对于初诊即伴有远处多发转移的HER2阳性晚期胃癌患者,尤其是肿瘤负荷巨大的患者,治疗极具挑战性,预后通常不佳。尽管以曲妥珠单抗为基石的靶向联合化疗是一线标准方案,但部分患者可能因不耐受或原发耐药而无法获益。本期,华中科技大学同济医学院附属同济医院医院李龙教授分享一例HER2阳性(3+)伴多发肝转移的晚期胃癌病例。该患者因对曲妥珠单抗出现不耐受,转而采用以ADC药物维迪西妥单抗(RC48)为核心,联合化疗及免疫治疗的方案,实现了肿瘤的持久的缓解,无进展生存期(PFS)已超过18个月,为该类患者的治疗提供了重要的临床启示。【肿瘤资讯】将病例诊疗过程整理如下,并特邀华中科技大学同济医学院附属同济医院医院刘东伯教授对病例进行点评,以飨读者。
病例介绍
专家介绍
华中科技大学同济医学院附属同济医院 肿瘤科、博士、博士后
CACA肿瘤整合支持治疗青委会会员
ESCO乳腺癌专家委员会青年委员会会员
中国医药教育协会肿瘤放射治疗专业委员会会员
北京精准放射医学学会放射外科分会委员
参与多项国家自然科学基金,其中重点项目1项
参与获得湖北省科技进步奖一等奖1项、中华医学科技奖二等奖1项
参与编写CACA指南2部
参与编写CACA专委会专家共识2项
以一作或共同一作发表国内外论文十余篇
基本情况
患者:男性,54岁。
主诉:因“发现胃癌肝转移半月余”于2023年8月入院。
体能状态:ECOG评分1分。
既往史:无特殊。
辅助检查
肿瘤标志物(基线):CEA>1500ng/ml、CA19-9>1000ng/ml、CA72-4>300ng/ml。
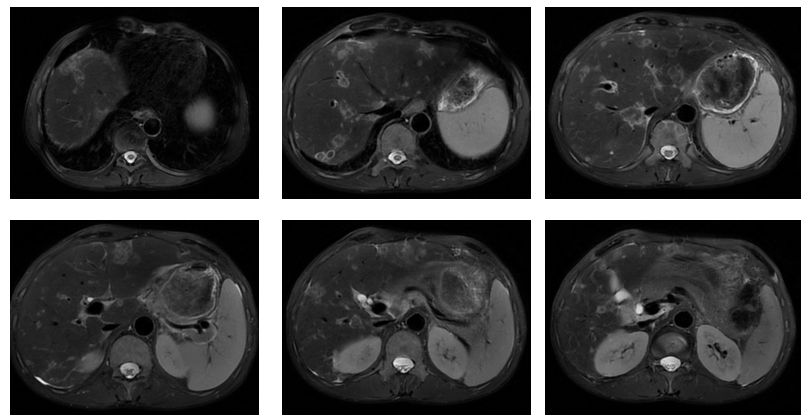
腹部MRI提示肝脏多发、弥漫性转移瘤,肿瘤负荷巨大(图1)。
超声胃镜:胃体可见巨大溃疡,考虑为浸润性病变(T4N+?)。
病理活检:(胃体活检)低分化腺癌。
免疫组化:HER2(3+)、Claudin18.2(-)、PD-L1 CPS=5、MSS。

初步诊断
胃低分化腺癌(cT3N+M1,Ⅳ期)伴多发肝转移(HER2 3+,MSS,PD-L1 CPS=5)
诊疗经过
一线治疗
患者于2023年9月11日予以“奥沙利铂+替吉奥+信迪利单抗+曲妥珠单抗”治疗。
在首次输注曲妥珠单抗过程中,患者出现心率增快(达180次/分)、血压下降、全身发抖等严重输液反应,经对症处理后好转。
经MDT讨论后,患者从第二周期起调整为“奥沙利铂+替吉奥+信迪利单抗”方案继续治疗。
2周期治疗后复查,肿瘤标志物:CEA>1500ng/ml, CA199>1000ng/ml,CA724 330ng/ml;影像学评估为疾病稳定(SD)。
患者采用以ADC药物为核心的联合方案:“维迪西妥单抗+奥沙利铂+替吉奥+信迪利单抗”。
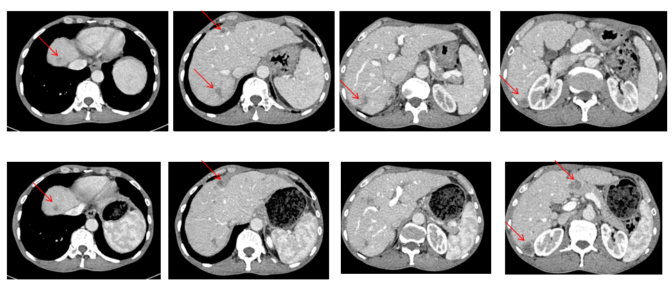
维迪西妥单抗联合方案治疗2周期后复查,肿瘤标志物:CEA 65ng/ml,CA199>1000ng/ml,CA724 26ng/ml;影像学提示肝脏病灶较前明显缩小(图2),疗效评价为部分缓解(PR)。

维迪西妥单抗联合方案治疗4周期后复查,肝脏病灶进一步缩小,疗效评估为持续PR。肿瘤标志物水平进一步大幅下降:CEA 8ng/ml,CA19-9 214ng/ml,CA72-4 6ng/ml。
考虑到疗效明显且为了降低毒性,治疗方案调整为“维迪西妥单抗单药”维持治疗。患者因前期出现皮疹及肺炎,拒绝使用信迪利单抗维持。
患者在维迪西妥单抗单药维持下,病情持续稳定近1年。
2025年1月复查,腹部CT提示肝脏部分病灶较前略有增大(图3)。
此时调整方案为“维迪西妥单抗+信迪利单抗”双药联合,治疗4周期后评估为疾病进展(PD)。
患者于2025年4月“维迪西妥单抗+信迪利单抗+卡培他滨”口服化疗。至2025年6月复查,肝脏病灶总体稳定,呈缓慢进展趋势。患者拒绝接受局部消融或放疗。

病例总结
本例为一名54岁男性,初诊时即为肿瘤负荷巨大的HER2阳性晚期胃癌伴多发肝转移。尽管一线标准治疗因曲妥珠单抗出现不耐受,但通过及时调整为以新型ADC药物维迪西妥单抗为核心,联合化疗和免疫检查点抑制剂的治疗策略,患者获得了快速、深度的肿瘤缓解。尤其值得注意的是,在后续的维迪西妥单抗单药维持治疗期间,患者获得了长达近1年的PFS,且生活质量良好。即使在后续出现缓慢进展后,继续以维迪西妥单抗为基础的联合方案治疗仍然能控制病情。该病例的成功诊疗充分说明,对于HER2阳性晚期胃癌,特别是对传统抗HER2药物不耐受或疗效不佳的患者,以维迪西妥单抗为代表的新型ADC药物能够带来突破性的治疗效果,为患者争取长期、高质量的生存提供了治疗选择。此外,个体化治疗方案的灵活调整,对于最大化疗效和最小化毒性至关重要。
病例点评
专家介绍
华中科技大学同济医学院附属同济医院 肿瘤学博士,副主任医师
中国初级卫生保健基金会肿瘤放疗专业委员会委员
中国医师协会脑胶质瘤专业委员会生殖细胞肿瘤学组委员
中国抗癌协会鼻咽癌专业委员会青年委员
中国医药卫生文化协会全民健康素养促进分会青年委员
发表SCI论文多篇;个人公众号:刘之说
对于HER2阳性晚期胃癌患者,尽管化疗联合曲妥珠单抗被推荐为标准的一线治疗方案,但在实际的临床实践中,仍不可避免地面临诸多复杂的问题与挑战。如本案例患者出现了严重的输液反应,对患者的治疗造成直接的影响,还可能威胁到患者的生命安全。因此,如何为这类患者探索并制定既高效又安全性良好的替代治疗方案,成为临床实践中亟需解决的重要问题。
探索新型ADC药物如维迪西妥单抗的应用,不仅为HER2阳性晚期胃癌患者提供了新的治疗选择,也为临床医生在面对传统治疗局限性时提供了灵活应对策略。目前,ADC药物治疗胃癌已进入蓬勃发展阶段,国产原研新型抗HER2 ADC药物维迪西妥单抗已确立了在HER2 IHC 3+/2+胃癌患者三线及以上治疗中的稳固地位(Ⅰ级推荐)。
2025 ASCO年会上北京大学肿瘤医院沈琳教授团队开展的“维迪西妥单抗联合特瑞普利单抗及化疗/曲妥珠单抗一线治疗HER2表达局部晚期或转移性胃癌的临床研究”成功入选快速口头报告环节(摘要号:LBA4012)。研究结果显示,在HER2高表达或阳性人群中,维迪西妥联合PD-1单抗和曲妥珠单抗,客观缓解率(ORR)可达到82.4%,既往在胃癌一线治疗中,单一药物联合免疫治疗和靶向治疗难以达到如此疗效表现。经过中位13.2个月随访,中位PFS尚未成熟。在HER2中/低表达人群中,维迪西妥单抗联合PD-1单抗和化疗与PD-1单抗联合化疗相比,同样显示出显著疗效,安全性可控。该研究结果证实了基于维迪西妥单抗的联合方案具有非常好的临床应用前景,有望成为HER2表达晚期胃癌一线治疗新选择。
本例患者在标准治疗失败后,换用维迪西妥单抗联合方案,不仅迅速实现了PR,更在单药维持下实现了长达1年的疾病控制,其单药PFS甚至优于许多联合方案的数据,充分体现了该药物具有良好的抗肿瘤活性。本病例的成功经验也为未来HER2阳性晚期胃癌的治疗提供了重要的参考依据。随着更多临床研究数据的积累,维迪西妥单抗等新型ADC药物有望在更广泛的患者群体中得到应用,并可能逐步前移至一线治疗甚至新辅助治疗阶段。同时,如何优化联合治疗方案、筛选最佳获益人群以及预测耐药机制等问题,也将成为下一步研究的重点方向。这些探索将有助于进一步提升患者的生存获益和生活质量,为晚期胃癌的治疗带来新的希望。
排版编辑:肿瘤资讯-Sally






苏公网安备32059002004080号