患者应合理计划。
3.9 手术治疗
外科手术治疗能够在最大程度上缓解肿瘤对周围神经血管的压迫症状,减轻癌痛,恢复肢体结构和运动系统功能。虽然对于全身疾病来讲,乳腺癌骨转移的手术往往是姑息性的,但很多情况下,如不对骨转移灶进行适当的外科干预,患者生存质量将受到明显影响。手术治疗的核心在于对具有潜在病理性骨折发生风险病灶的手术时机和手术方式进行有效判断,争取在骨折前、截瘫前进行处理,使患者免受不必要的痛苦。同时恢复骨机械结构和功能,提高生存质量。另一方面,手术可获得骨转移病灶的组织学诊断,便于疾病的进一步综合治疗。
乳腺癌骨转移诊治小结
乳腺癌骨转移的治疗是一个复杂的过程,应综合考虑肿瘤本身、患者机体状态以及现有治疗手段等多种因素。一、二线治疗方案的临床研究数据较多,但后线治疗方案因缺乏高水平的循证医学证据而仍存在一定的局限性。
在过去的几十年,乳腺癌辅助治疗发生了实质性的改变,使得乳腺癌骨转移患者的生存期显著延长,乳腺癌患者的治疗逐渐进入慢病管理模式,一些既往的治疗研究结果可能不适合目前的治疗情况。因此,乳腺癌骨转移的治疗最终依赖于“多学科协同,个体化方案”的方针。在设计外科治疗方案时应充分了解患者的分子分型和预后因素。另一方面,医务和科研工作者应致力于设计并推广高质量的临床试验,以寻求乳腺癌骨转移的最优治疗策略和最佳药物选择,最终达到优化治疗方案,延长生存时间,提高生存质量的目的。
实战演练一
病例信息
一般情况:患者,女性,46岁,已绝经。
病情简介:患者2005年因右乳肿胀不适行穿刺活检示浸润性癌,遂于2005年3月30日在外院行“右乳癌根治术”, 术后病理示:右乳浸润性导管癌,基底部血管内可见癌组织,淋巴结见5/9转移。 免疫组化:ER(-),PR(-), HER2(-), P53(+),Bcl(+/-)。诊断为:右乳浸润性导管癌,pT2N2M0,ⅢA期(三阴性)。 术后辅助治疗给予环磷酰胺+多柔比星+氟尿嘧啶(CAF)方案6周期(2005年4月~2005年9月),辅助放疗3次(具体不详)。患者定期复查,病情稳定。2017年9月咳嗽、气短,逐渐加重,来院诊治。
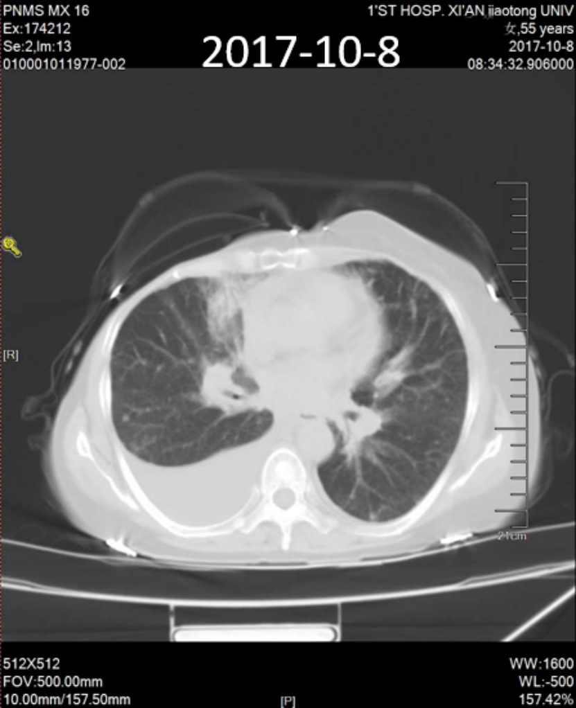
辅助检查:胸部CT(2017年10月8日)示:右乳术后,右上肺前段实变,右侧胸水(图1)。
图1:胸部CT(2017年10月8日)
全身骨显像(2017年10月19日)示:全身多发骨转移(图2)。

图2:全身骨显像(2017年10月19日)
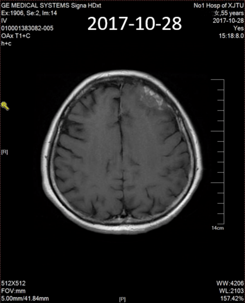
头颅CT(2017年10月28日)示:左额部颅板下不规则病灶,线状及环形强化,周围脑沟似见压迫征象,符合乳腺癌脑转移(图3)。

图3:头颅CT(2017年10月28日)
胸水细胞学检查示:胸水查见腺癌细胞,ER(强+), PR(-),ER2(-),Ki-67(5%),符合乳腺癌转移。
支气管镜活检病理示:支气管粘膜内极少量低分化癌组织浸润,ER(+80% 强), PR(-), HER2(2+),FISH未扩增 GATA3(+),Mammaglobin(+),TTF-1(-)。
临床诊断
1 . 右乳浸润性导管癌(rT2N2M1,IV期,Luminal B型);
2.肺转移;
3.多发骨转移;
4.脑转移;
5.右侧恶性胸腔积液。
治疗经过
原发灶抗癌治疗
一线治疗:无进展生存期(PFS)26个月
2017年10月25日~2018年2月22日,给予紫杉醇脂质体周疗×12+胸腔灌注×2+伽马刀立体定向治疗,疗效评价 部分缓解(PR)。2018年3月1日~2019年12月23日,给予氟维司群进行内分泌维持治疗,定期复查,病情稳定。
一线治疗PFS达到26个月,整体疗效评价PR(图4~7)。

图4:一线治疗期间胸部CT随访

图5:一线维持治疗期间随访胸部CT

图6:一线治疗期间随访颅脑CT

图7:一线维持治疗期间随访颅脑CT
病情演变:2019年12月18日,随访影像学显示肝脏转移病灶可能(图8)。

图8:一线治疗期间随访肝脏及肺部病情演变
二线治疗:PFS 4月余——靶向联合内分泌
2019年12月23日,行超声引导下肝穿刺,病理活检示浸润性腺癌。免疫组化:ER(+),PR(-),HER2(1+),GATA3(+),Mammaglobin(+)。
2019年12月23日~2020年5月7日,二线治疗给予靶向CDK4/6抑制剂+AI。
整体疗效评价 疾病进展(PD)。

图9:二线治疗期间随访肺部CT
图10:二线治疗期间随访颅脑CT
图11:二线治疗期间随访肝脏CT
病情演变:2020年5月患者出现发热,反复发作,最高38.5℃。
三线治疗:PFS 2个月——化疗联合靶向
2020年6月1日和2020年6月28日,分别给予贝伐珠单抗+白蛋白结合型紫杉醇治疗。
整体疗效评价 PD。
图12:三线治疗期间随访颅脑CT

图13:三线治疗期间随访肝脏及肺部CT
四线治疗:艾立布林
2020年7月23日~2020年10月16日,给予艾立布林(2 mg,d1,d8,q3w)×5周期抗乳腺癌治疗。
肺、肝脏转移病灶治疗2周期后部分缓解(PR),4周期后 SD。
图14:四线治疗期间随访肺部CT

图15:四线治疗期间随访肝脏CT
原发灶治疗整体疗效评价

图16:晚期阶段CA153水平变化曲线
骨转移灶治疗
地舒单抗功不可没
第一阶段:双膦酸盐类药物治疗,骨转移灶持续进展
患者自2017年抗肿瘤治疗起,即开始同期进行骨转移灶治疗,先后接受双膦酸盐类药物唑来膦酸(4 mg,q4w)、伊班膦酸钠(6 mg,q4w)治疗,2020年3月复查全身骨显像示:全身多发骨转移瘤,与2018-9片对比进展(图17)。2020年7月, 患者自诉下颌骨部疼痛加重。双膦酸盐类药物治疗期间NRS评分显著上升。

图17:2020年3月20日,全身骨显像
第二阶段:地舒单抗临危受命,为晚期乳腺癌骨转移保驾护航
患者于2020年8月起更换为地舒单抗(120mg,q4w)治疗骨转移病灶, 下颌骨部疼痛明显缓解。2020年10月16日复查胸腰椎及肋骨三维重建提示:与前片相比, 原多发溶骨性转移灶钙盐沉积,骨密度增加,出现成骨性改变(图18)。
图18:地舒单抗治疗后,骨CT显示钙盐沉积,成骨性改变,骨密度增加
疗效评价:
患者下颌骨疼痛明显缓解。碱性磷酸酶水平及NRS评分稳定下降,关键指标肌酐、血清钙均在正常范围内波动(图19~20)。
图19:NRS评分变化曲线

图20:关键指标变化曲线
(标准值:碱性磷酸酶50-135U/L;肌酐41-73umol/L;血清钙2.11-2.52mmol/L)
病例总结及点评
本例患者为55岁绝经后女性,治疗意愿强烈。2005年行“右乳癌根治术”,原发灶术后病理诊断为三阴性乳腺癌(TNBC),术后接受辅助治疗及放疗,无病生存期(DFS)达12年6个月。疾病进展后入院完善相关检查,示右乳癌伴肺、脑、骨多发转移,分子分型Luminal B,内分泌治疗敏感。
患者恶性胸腔积液、脑转移,考虑内脏危象,既往使用过蒽环类药物治疗,未使用紫杉类药物。一线抗癌治疗给予紫杉类药物,CA153水平显著下降,使用氟维司群进行维持治疗,CA153稳定处于低值水平,一线治疗PFS达26个月;患者疾病进展后,二线抗癌治疗给予靶向CDK4/6抑制剂联合内分泌治疗,PFS 4个月;三线治疗给予贝伐珠单抗+白蛋白结合型紫杉醇,疗效欠佳,CA153水平持续上升,PFS 2个月;四线治疗给予艾立布林,CA153水平稳定下降。
患者确诊骨转移后即开始双膦酸盐治疗,先后使用唑来膦酸及伊班膦酸钠,但骨病灶仍进展,并出现明显下颌骨疼痛,NRS评分显著升高。随后更换为地舒单抗治疗,疼痛明显缓解。影像学随访提示原多发溶骨性病灶出现钙盐沉积及骨密度增加,呈成骨性改变;碱性磷酸酶水平及NRS评分稳定下降,肌酐及血清钙始终维持在正常范围。
本例患者病程长、治疗依从性好,初始为TNBC,复发后转化为Luminal B型,提示肿瘤异质性及分子谱动态演变。治疗过程中,依据分子特征及耐药进展,逐步优化系统治疗方案,实现了较长的总生存期。
在骨转移管理中,早期应用骨改良药物有助于延缓SRE发生,但本例患者初始使用双膦酸盐,疗效有限;改用地舒单抗后影像学示成骨性改变,体现其在控制SRE、改善生活质量方面的优势。且患者主诉疼痛显著缓解。该病例提示,对于乳腺癌骨转移患者,应根据疾病进展及治疗反应动态调整抗肿瘤与骨靶向治疗策略,兼顾疗效与安全性,方能实现长期获益。
实战演练二
病例信息
患者女性,46岁。2012年4月行右乳腺癌改良根治术。免疫组化:ER(80%+),PR(90%+),HER-2(1+),Ki67(20%+)。术后诊断:右乳浸润性导管癌,pT1cN1M0,ⅡA期,组织学分级G2,Luminal B(HER2阴性)型。术后行EC-T方案化疗8周期,右侧胸壁、锁骨区放疗50Gy/25f后针对瘤床区推量10Gy/5f,并行他莫昔芬内分泌治疗。
出现首次骨转移: 2014年4月骨扫描T12胸椎体附近核素浓聚(图1);PET-CT提示T12胸椎体附近骨转移;双肺内多发低代谢小结节。复发转移阶段系统治疗情况如下。

末次随访时间2024年5月:患者病情稳定,无新进展,截止末次随访,患者骨改良药物治疗10年,其中地舒单抗治疗44个月,期间补充钙剂和维生素D,安全性良好,患者未发生低钙血症、颌骨坏死等相关并发症。




讨论
乳腺癌骨转移筛查时机
乳腺癌骨转移的发生时间多集中于确诊后的2-5年,中位时间为3年[2]。本病例中,患者在确诊乳腺癌后2年出现骨转移,正处于骨转移的高发阶段,提示在该时期应重视骨转移的筛查,以实现早发现、早治疗。
伴骨转移乳腺癌患者应全程使用骨改良药物
骨转移若不积极干预,易导致病理性骨折、脊髓压迫等SREs,严重影响患者生活质量,甚至危及生命。乳腺癌骨转移以多发、溶骨性病变为主,SREs发生风险较高。
根据ESMO骨健康指南[3],骨转移一经诊断,应立即启动骨保护治疗,并贯穿整个病程。一项回顾性观察队列研究显示,未使用骨改良药物的乳腺癌骨转移患者,3个月内发生SRE的风险可达30%[4]。骨改良药物的持续使用时间与患者获益密切相关。一项美国回顾性研究纳入28,385例实体瘤或多发性骨髓瘤骨转移患者,结果表明,随着骨改良药物用药时间延长,骨折发生率逐渐下降[5]。
本例患者在确诊骨转移后持续接受骨改良药物治疗,除初次诊断时出现SREs外,在近10年的随访期间未再发生新的SREs。
骨改良药物的选择与替换
该患者在骨转移二次进展时,在调整抗肿瘤治疗方案的同时,将骨改良药物由唑来膦酸更换为地舒单抗,影像学显示多发性溶骨病灶逐渐转变为成骨性改变,骨质修复良好。
地舒单抗为靶向RANK-RANKL信号通路的单克隆抗体,不仅作用于成熟破骨细胞,还可抑制其分化与成熟。一项比较地舒单抗与唑来膦酸治疗乳腺癌骨转移的Ⅲ期临床研究[6]显示,地舒单抗显著延长了首次SRE的发生时间(NR vs 26.4个月,HR 0.82,95%CI 0.71–0.95,P=0.01)。在基线无痛或轻度疼痛的患者中,地舒单抗组疼痛进展至中重度的中位时间延迟近4个月(9.7个月 vs 5.8个月;HR 0.78,95%CI 0.67–0.92,P=0.0024)。另有研究发现,双膦酸盐治疗期间出现SRE的患者,换用地舒单抗可显著降低再次发生SRE的风险(HR 0.47,95%CI 0.25–0.88,P=0.019)[7]。
骨病灶疗效评估中的“闪烁”现象
骨闪烁现象是指骨显像中,原有病灶在治疗后初期出现放射性摄取增高,随后逐渐减弱或消失的现象。在骨ECT检查中,成骨修复过程可能导致示踪剂摄取增加,表现为病灶浓聚范围扩大,但这并非疾病进展,而可能为修复反应,需结合其他影像及随访结果综合判断。本例患者末次随访骨ECT显示病灶浓聚范围增大,但同期CT提示病灶稳定,考虑可能为成骨修复相关的闪烁现象,需继续随访观察。
骨改良药物长期使用的安全性管理
随着晚期乳腺癌患者生存期延长,骨改良药物的长期安全性备受关注。目前关于骨改良药物使用超过2年的高级别证据有限,主要因既往研究中患者生存期普遍较短。长期用药需重点关注药物性颌骨坏死(ONJ)的风险。
一项地舒单抗关键Ⅲ期研究的汇总分析(n=5723)显示,ONJ发生率随用药时间延长有所上升,但总体较低(0–36个月为1.8%)[8]。值得注意的是,研究中93%的ONJ患者存在拔牙史、口腔卫生不良或使用牙科器具等危险因素,其中拔牙史占49%。因此,加强患者口腔健康管理与教育,可有效降低ONJ发生风险。
本例患者在治疗期间定期接受口腔科检查,避免拔牙等有创操作,使用骨改良药物长达10年,未发生严重不良事件。
病例点评
晚期乳腺癌骨转移发生率高,早期诊断与治疗可显著降低SRE风险,改善生活质量。骨改良药物是骨转移综合治疗的重要组成部分,确诊后应尽早启用并长期维持。
骨转移的治疗以抗肿瘤联合骨改良药物为基础,结合患者具体情况制定局部治疗策略。骨转移灶的疗效评估较为复杂,需综合临床症状、ECT、CT、PET-CT等多种手段,注意识别“闪烁”现象及假性进展。治疗过程中应动态评估,根据疗效和患者状况个体化调整抗肿瘤方案及骨改良药物,必要时联合局部治疗。
随着晚期乳腺癌患者生存期不断延长,长期使用骨改良药物的获益远大于其安全性风险。临床中应加强安全性监测与管理,常规补充钙剂与维生素D,定期监测血钙水平。ONJ作为最受关注的不良反应,发生率低且危险因素明确,重在预防。建议用药前进行口腔评估,治疗期间保持口腔卫生,避免有创口腔操作,总体安全性可控。
[1] 中国抗癌协会骨肿瘤和骨转移瘤专业委员会. 乳腺癌骨转移临床诊疗专家共识[J]. 中国肿瘤临床, 2022, 49(13): 660-669. DOI: 10.12354/j.issn.1000-8179.2022.20211783
[2] Nie, Huangchengyu, et al. Occurrence and distribution of bone metastases in 984 metastatic breast cancer patients.Transl Breast Cancer Res 2021;2:4
[3] Coleman, R, et al. & ESMO Guidelines Committee. Electronic address: clinicalguidelines@esmo.org (2020). Bone health in cancer: ESMO Clinical Practice Guidelines. Annals of oncology : official journal of the European Society for Medical Oncology, 31(12), 1650–1663.
[4] Bhowmik D, et al. Examination of burden of skeletal-related events in patients naive to denosumab and intravenous bisphosphonate therapy in bone metastases from solid tumors population[J]. Current medical research and opinion, 2019(3):35.
[5] Henk H , Teitelbaum A , Kaura S .Evaluation of the clinical benefit of long-term (beyond 2 years) treatment of skeletal-related events in advanced cancers with zoledronic acid[J].Current Medical Research and Opinion, 2012, 28(7):1119-1127.
[6] Stopeck AT, Lipton A, Body JJ,et al. Denosumab compared with zoledronic acid for the treatment of bone metastases in patients with advanced breast cancer: a randomized, double-blind study. J Clin Oncol. 2010 Dec 10;28(35):5132-9.
[7] Mjelstad A, Zakariasson G, Valachis A. Optimizing antiresorptive treatment in patients with bone metastases: time to initiation, switching strategies, and treatment duration. Support Care Cancer. 2019 Oct;27(10):3859-3867.
[8] Dansey R .Incidence, risk factors, and outcomes of osteonecrosis of the jaw: integrated analysis from three blinded active-controlled phase III trials in cancer patients with bone metastases[J].Annals of Oncology, 2012, 23(5):1341-1347.
排版编辑:肿瘤资讯-zly






苏公网安备32059002004080号