您好,欢迎您

因人制“节”,长治久安,口服长春瑞滨软胶囊节拍化疗为晚期肺鳞癌患者带来超15个月的PFS

2025年10月22日
整理:肿瘤资讯
来源:肿瘤资讯

化疗是肺鳞癌综合治疗的重要手段之一。与传统“最大耐受剂量”策略不同,节拍化疗(MCT)以低剂量、高频次、无间歇的方式持续给药,既可持续抑制肿瘤血管生成,又能调节免疫微环境,实现“细水长流”式的长期控制,毒副反应显著降低,为高龄、多线治疗患者提供了安全、可及的新选择。本次病例聚焦于一位老年晚期肺鳞癌患者。该患者一线含铂双药化疗获部分缓解(PR)的良好疗效,无进展生存期(PFS1)约12个月;二线改用口服长春瑞滨软胶囊节拍化疗,疗效维持PR,截止2025年7月,患者已坚持治疗15个月,且一般情况良好,居家即可完成治疗,真正实现了“疗效与生活质量”双达标。

特邀嘉宾

病例分享专家

蔚晓勇
主治医师

蔚晓勇,安阳市肿瘤医院呼吸与危重症医学科
男,硕士研究生,主治医师
专注于肿瘤内科治疗,擅长胸部肿瘤的化疗、靶向治疗及生物免疫治疗等综合治疗及感染性、放射性、免疫性等相关肺炎
肺癌青委会会员

病例点评专家

王丽华
副主任医师

安阳市肿瘤医院呼吸与危重症医学科副主任医师
国际肺癌研究协会(IASLC)会员
河南省呼吸与危重症学会肺癌分会常务委员
河南省肿瘤药物临床专业委员会委员
河南省老年肿瘤专业委员会委员

病例介绍

患者男性,初诊年龄60岁,主诉“胸闷伴咳嗽、气短1月”。

现病史:2023年2月,患者因“胸闷伴咳嗽、气短1月”来诊。查体:左肺叩诊浊音,呼吸音消失。PS=1分。

既往史:2017年诊断鼻咽癌伴颈部淋巴结转移行GP方案化疗(吉西他滨+顺铂)同步放疗。

个人史及家族史:否认吸烟史。家族史无特殊。

辅助检查

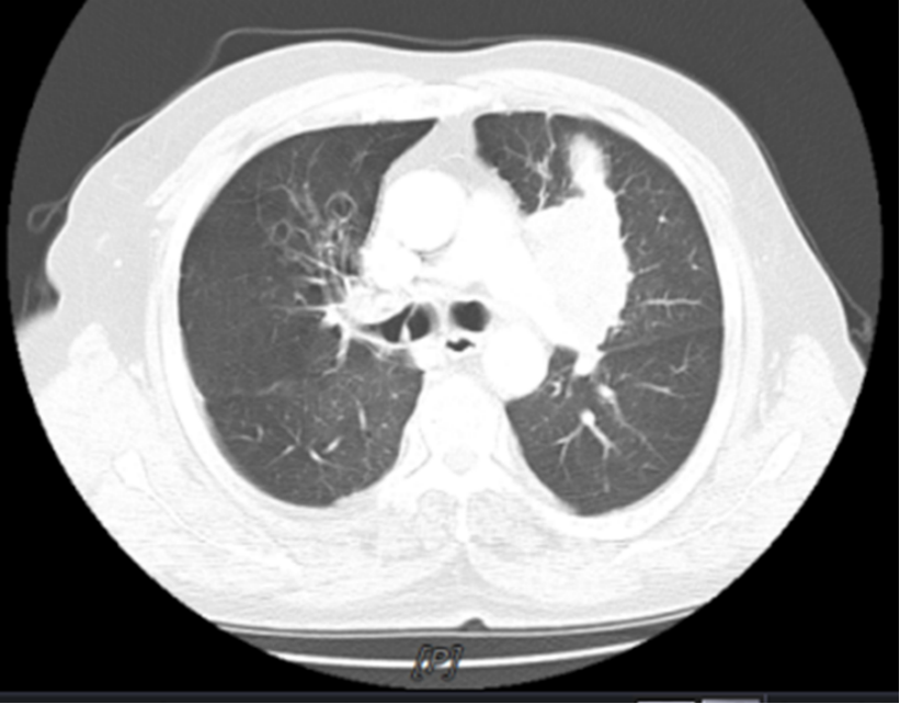
2023-02-10 胸部CT(图1):1.考虑左肺癌,肝、纵隔及左肺门淋巴结转移,左上肺动脉受侵,左肺上叶阻塞性肺炎。2.右肺上叶支气管扩张。

14.6.png

图1 CT(2023-02-10)

2023-02-10 头颅MR:双侧额顶叶可见斑点状异常信号,T1WI等/低信号,水抑制序列及T2WI呈稍高信号,余脑实质未见异常信号。脑室系统无明显扩大,脑沟裂无增宽,中线结构居中。幕下小脑、脑干未见明显异常。诊断:脑白质病变(Fazekas 1级)。

2023-08-11 骨扫描(图2):未见异常。

14.7.png

图2 骨扫描(2023-08-11)

2023-02-14 左肺活检病理(图3):(左肺肿物穿刺,活检)浸润性癌。待免疫组化进一步分型。二次报告:(左肺肿物穿刺,活检)鳞状细胞癌。免疫组化标记肿瘤细胞显示:CK7(-)、TTF-1(-)、P40(+)、CK5/6(+)、P63(+)、P16(-)、Ki-67(+,80%)、PD-L1(SP263)(TPS=70%)、PD-L1(SP263)阳性对照(+)、PD-L1(SP263)阴性对照(-)。

14.8.png

图3 病理检查报告(2023-02-14)

临床诊断:左肺鳞癌(cT4N3M1b ⅣA期, PS 1分),肝脏转移(待查)

治疗过程

一线治疗

2023年2月-2023年6月,行6周期的“白蛋白紫杉醇+顺铂”治疗。

疗效评估PR后定期复查病情稳定。

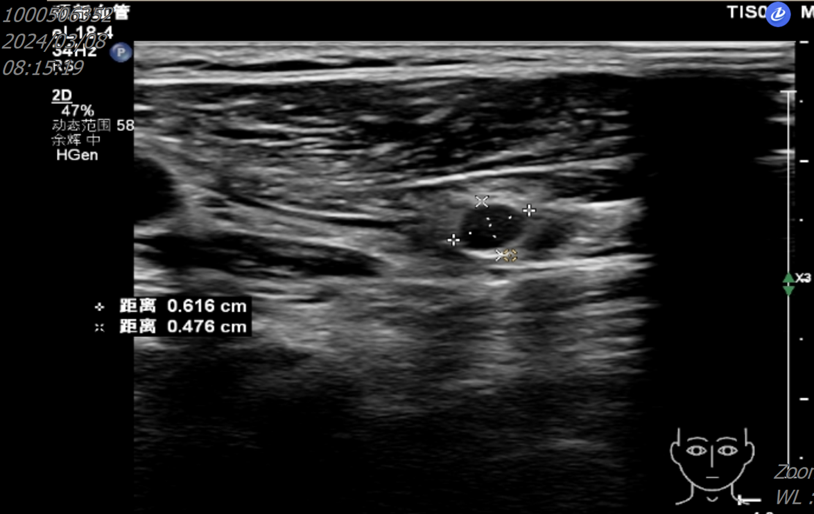
2024年3月8日,患者复查发现锁骨上淋巴结转移进展(图4)。KPS评分:70分,患者拒绝静脉化疗,因经济原因未使用免疫治疗。

14.9.png

图4 颈部淋巴结超声(2024-03-08)

疗效评估:PD。

PFS1:12个月。

二线治疗:
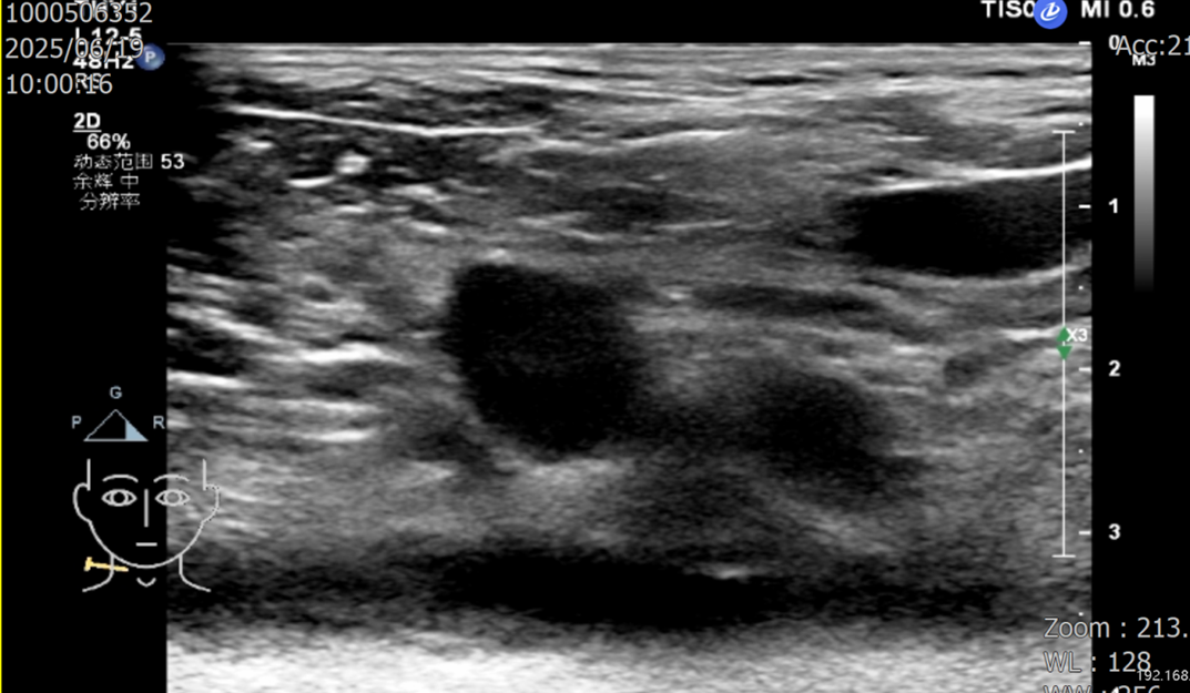
2024年4月至2025年7月,开始口服“长春瑞滨软胶囊 80mg D1/D8/D15,Q21D”。治疗期间复查胸部CT示,病灶较前明显缩小;颈部淋巴结超声示,颈部淋巴结较前缩小(图5);肿瘤指标下降。

14.10.png

图5 颈部超声(2025-06-19)

至2025年7月,患者已坚持治疗15个月,疗效评估:持续PR。

治疗期间疗效评估:

胸部CT:

14.11.png

肿瘤指标:

专家点评

王丽华教授:本病例为一位初诊60岁男性患者,因“胸闷伴咳嗽、气短1月”就诊。病情进展后,患者因个人原因拒绝接受免疫治疗及传统静脉化疗,临床可选治疗方案极为有限。在此情况下,二线采用长春瑞滨节拍化疗,不仅耐受性良好,且实现了持续PR,为临床提供了切实可行、个体化、且有效的治疗策略。

诊断方面,患者查胸部CT提示肺部病变,头颅MR、骨扫描排除头颅、骨转移;左肺穿刺活检明确为鳞状细胞癌,基因检测阴性,最终确诊为晚期左肺鳞癌(cT4N3M1b),肝转移可能。

治疗方面,对于Ⅳ期无驱动基因、鳞癌患者,指南推荐[1],一线采用含顺铂或卡铂双药方案。但如何优化疗效,降低毒副反应,预防脑转移等问题仍是晚期NSCLC患者亟待解决的问题。节拍化疗作为多靶点新型化疗方案,重新定义了化疗的给药模式,平衡疗效与毒性,为肿瘤慢病化管理提供了重要策略。不同于传统化疗追求最大耐受剂量(MTD),节拍化疗通过“低剂量、高频率、持续给药”,使药物长期维持低而有效的浓度范围,保障疗效的同时不会引起过多的不良反应。研究发现节拍化疗具有三重抗肿瘤机制:1.抗血管生成方面,抑制肿瘤内皮细胞增殖、减少血管分化潜能、阻断循环内皮细胞(CEC)和内皮祖细胞(EPC)迁移,增加肿瘤灌注,使血管正常化;2.免疫方面,促进抗原提呈及树突细胞(DC)成熟,消耗Treg细胞,调节MDSC,增强免疫应答;3.直接抗肿瘤方面,减少肿瘤干细胞,抑制HIF-1α,调节克隆进化,延缓耐药性[2-4]。长春瑞滨软胶囊凭借其独特的抗肿瘤机制、良好的安全性和便捷的给药方式,成为节拍化疗的理想药物选择[5]

前瞻性Ⅱ期临床研究——Tempo-Lung研究随机对比了口服长春瑞滨软胶囊节拍化疗 vs 口服长春瑞滨软胶囊标准给药方式用于不适合含铂化疗方案的晚期NSCLC一线治疗的疗效与安全性。研究结果显示[6],口服长春瑞滨软胶囊节拍化疗显著延长中位无4级毒性PFS(G4PFS)达4个月,标准给药组为2.2个月(HR=0.63,95%CI:0.45~0.88,P=0.0068),两组疾病控制率(DCR)分别为63.9%和63.4%,3~4级治疗相关不良事件发生率分别为25.3% vs 54.4%,提示口服长春瑞滨软胶囊节拍化疗可以作为不适合含铂化疗的晚期NSCLC患者有效且安全的一线治疗选择。CAMERINIA等研究回顾性分析了270例Ⅲ-Ⅳ期NSCLC患者口服长春瑞滨单药节拍化疗一线、二线、三线的治疗疗效,总体缓解率达17.8%,其中46例患者达到PR,病情稳定超过12周的患者有119例,总体DCR达61.9%,中位OS为9个月,仅2%的患者发生3-4级不良反应,主要为疲劳和贫血[7]。MOVE研究亦显示,口服长春瑞滨软胶囊节拍化疗一线治疗的总体临床获益率(CBR)达58.1%,中位PFS为5个月,中位OS为9个月,且安全性良好,严重毒性反应罕见[8],为口服长春瑞滨软胶囊节拍化疗在老年晚期NSCLC患者中的应用提供了循证依据。

此外,口服剂型服用方便,能够避免静脉导管炎等静脉用药风险,减少住院频次,降低患者患病主观感受及对日常生活的干扰,不仅可以改善患者的生活质量,提高患者用药依从性高,成为更多晚期患者的优先选择[5,7,9],而且有助于节约社会医疗资源。基于上述证据并尊重患者意愿,本例患者二线采用口服长春瑞滨软胶囊节拍化疗,疗效评估为PR。截至2025年7月,患者已连续用药15个月,无明显不良反应,持续PR,初步实现晚期肺癌的长期慢病化管理。

参考文献

[1]2024 CSCO指南
[2]Cazzaniga ME,Camerini A,Addeo R,et al.Metronomic oral vinorelbine in advanced breast cancer and non-small-cell lung cancer:current status and future development[J].Future Oncol,2016,12(3):373-87.
[3]Bocci G,Francia G.Metronomic chemotherapy:pharmacology and clinical applications [M].Berlin Heidelberg:Springer-Verlag,2014:263-279.
[4]刘花,陈延绅,尤慧柠,等.长春瑞滨节拍化疗的药动学及药理学作用机制研究进展[J].中国临床药学杂志,2022,31(01):71-76.DOI:10.19577/j.1007-4406.2022.01.016.
[5]祝情情,谢超,宋宝,等.节拍化疗在晚期非小细胞肺癌治疗中的应用[J].国际肿瘤学杂志, 2019, 46(6):4.DOI:10.3760/cma.j.issn.1673-422X.2019.06.013.
[6] Camerini A,Morabito A,Montanino A,et al.Final results of randomized phase Ⅱ trial of metronomic vs weekly oral vinorelbine (OV) as first-line chemotherapy(CT) in advanced NSCLC patients unfit to platinum-based CT(P-CT):Tempo-Lung(EudraCT Number:2014-003859-61)[EB/OL].ESMO 2019,abstract 1569P.
[7]李易泽,张立,杨宏平,等.长春瑞滨节拍化疗在晚期非小细胞肺癌患者中的应用[J].现代肿瘤医学,2022,30(18):3400-3403.
[8]Andrea Camerini , Cheti Puccetti , Sara Donati ,et al. Metronomic oral vinorelbine as first-line treatment in elderly patients with advanced non-small cell lung cancer: results of a phase II trial (MOVE trial).BMC Cancer . 2015 May 6;15:359.
[9] Catania C, et al. Perception that oral anticancer treatments are less efficacious: development of a questionnaire to assess the possible prejudices of patients with cancer. Breast Cancer Res Treat. 2005,92(3):265-272.

责任编辑:肿瘤资讯-云初
排版编辑:肿瘤资讯-zly
版权声明
版权归肿瘤资讯所有。欢迎个人转发分享,其他任何媒体、网站如需转载或引用本网版权所有内容,须获得授权,且在醒目位置处注明“转自:良医汇-肿瘤医生APP”。

评论
2025年10月24日
乐凌云
余姚市人民医院 | 肿瘤内科
感谢分享好好学习
2025年10月22日
尚瑞国
鹤壁市人民医院 | 肿瘤内科
节拍化疗以低剂量、无间歇,毒副作用小,患者耐受度高为特点。
2025年10月22日
雷昕奕
永州市中心医院 | 胃肠外科
长治久安,口服长春瑞滨软胶囊节拍化疗为晚期肺鳞癌患者带来超15个月的PFS