您好,欢迎您

胃来说㊳丨维迪西妥单抗四联新辅助方案,助力HER2阳性局部进展期胃癌实现pCR

2025年09月23日
整理:肿瘤资讯
来源:肿瘤资讯

对于局部进展期胃癌,尤其是临床分期较晚、肿瘤负荷大的患者,直接手术切除难度大、复发风险高。新辅助治疗是改善预后、提高R0切除率和器官保留率的重要策略。近年来,以抗体偶联药物(ADC)为核心的联合治疗方案在胃癌领域展现出巨大潜力。本期,江苏省人民医院刘宏达教授分享了一例HER2阳性(IHC 2+)的局部进展期胃癌病例。该患者初诊分期晚(cT4aN2M0),但通过接受“维迪西妥单抗联合阿得贝利单抗(PD-L1抑制剂)、阿帕替尼(TKI)和替吉奥(化疗)”的四联新辅助治疗,肿瘤明显退缩,成功接受了根治性手术,并取得了病理完全缓解(pCR)的疗效。【肿瘤资讯】将病例诊疗过程整理如下,并特邀江苏省人民医院徐皓教授江苏省人民医院陈晓锋教授对病例进行点评,以飨读者。

病例介绍

专家介绍

刘宏达
主治医师

江苏省人民医院 普外科 主治医师
山东大学八年制
匹兹堡大学 医学院 博士后
发表第一作者 SCI 文章十余篇
主持国家/省级课题项目3项

一般资料

患者:男,57岁。

主诉:确诊胃恶性肿瘤1天。

现病史:患者于2024年8月体检胃镜时发现胃部占位,活检病理提示为腺癌。患者病程中无明显不适,精神、食欲、睡眠尚可,体重无明显下降。

既往史:有阑尾切除术及腿部骨折内固定术史,青霉素过敏。

辅助检查

实验室检查:肿瘤标志物CEA 20.20 ng/mL,CA72-4 20.10 U/mL。

胃镜病理示:(胃体活检)中分化腺癌。免疫组化:HER2(2+)。

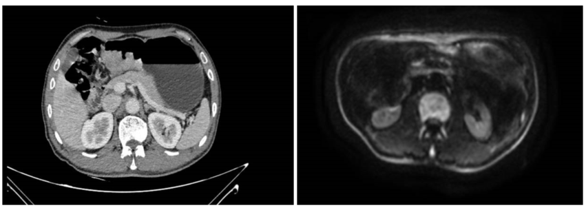
2024年8月8日上腹部增强CT及MR提示,胃体-胃角-胃窦部弥漫浸润性病灶,长径约87mm,最厚处约23mm,胃周小弯侧及大弯侧见多发淋巴结,较大者短径约7mm。未见明确远处转移征象(图1)。

923.1.png

图1.影像学检查(左:腹部CT;右:腹部MR)

初步诊断:

胃腺癌(cT4aN2M0,HER2 2+)

治疗经过

新辅助治疗:

患者入组临床研究,分别于2024年8月15日、9月4日、9月28日、10月23日予以“维迪西妥单抗(180mg d1)+替吉奥(60mg bid d1-d14)+阿德贝利单抗(1200mg d1)+阿帕替尼(250mg qd)”方案治疗4周期。

2024年10月22日复查:

CEA 3.91 ng/mL,CA72-4 0.91 U/mL,均恢复正常(表1)。

CT提示,与2024年8月8日相比,胃壁病灶明显缩小,最厚处由23mm降至约17mm。疗效评价为部分缓解(PR)。

2024年12月17日复查CT显示,胃壁增厚进一步减轻至约11mm,原肿大淋巴结消退。

表1. 肿瘤标志物

923。2.png

手术治疗:

患者于2024年12月20日在全身麻醉下行腹腔镜胃大部切除伴胃空肠吻合术+D2淋巴结清扫术。手术过程顺利。

术后病理提示:送检的胃切除标本及所有淋巴结(0/34)中均未见癌细胞残留。

术后病理分期:ypT0N0M0。

疗效评估:pCR。

2025年1月14日复查CT提示腹部无特殊。

辅助治疗:

患者于2025年1月14日、2月15日予以“阿得贝利单抗(1200mg d0)+替吉奥(60mg bid)+奥沙利铂(200mg d1)”方案辅助治疗方案。

因治疗期间患者出现腹胀不适,于当地医院对症治疗后好转。于2025年3月18日、4月7日继续予以“阿得贝利单抗(1200mg d0)+替吉奥(60mg bid)”方案维持治疗2周期。

2025年5月6日起,行“替吉奥(60mg po bid)”单药维持治疗。

病例总结

本例患者是一名57岁的局部晚期胃癌患者,初诊时临床分期晚(cT4aN2M0),肿瘤负荷大。患者入组临床研究,予以维迪西妥单抗联合免疫、抗血管生成靶向及化疗的四联新辅助治疗方案。经过4个周期的治疗,患者不仅取得了显著的影像学缓解和肿瘤标志物转阴,更在最终的根治性手术后证实为pCR。

专家点评

专家介绍

徐皓
主任医师

南京医科大学第一附属医院胃外科科主任,主任医师,教授,博士生导师

中国抗癌协会胃癌专业委员会委员
中国医师协会外科医师分会胃肠道间质瘤诊疗专委会青年委员会副主任委员
中华医学会肠外肠内营养分会加速康复外科协作组委员
中国抗癌协会胃肠道间质瘤专业委员会委员
中国临床肿瘤学会(CSCO)胃肠间质瘤专家委员会委员
中国研究型医院学会消化道肿瘤专业委员会委员
江苏省医学会外科学分会委员兼秘书
江苏省医学会外科学分会外科营养学组副组长
江苏省抗癌协会理事
江苏省抗癌协会胃癌专业委员会委员

专家介绍

陈晓锋
主任医师

毕业于吉林大学/南京医科大学
江苏省人民医院肿瘤科/胃肿瘤中心主任医师
江苏省人民医院临床研究院 临床医学中心主任
江苏省人民医院 GCP机构办/临床研究病房主任
中国临床肿瘤学会青年专家委员会副主委
中国临床肿瘤学会胃癌/胰腺癌专业委员会委员
中国抗癌协会肿瘤营养专业委员会常委
中国抗癌协会食管肿瘤整合康复专委会常委
中国抗癌协会肿瘤支持治疗专委会委员
江苏省整合医学研究会遗传性肿瘤专业委员会副主委
江苏省抗癌协会肿瘤营养专业委员会副主委
主编临床研究专著4部,发起了二十余项IIT临床研究
STTT, JITC, Medcomm, JHEP report等发表SCI论文50余篇(第一/通讯)

胃癌作为我国高发的恶性肿瘤,其发病率与死亡率长期维持在较高水平。在全球范围内,中国的胃癌新发患者约50%,且约80%的中国患者在确诊时已处于局部进展期或晚期。在全部胃癌病例中,HER2阳性胃癌占比约为12%。即便处于局部进展期的胃癌患者,仍有部分在手术后出现复发转移情况。对于初始不可切除的局部进展期胃癌,传统化疗为主的新辅助方案虽然有效,但pCR率仍有待提高,尤其是在HER2阳性人群中,存在巨大的未满足需求。徐莹莹教授团队的TREND研究表明,新辅助免疫治疗在早期TNBC中显著提升了淋巴结pCR率。

ADC药物,如维迪西妥单抗,其独特的作用机制使其能够精准识别并结合HER2阳性肿瘤细胞,通过内吞作用进入细胞后释放强效细胞毒性载荷,实现对肿瘤细胞的特异性杀伤,同时减少对正常组织的损伤。在临床前研究中,维迪西妥单抗对HER2表达肿瘤即表现出强大的治疗作用。基于关键研究RC48-C008研究结果,维迪西妥单抗于2021年6月获国家药品监督管理局(NMPA)批准用于至少接受过2种系统化疗的HER2过表达局部晚期或转移性胃癌患者。维迪西妥单抗的获批,为HER2阳性胃癌患者带来了新的治疗希望。

维迪西妥单抗在胃癌研究领域的探索持续推进。在2025年美国临床肿瘤学会(ASCO)年会上,一项聚焦于维迪西妥单抗联合卡瑞利珠单抗与替吉奥,针对HER2过表达局部进展期胃癌开展新辅助治疗的疗效与安全性的研究,引发了医学界广泛关注。研究结果表明,维迪西妥单抗联合方案实施新辅助治疗的客观缓解率(ORR)达80.0%(24/30),其中6例(25%)实现pCR(即ypT0N0M0)。R0切除率达100%。中位无病生存期(DFS)与总生存期(OS)尚未达到。该研究表明维迪西妥单抗在新辅助治疗中的应用潜力,为临床实践提供了具有重要价值的参考依据。在该病例中,患者入组的临床研究中,应用维迪西妥单抗作为核心精准靶向HER2阳性细胞,与阿得贝利单抗的免疫调节作用协同,可激活机体免疫系统对肿瘤的攻击;阿帕替尼则通过抑制血管内皮生长因子受体,阻断肿瘤血管生成,切断肿瘤营养供应;而替吉奥作为经典口服化疗药,作为基石确保了广谱的杀伤效应,四者联合从不同作用靶点和机制出发,形成了强大的抗肿瘤协同效应,为该患者实现pCR奠定了坚实基础。

该案例不仅为临床研究提供了宝贵的真实世界证据,也为HER2阳性胃癌患者的围手术期治疗带来了新的启示和希望。未来,探索以此类强化方案为基础的个体化治疗,有望进一步改写局部晚期胃癌的治疗格局。

责任编辑:肿瘤资讯-古木
排版编辑:肿瘤资讯-zly
版权声明
版权归肿瘤资讯所有。欢迎个人转发分享,其他任何媒体、网站如需转载或引用本网版权所有内容,须获得授权,且在醒目位置处注明“转自:良医汇-肿瘤医生APP”。