您好,欢迎您

胃来说㊶-维迪西妥单抗联合方案新辅助治疗,助力HER2阳性Borrmann Ⅲ型胃癌实现pCR

2025年10月17日
整理:肿瘤资讯
来源:肿瘤资讯

对于局部进展期胃癌,尤其是体积较大的浸润性癌(如大Borrmann Ⅲ型),因其侵袭性强、手术切除难度大、预后差,一直是临床治疗的难点。如何通过有效的新辅助治疗,为患者创造根治性手术机会并改善预后,是当前重要的探索方向。本期,四川省肿瘤医院胃外科赵法之教授分享1例HER2(3+)的大Borrmann Ⅲ型胃癌病例。该患者采用以维迪西妥单抗为核心,联合免疫检查点抑制剂和化疗的创新方案进行新辅助治疗,肿瘤显著缩小,最终成功接受根治性手术,术后病理证实达到病理学完全缓解(pCR),为该类患者的治疗提供了重要的临床启示。本文将病例诊疗过程整理如下,并特邀四川省肿瘤医院胃外科丁志教授对病例进行点评,以飨读者。

病例介绍

专家介绍

赵法之
医学博士

四川省癌症防治中心 医学博士
四川省抗癌协会腹膜肿瘤专委会 委员
成都市抗癌协会MDT专委会 委员
四川省国际医促会消化道肿瘤专委会 委员
《中国普通外科杂志》青年编委
2015年毕业于四川大学华西临床医学院
2016至今,四川省肿瘤医院从事胃肿瘤诊断及治疗
以第一作者发表SCI及中文核心期刊多篇
课题负责人完成四川省卫健委课题一项
参与卫生部、四川省科技厅课题多项

一般资料

患者:男,58岁。

主诉: 黑便2月。

 既往史/家族史:无特殊。

辅助检查

胃镜检查:胃体上部距贲门可见巨大浸润型新生物。活检病理提示腺癌;免疫组化:

CerbB-2-Roche(3+)、MLH1(+)、MSH2(+)、MSH6(+)、PMS2(+)、Claudin18.2(0)、TROP2(Hscore=200-300;3+)。PD-L1 (CPS=2)。

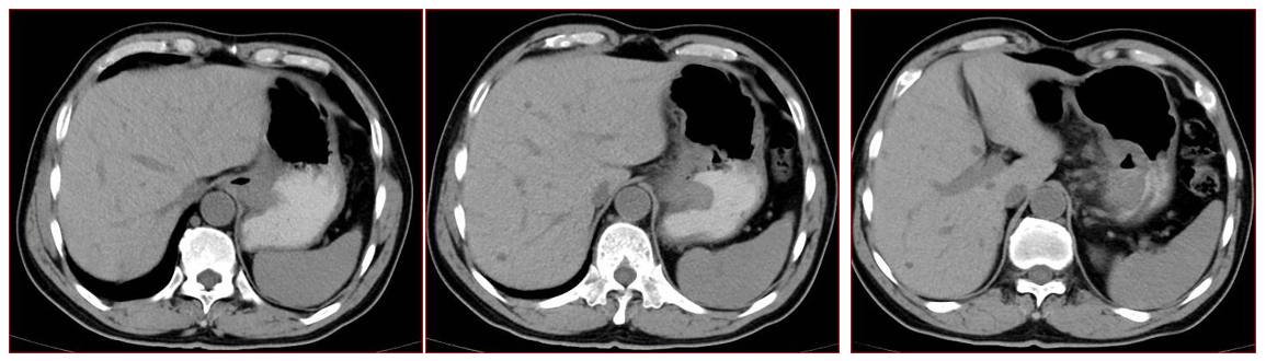
腹部CT:胃体上部小弯侧可见不规则增厚,回声减低、上下范围约7.4cm,可探及范围2.9*1.6cm凹陷面,表面可见斑点状强回声附着,局部浆膜层回声中断。胃周可见多个肿大淋巴结,较大者约0.7cm(图1)。

腹腔镜探查(2024年12月10日):术中发现肿瘤位于胃体小弯侧-贲门,明显侵犯浆膜,向后侵及胃胰皱襞,第3、7组淋巴结肿大,大小约1.5cm*1.0cm。

17.3.png图1. 腹部CT检查(基线)

初步诊断:

1. 贲门-胃体腺癌 (cT4aN2M0, Ⅲ期,Borrmann Ⅲ型)
2. 分子分型:HER2 (3+),pMMR/MSS,PD-L1 (CPS=2)

治疗经过

新辅助治疗:

经MDT讨论,患者临床分期为cT4aN2M0 Ⅲ期(Borrmann Ⅲ型),直接手术难度大,建议行新辅助治疗。于2025年5月起予以“维迪西妥单抗+信迪利单抗+替吉奥”方案治疗3周期。

随后复查,胃镜检查提示贲门-胃体Ca治疗后局部溃疡改变;腹部CT提示胃壁增厚及胃周淋巴结均较前明显缩小。

手术治疗:

患者于2025年8月18日,在全麻下行“腹腔镜辅助贲门癌根治、近侧胃切除术”。术中见肿瘤外侵不明显,3组肿大淋巴结较前缩小。

术后病理提示,肿瘤大小约3cm * 2cm * 1.8cm,呈溃疡型。镜下见纤维组织增生伴黏样变性,淋巴细胞浸润,未见确切浸润性癌成分残留,符合治疗后改变;巴结转移情况:共检出30枚淋巴结,均未见癌转移(0/30),其中1枚淋巴结可见治疗反应。

肿瘤退缩分级(TRG):0级(完全退缩)。

术后病理分期:ypT0N0Mx。

病例总结

该58岁男性患者,初诊为不可切除的局部晚期大Borrmann Ⅲ型胃癌,但其HER2表达状态为阳性(3+)。经过以维迪西妥单抗为核心,联合免疫与化疗的3周期新辅助治疗后,获得了显著的影像学PR。后续的根治性手术证实其达到了pCR,即原发灶及区域淋巴结中的肿瘤细胞均完全消失。本病例的成功,充分展示了对于HER2阳性的局部晚期胃癌患者,以维迪西妥单抗为基石的联合治疗方案在新辅助治疗中具有强大的肿瘤退缩效力,能够为患者实现肿瘤降期,创造根治机会,并有望带来长期生存的希望。

专家点评

专家介绍

丁志
主任医师

电子科技大学附属肿瘤医院,四川省肿瘤医院胃外科,主任医师,教授
中国抗癌协会肿瘤营养专业肿瘤外科营养专家协作组委员
中国医疗保健国际交流促进会外科康复促进学分会委员
四川省抗癌协会胃肠间质瘤专委会副主任委员
四川省医学传播协会肿瘤免疫与营养专委会副主委
四川省医学会肠内肠外营养专业委员会常委
四川省抗癌协会肿瘤支持及全程管理专委会常委
四川省医促会消化道肿瘤专委会常委
四川省抗癌协会胃胰专委会委员
四川省预防医学会肿瘤营养与防治分会委员
四川省医师协会小儿外科专委会委员
成都市抗癌协会胃癌专委会常委
专长:胃癌手术治疗(微创及开腹),胃癌围手术期综合治疗 ,胃肠道间质瘤综合治疗,外科营养支持

胃癌,尤其是体积巨大、侵袭性强的Borrmann Ⅲ/Ⅳ型胃癌,一直是临床上的棘手难题。传统的新辅助化疗方案对此类患者的有效率有限,pCR率通常不高,难以显著改善其预后。近年来,靶向治疗和免疫治疗的加入为围手术期治疗带来了新的突破。

随着分子生物学的发展和精准医疗理念的推广,抗体偶联药物(ADC)的出现和发展为这部分胃癌患者带来了新的希望和机遇。维迪西妥单抗是一种新型抗HER2 ADC药物,凭借其强大的“旁路杀伤效应”,对低表达的肿瘤细胞效果仍旧较好。在临床前研究中,维迪西妥单抗对HER2表达肿瘤即表现出强大的治疗作用。基于关键研究RC48-C008研究结果,维迪西妥单抗于2021年6月获国家药品监督管理局(NMPA)批准用于至少接受过2种系统化疗的HER2过表达局部晚期或转移性胃癌患者。

在胃癌治疗领域,针对维迪西妥单抗的研究探索工作正在不断深入开展。其中在2025年美国临床肿瘤学会(ASCO)年会上,一项维迪西妥单抗联合卡瑞利珠单抗和替吉奥对HER2过表达局部晚期胃癌新辅助治疗的疗效和安全性的研究数据显示,维迪西妥单抗联合方案新辅助治疗的客观缓解率(ORR)为80.0%(24/30),其中6例(25%)达到pCR(ypT0N0M0)。R0切除率为100%。中位无病生存期(DFS)和总生存期(OS)尚未达到。该研究进一步证实了维迪西妥单抗在新辅助治疗中的潜力,为临床实践提供了重要参考。

本例患者的成功诊治,为我们提供了几点重要启示。首先,精准分型是高效治疗的前提。该患者明确为HER2阳性(3+),这为选择抗HER2 ADC药物——维迪西妥单抗提供了坚实的理论依据。维迪西妥单抗不仅能精准靶向HER2阳性细胞,其独特的“旁观者效应”还能杀伤周围的HER2阴性或低表达的肿瘤细胞,对于具有异质性的实体瘤尤其有效。

其次,ADC、免疫、化疗三者的联合显示出强大的协同增效作用。ADC药物在杀伤肿瘤细胞的同时,可能诱导免疫原性细胞死亡,释放肿瘤抗原,从而增强免疫检查点抑制剂(信迪利单抗)的疗效。化疗药物(替吉奥)的加入,则可以进一步杀灭快速增殖的癌细胞,形成多维度、多机制的抗肿瘤合力。

最终,该患者在短短3个周期的治疗后,从一个临床上的初始不可切除局部晚期胃癌转化为可根治性切除,并最终获得pCR的完美结局,这一结果有力地证明了“维迪西妥单抗+免疫+化疗”模式在HER2阳性晚期胃癌新辅助治疗中的巨大潜力。未来,需要更多临床研究来进一步验证该方案的疗效与安全性,探索最优的治疗周期与药物组合,从而有望改写这类难治性胃癌的治疗格局,为更多患者带来治愈的希望。

责任编辑:肿瘤资讯-古木
排版编辑:肿瘤资讯-zly
版权声明
版权归肿瘤资讯所有。欢迎个人转发分享,其他任何媒体、网站如需转载或引用本网版权所有内容,须获得授权,且在醒目位置处注明“转自:良医汇-肿瘤医生APP”。