您好,欢迎您

胃来说㊷丨HER2阳性PD-L1阴性晚期胃癌患者一线治疗失败,维迪西妥单抗联合方案力挽狂澜,PFS超20个月

2025年10月21日
整理:肿瘤资讯
来源:肿瘤资讯

对于HER2阳性晚期胃癌患者,以曲妥珠单抗为基石的联合化疗是一线标准治疗方案。然而,一线治疗失败后,患者往往面临预后差、治疗选择有限的困境。随着医学研究的不断深入,新的治疗策略不仅为患者提供了更多的选择,也为临床医生带来了新的希望。本期,哈尔滨医科大学附属肿瘤医院魏孝礼教授分享1例HER2阳性、PD-L1阴性晚期胃癌病例。该患者在一线含曲妥珠单抗的化疗联合免疫治疗后疾病快速进展,二线治疗予以维迪西妥单抗为核心的联合免疫治疗后,肿瘤明显缩小,实现了深入且长效的缓解,为该类型患者的治疗提供了新的参考。【肿瘤资讯】将病例诊疗过程整理如下,并特邀哈尔滨医科大学附属肿瘤医院李志伟教授对病例进行点评,以飨读者。

病例介绍

专家介绍

魏孝礼
副主任医师 副教授

哈尔滨医科大学附属肿瘤医院肿瘤内二科
副主任医师 副教授
中国老年保健协会医学药学发展与评价专业委员会常务委员
中国老年保健协会胃肠肿瘤专业委员会委员
黑龙江省化疗委员会委员
参与多项临床试验项目主要研究方向,胃癌、结直肠癌、胆系肿瘤、胰腺癌,食管癌等消化系统肿瘤

基本情况

患者女,75岁。

主诉因“上腹部不适20天”于2023年6月入院。

现病史:2023年6月患者因上腹部不适于外院就诊,腹部增强CT提示肝多发占位,考虑转移瘤,请结合临床病史;胃壁不规则增厚,提示胃癌可能;胃小弯区多发淋巴结肿大,考虑淋巴结转移。

既往史:糖尿病史20年,口服药物控制良好。

个人史:无烟酒史。

体能状态:ECOG评分 1分。

辅助检查

实验室检查:肿瘤标志物明显升高,CEA 9.93 ng/mL,AFP 44.3 ng/mL,CA19-9 958.7 U/mL,CA72-4 13.3 U/mL。

胃镜检查:胃体嵴根部可见巨大不规则隆起,表面苔污秽。

肝脏穿刺活检病理:低分化腺癌肝转移。

免疫组化:HER2 (2+),C-MET (2+),EGFR(2+),PD-L1 (CPS=阴性),Ki-67 (+, 90%)。
FISH检测:HER2基因扩增阳性。

CT检查(2023年6月27日):胃壁改变,腹腔多发增大淋巴结,肝脏多发转移瘤(图1)。

图1. 基线CT检查(2023年6月27日)

初步诊断

胃腺癌(cT3N+M1,IVB期)

肝多发转移、腹腔淋巴结转移

诊疗经过

一线治疗

患者于2023年6月27日至2023年8月10日予以“曲妥珠单抗+XELOX”方案治疗2周期。

2023年8月10日复查CT示肝脏靶病灶增大至48.77mm(图2)。

疗效评价为疾病稳定(SD),但有进展趋势。

图2. 腹部CT检查(左:2023年6月27日,右:2023年8月10日)

2023年8月11日至2023年9月25日予以“曲妥珠单抗+PD-1抑制剂+XELOX”方案治疗2周期。

2023年9月26日复查CT示肝脏靶病灶进一步增大至52.09mm(图3)。

疗效评价为疾病进展(PD)。

图3. 腹部CT检查(左:2023年6月27日;右:2023年9月26日)

二线治疗

患者于2023年9月29日至今予以“维迪西妥单抗+PD-1抑制剂”治疗。

2023年11月10日复查CT示肝脏靶病灶缩小至38.15mm,评价为部分缓解(PR)。

治疗期间定期复查CT示肝脏靶病灶持续缩小。

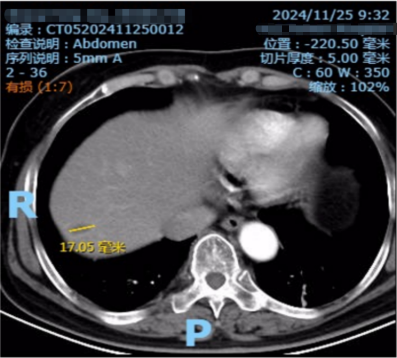
2024年11月25日复查,CT示肝脏靶病灶缩小至17.05mm(图4),肿瘤标志物也呈持续下降趋势。

图4. 腹部CT检查(2024年11月25日)

病例总结

本例为一名75岁、HER2阳性晚期胃癌患者,在一线含曲妥珠单抗的标准治疗联合免疫治疗后仍出现进展。二线治疗改用“维迪西妥单抗+PD-1抑制剂”的联合方案后,获得了快速、深度且持久的肿瘤缓解,截至目前,二线治疗的无进展生存期(PFS)已超过20个月,且仍在持续获益中,生活质量良好。

病例点评

专家介绍

李志伟
主任医师、教授、博士生导师

哈医大肿瘤医院 消化内一科主任
主任医师、教授、博士生导师
美国M.D Anderson 癌症中心博士后
中国医药教育协会肿瘤精准诊疗专委会副主委
中国抗癌协会肿瘤消融治疗专委会常委
中国抗癌协会食管、肝脏肿瘤整合康复专委会常委
CSCO胰腺癌专家委员会委员
中国医师协会外科医师分会多学科治疗专委会委员
黑龙江省抗癌协会化疗专委会主任委员
黑龙江省医师协会消化道肿瘤MDT专委会主任委员

胃癌作为一种恶性程度较高的消化道肿瘤,其治疗策略的制定往往需要综合考虑患者的病理类型、分子特征、身体状况等多方面因素。尽管手术是其主要治疗手段之一,但在我国,约有90%的患者初诊时已是进展期甚至晚期,药物治疗是其主要治疗手段[1]。在胃癌和食管胃连接部癌患者中,超过20%存在HER2扩增或过表达[2]。ToGA研究[3]首次证实抗HER2治疗联合化疗可显著改善HER2阳性晚期胃癌患者的预后,曲妥珠单抗联合化疗由此成为HER2阳性患者的标准一线治疗方案。当HER2阳性患者一线治疗方案失效后,如何选择有效的二线治疗方案成为临床医生关注的重点。

随着新的药物研发和治疗理念的出现,为这部分患者带来了治疗希望。维迪西妥单抗作为一种新型抗体偶联药物(ADC),凭借其强大的“旁路杀伤效应”,对低表达的肿瘤细胞效果仍旧较好。在临床前研究中,维迪西妥单抗对HER2表达肿瘤即表现出强大的治疗作用。基于关键研究RC48-C008研究[4]结果,维迪西妥单抗于2021年6月获国家药品监督管理局(NMPA)批准用于至少接受过2种系统化疗的HER2过表达局部晚期或转移性胃癌患者。

今年美国临床肿瘤学会(ASCO)年会上沈琳教授以快速口头报告的形式重磅公布了一项维迪西妥单抗联合特瑞普利单抗及化疗/曲妥珠单抗一线治疗HER2表达的局部晚期或转移性胃癌的研究数据(摘要号:LBA4012)[5]。该研究覆盖了HER2高中低表达的患者,相比对照组标准治疗,显著改善了一线晚期胃癌的疗效。其中在HER2高表达或阳性人群中,维迪西妥联合PD-1抑制剂和曲妥珠单抗,客观缓解率(ORR)可达到82.4%。经过中位13.2个月随访,中位PFS尚未成熟。在HER2中/低表达人群中,维迪西妥单抗联合PD-1抑制剂和化疗与PD-1抑制剂联合化疗相比,同样显示出显著疗效,安全性可控。这项研究不仅为HER2阳性胃癌患者提供了新的治疗选择,也为HER2中/低表达的患者群体带来了希望。同时也为未来胃癌治疗策略的开发提供了新的方向,尤其是在探索新的ADC药物和联合疗法作为一线治疗的可能性。

该病例中患者为HER2阳性晚期胃癌,在一线治疗失败后,二线采用了维迪西妥单抗联合免疫治疗的方案,取得了明显的疗效。这一结果不仅验证了维迪西妥单抗在HER2阳性患者中的治疗潜力,也为临床医生提供了重要的参考依据。患者在治疗过程中耐受性良好,未出现严重的不良反应,进一步凸显了该方案的安全性与可行性。未来,随着更多相关研究数据的积累,维迪西妥单抗的应用前景将更加广阔,有望成为HER2阳性晚期胃癌治疗的重要选择之一,为更多晚期胃癌患者带来长期生存的希望。

参考文献

[1] 钱焱,蔡世荣. 胃癌免疫治疗和靶向治疗的进展与挑战(2023-2024年)[J]. 消化肿瘤杂志(电子版),2024,16(3):272-283.
[2] Van Cutsem E, Bang YJ, Feng-Yi F, et al.HER2 screening data from ToGA: targeting HER2 in gastric and gastroesophageal junction cancer. Gastric Cancer. 2015 Jul;18(3):476-84.
[3] Bang YJ, Van Cutsem E, Feyereislova A, et al. Trastuzumab in combination with chemotherapy versus chemotherapy alone for treatment of HER2-positive advanced gastric or gastro-oesophageal junction cancer (ToGA): a phase 3, open-label, randomised controlled trial. Lancet. 2010;376(9742):687-97.
[4] Peng Z, Liu T, Wei J, et al. Efficacy and safety of a novel anti-HER-2 therapeutic antibody RC48 in patients with HER-2-overexpressing, locally advanced or metastatic gastric or gastroesophageal junction cancer: a single-arm phase II study. Cancer Commun (Lond). 2021;41(11):1173-1182.
[5] Shen L, Peng Z, Li ZC, et al. Disitamab vedotin (DV) plus toripalimab (Tor) and chemotherapy (C)/trastuzumab (Tra) as first-line (1L) treatment of patients (pts) with HER2-expressing locally advanced or metastatic (la/m) gastric cancer.2025 ASCO, Abstr LBA4012.

责任编辑:肿瘤资讯-古木
排版编辑:肿瘤资讯-Julia
版权声明
版权归肿瘤资讯所有。欢迎个人转发分享,其他任何媒体、网站如需转载或引用本网版权所有内容,须获得授权,且在醒目位置处注明“转自:良医汇-肿瘤医生APP”。